Anatomy Second Exam Simulation

  • USMLE
  • MCAT
Reviewed by Editorial Team
The ProProfs editorial team is comprised of experienced subject matter experts. They've collectively created over 10,000 quizzes and lessons, serving over 100 million users. Our team includes in-house content moderators and subject matter experts, as well as a global network of rigorously trained contributors. All adhere to our comprehensive editorial guidelines, ensuring the delivery of high-quality content.
Learn about Our Editorial Process
| By Yousef
Y
Yousef
Community Contributor
Quizzes Created: 3 | Total Attempts: 2,336
| Attempts: 610 | Questions: 42 | Updated: Mar 21, 2025
Please wait...
Question 1 / 43
🏆 Rank #--
0 %
0/100
Score 0/100

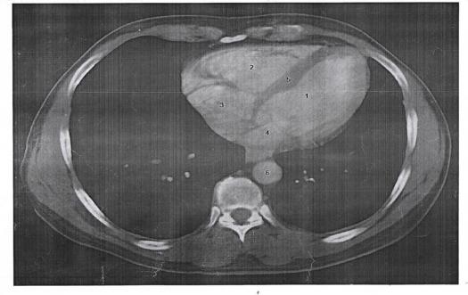
1. The part number 6 represents: 

Explanation

The correct answer is descending thoracic aorta. This is because the descending thoracic aorta refers to the part of the aorta that extends downward from the arch of the aorta, through the thoracic cavity, and into the abdominal cavity. It carries oxygenated blood from the heart to the lower parts of the body. The other options, ascending thoracic aorta, pulmonary artery, and arch of the aorta, do not accurately represent part number 6.

Submit
Please wait...
About This Quiz
Anatomy Second Exam Simulation - Quiz

This Anatomy Second Exam Simulation assesses knowledge on human anatomy, focusing on vascular and skeletal structures. It tests identification skills for anatomical parts like the brachial artery, axillary vein, and the odontoid process, crucial for medical students preparing for professional exams.

2.

What first name or nickname would you like us to use?

You may optionally provide this to label your report, leaderboard, or certificate.

2. What is the name of this structure ?

Explanation

The correct answer is mastoid process of temporal bone. The mastoid process is a prominent bony projection located on the temporal bone of the skull. It is located behind the ear and serves as an attachment site for various muscles. Its unique shape and position make it easily identifiable, distinguishing it from the other structures listed.

Submit

3. Esophagus is indicated by number :

Explanation

The esophagus is a muscular tube that connects the throat to the stomach. It is responsible for transporting food from the mouth to the stomach for digestion. In the given options, number 17 indicates the esophagus.

Submit

4. In the picture ,where is the MITRAL:

Explanation

not-available-via-ai

Submit

5. Number 10 indicates:

Explanation

Number 10 indicates the pyloric sphincter. The pyloric sphincter is a muscular valve located between the stomach and the small intestine. It regulates the flow of partially digested food from the stomach into the small intestine for further digestion and absorption.

Submit

6. Which letter indicates the styloid process ? 

Explanation

The letter B indicates the styloid process.

Submit

7. The label number 11 is pointing to:

Explanation

The label number 11 is pointing to the temporal lobe. The temporal lobe is responsible for processing auditory information, including language comprehension and sound recognition. It also plays a role in memory formation and emotional responses.

Submit

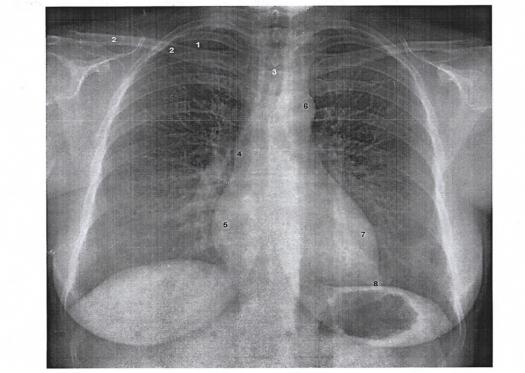
8. The part number 3 represents:

Explanation

The correct answer is Tracheal shadow. In the given options, the part number 3 represents the tracheal shadow. The trachea is a tube-like structure that carries air to and from the lungs. It appears as a dark shadow on imaging studies such as X-rays. Therefore, option 3 is the correct representation of part number 3.

