Types Of Anemia

Reviewed by Editorial Team
The ProProfs editorial team is comprised of experienced subject matter experts. They've collectively created over 10,000 quizzes and lessons, serving over 100 million users. Our team includes in-house content moderators and subject matter experts, as well as a global network of rigorously trained contributors. All adhere to our comprehensive editorial guidelines, ensuring the delivery of high-quality content.
Learn about Our Editorial Process
| By Chachelly
C
Chachelly
Community Contributor
Quizzes Created: 513 | Total Attempts: 637,154
| Attempts: 5,624 | Questions: 15 | Updated: Mar 22, 2025
Please wait...
Question 1 / 16
🏆 Rank #--
Score 0/100

1. What is the pathogenesis of anemia seen in the patient just described?

Explanation

The pathogenesis of anemia seen in the patient is due to decreased beta-globin chain synthesis. This means that there is a deficiency in the production of beta-globin chains, which are necessary for the formation of hemoglobin. Hemoglobin is responsible for carrying oxygen in the blood, and a decrease in its production leads to a decrease in the oxygen-carrying capacity of the blood, resulting in anemia. The other options mentioned, such as decreased heme synthesis, abnormal spectrin assembly, clonal stem cell defect, and impaired utilization of iron from storage sites, are not relevant to the specific pathogenesis described in the patient.

Submit
Please wait...
About This Quiz
Types Of Anemia - Quiz

In today’s quiz, we’ll be tackling the topic of anaemia; a common disorder that involves the levels of oxygen supply throughout your body being impeded by a deficiency in the red blood cells, typically as a result of a lack of iron. What types of anaemia are there? You tell... see moreus! see less

2.

What first name or nickname would you like us to use?

You may optionally provide this to label your report, leaderboard, or certificate.

2. A 49-year-old female presents with signs of anemia and states that every morning her urine is dark. Work-up reveals that her RBCs lyse in vitro with acid (positive Ham's test). What is the best diagnosis for this patient?

Explanation

B) Paroxysmal nocturnal hemoglobinuria (PNH) is an acquired clonal stem cell disorder that is characterized by abnormal red cells, granulocytes and platelets. The RBCs are abnormally sensitive to the lytic activity of complement due to a deficiency of GPI linked proteins, namely decay accelerating factor (DAF; or CD55), membrane inhibitor of reactive