Submit

9. Number 2 refers to:

Explanation

Number 2 refers to the facet for the articular part of the tubercle of the rib. This means that it is a specific feature or surface on a bone that is involved in the articulation or joint formation with the tubercle of a rib.

Submit

10. Which of the following is the Subscapularis ?

Explanation

not-available-via-ai

Submit

11. The cardiac vein number 1 is :

Explanation

The correct answer is Coronary sinus. The coronary sinus is a large vein located in the posterior part of the heart. It collects deoxygenated blood from the cardiac veins and returns it to the right atrium of the heart. The other options mentioned, such as the great cardiac vein, middle cardiac vein, and small cardiac vein, are all cardiac veins, but they do not specifically refer to cardiac vein number 1. Therefore, the correct answer is the coronary sinus.

Submit

12. ?What is the name of labeled structure

Explanation

The correct answer is "Lattisimus dorsi." The question is asking for the name of a labeled structure, and out of the given options, "Lattisimus dorsi" is the only one that matches. Serratus anterior, Pectoralis major, and Pectoralis minor are all different muscles in the body, but they are not the labeled structure being referred to in the question.

Submit

13. Name the following structure:

Explanation

The given structures, Sacrum, Ischium, Ilium, and Pubis, are the bones that make up the pelvis. The Ischium is one of the three bones that fuse together to form the hip bone or coxal bone. It is located at the lower and posterior part of the pelvis, forming the lower and back part of the hip bone.

Submit

14. Which of the following is not matched?

Explanation

The given question asks for the option that is not matched. The options are arteries, and the correct answer is 1= brachial artery. This means that the brachial artery does not match with any other option listed.

Submit

15. Which part is responsible for transfer the blood from right ventricle to the lungs , and the part is responsible for return deoxygenated blood from the systemic circulation to superior vena cava , respectively?

Explanation

The correct answer is 23 pulmonary artery, 15 brachiocephalic veins. The pulmonary artery is responsible for transferring blood from the right ventricle to the lungs for oxygenation. The brachiocephalic veins are responsible for returning deoxygenated blood from the systemic circulation to the superior vena cava.

Submit

16. Identify the following structure:

Explanation

The given structure that is being identified is the aorta. The aorta is the largest artery in the body and carries oxygenated blood from the heart to the rest of the body. It originates from the left ventricle of the heart and branches out to supply blood to various organs and tissues.

Submit

17. The name of the following muscle is : 

Explanation

The correct answer is semimembranosus. This muscle is located in the back of the thigh and is one of the three muscles that make up the hamstring group. It helps in extending the hip joint and flexing the knee joint. The other options, such as semitendinosus and biceps femoris, are also part of the hamstring group, but semimembranosus is the correct answer based on the given options. Vastus lateralis, on the other hand, is a muscle located in the front of the thigh and is part of the quadriceps group, which is not mentioned in the options.

Submit

18. What is the muscle M ?  

Explanation

The correct answer is Flexor hallucis longus. This muscle is responsible for flexing the big toe and helps in maintaining balance while walking. It originates from the fibula and inserts into the base of the distal phalanx of the big toe. It is innervated by the tibial nerve and plays a crucial role in the movement and stability of the foot. Flexor hallucis brevis and flexor digitorum longus are different muscles with different functions.

Submit

19. Identify the septum pellucidum : 

Explanation

The septum pellucidum is a thin membrane located in the midline of the brain, separating the lateral ventricles. In this question, the correct answer is A, indicating that the septum pellucidum can be identified in that location.

Submit

20. The cardiac artery number B is:

Explanation

The correct answer is Right marginal artery. The right marginal artery is a branch of the right coronary artery that runs along the right border of the heart. It supplies blood to the right ventricle and the bottom part of the right atrium.

Submit

21. Which of the following is not matched?

Explanation

The left marginal vein is not matched because it is not a major vein in the cardiovascular system. The superior vena cava is a large vein that carries deoxygenated blood from the upper body to the heart. The middle cardiac vein is a vein that runs alongside the middle of the heart and helps drain deoxygenated blood. The coronary sinus is a large vein that collects deoxygenated blood from the heart muscle and returns it to the right atrium of the heart. However, the left marginal vein is not a major vein in the cardiovascular system.

Submit

22. Muscles A,B respectively are :  

Explanation

The correct answer is teres minor, teres major. Teres minor and teres major are both muscles located in the shoulder. Teres minor is a small muscle that helps to rotate the arm outward, while teres major is a larger muscle that helps to extend, adduct, and medially rotate the arm. These muscles work together to provide stability and movement to the shoulder joint.

Submit

23. ? Which of the following is not matched

Explanation

The given answer is 4= axillary vein. This is because the other options are correctly matched with their corresponding anatomical structures. The left common iliac is matched with 16, the inferior vena cava is matched with 5, and the subclavian vein is matched with 10. However, the axillary vein is not matched with any number in the given options.

Submit

24. What is the correct name of this muscle?

Explanation

The correct name of this muscle is Teres minor.

Submit

25. Name the following structure of femur:

Explanation

The given options are all structures of the femur bone. The shaft refers to the long, cylindrical portion of the bone. The fovea capitis is a small depression on the head of the femur. The medial epicondyle is a bony prominence on the inner side of the distal end of the femur. The correct answer, linea aspera, is a ridge-like structure on the posterior surface of the femur that serves as an attachment site for muscles and ligaments.

Submit

26. The Number that indicates(Costochondral junction) is/are : 

Explanation

The correct answer is 2 only. This means that only the second number indicates the Costochondral junction. The first number does not indicate the Costochondral junction.

Submit

27. What is the correct name of this muscle?

Explanation

The correct name of this muscle is the internal oblique. The internal oblique is one of the muscles of the abdominal wall and is located beneath the external oblique muscle. It is responsible for various movements of the trunk, including rotation and lateral flexion. The rectus abdominis is a different muscle that runs vertically along the front of the abdomen, while the pectoralis minor is a muscle located in the chest.

Submit

28. What is the muscle that is medial to this muscle : 

Explanation

The muscle that is medial to the flexor digitorum is the flexor carpi ulnaris. This means that the flexor carpi ulnaris is located closer to the midline of the body compared to the flexor digitorum.

Submit

29. Which number indicates the mid brain?

Explanation

not-available-via-ai

Submit

30.  ?  The coloured structure shows 

Explanation

The correct answer is Buccinators. The question is asking for the name of the coloured structure shown in the image. The options provided are Zygomaticus major, Zygomaticus minor, Buccinators, and Omohyoid. Based on the options given, the correct answer is Buccinators.

Submit

31. ?What is the name of labeled structure 

Explanation

The correct answer is Omohyoid. Omohyoid is the name of a labeled structure.

Submit

32. The following muscle is :  

Explanation

The correct answer is peroneus brevis. Peroneus brevis is a muscle located in the lower leg. It is one of the muscles responsible for foot and ankle movement. It helps to stabilize the foot and assists in eversion, which is the movement of turning the sole of the foot outward.

Submit

33. The part of ulna which has number 6 is called:

Explanation

The ulna is one of the bones in the forearm, and it has a part called the radial notch. The radial notch is located on the ulna and articulates with the head of the radius bone, allowing for the rotation of the forearm. The coronoid process is a projection on the ulna that serves as an attachment point for muscles, while the trochlear notch is a depression on the ulna that articulates with the trochlea of the humerus bone. The olecranon is a prominent bony projection at the proximal end of the ulna, forming the point of the elbow.

Submit

34. What are the muscle A,B respectively : 

Explanation

The correct answer is A: adductor longus, B: sartorius. This is because the adductor longus is a muscle located in the inner thigh that helps bring the leg towards the midline of the body, while the sartorius is a long, thin muscle that runs diagonally across the front of the thigh and helps with flexing, abducting, and rotating the hip and knee.

Submit

35. Considering the image below, which part is the orifice of auditory tube?

Explanation

The orifice of the auditory tube is represented by option A in the given image.

Submit

36. Number 4 indicates : 

Explanation

The uvula is a small, fleshy, cone-shaped structure that hangs down from the soft palate in the back of the throat. It is responsible for preventing food and liquid from entering the nasal cavity during swallowing. The other options, such as the soft plate, palatine tonsils, and epiglottis, have different functions and locations in the throat.

Submit

37. What number represents the odontoid process of axis ?

Explanation

The odontoid process of axis is represented by the number 12. The odontoid process is a bony projection that extends upward from the body of the axis vertebrae, also known as the second cervical vertebrae. It serves as a pivot point for the rotation of the atlas (first cervical vertebrae) and allows for the movement of the head.

Submit

38. Identify the following structure:

Explanation

The structure being identified is the cingulate gyrus. The cingulate gyrus is a part of the cerebral cortex and is located above the corpus callosum. It plays a role in various functions such as emotion regulation, decision-making, and attention. It is involved in the limbic system, which is responsible for emotions and memory.

Submit

39. The part number 6 represents :

Explanation

The part number 6 represents the lambdoid suture. The lambdoid suture is a dense, fibrous connective tissue joint that connects the parietal bones of the skull to the occipital bone at the back of the head. It is named after its shape, which resembles the Greek letter lambda (Λ). The lambdoid suture helps to provide stability and strength to the skull, as well as allowing for some flexibility during childbirth.

Submit

40. Where we can find the Anterior nasal spine ?

Explanation

The correct answer is A. The anterior nasal spine can be found in the nasal cavity, specifically at the junction of the maxilla and the nasal bone. It is a small projection that helps to support the nasal cartilage and provides stability to the nasal septum.

Submit

41. This part of humerus is called: 

Explanation

The correct answer is the lateral supracondylar ridge. The humerus is a bone in the upper arm, and it has various bony landmarks. The lateral supracondylar ridge is a prominent ridge located on the lateral aspect of the humerus, just above the condyles. It serves as an attachment site for muscles and ligaments, providing stability and support to the elbow joint.

Submit

42. Considering the image below, which part is thyroid cartilage and which part is cricoid cartilage, respectively?

Explanation

not-available-via-ai

Submit
×
Saved
Thank you for your feedback!
View My Results
Cancel
  • All
    All (42)
  • Unanswered
    Unanswered ()
  • Answered
    Answered ()
The part number 6 represents: 
What is the name of this structure ?
Esophagus is indicated by number :
In the picture ,where is the MITRAL:
Number 10 indicates:
Which letter indicates the styloid process ? 
The label number 11 is pointing to:
The part number 3 represents:
Number 2 refers to:
Which of the following is the Subscapularis ?
The cardiac vein number 1 is :
?What is the name of labeled structure
Name the following structure:
Which of the following is not matched?
Which part is responsible for transfer the blood from right ventricle...
Identify the following structure:
The name of the following muscle is : 
What is the muscle M ?  
Identify the septum pellucidum : 
The cardiac artery number B is:
Which of the following is not matched?
Muscles A,B respectively are :  
? Which of the following is not matched
What is the correct name of this muscle?
Name the following structure of femur:
The Number that indicates(Costochondral junction) is/are : 
What is the correct name of this muscle?
What is the muscle that is medial to this muscle : 
Which number indicates the mid brain?
 ?  The coloured structure shows 
?What is the name of labeled structure 
The following muscle is :  
The part of ulna which has number 6 is called:
What are the muscle A,B respectively : 
Considering the image below, which part is the orifice of auditory...
Number 4 indicates : 
What number represents the odontoid process of axis ?
Identify the following structure:
The part number 6 represents :
Where we can find the Anterior nasal spine ?
This part of humerus is called: 
Considering the image below, which part is thyroid cartilage and which...
play-Mute sad happy unanswered_answer up-hover down-hover success oval cancel Check box square blue
Alert!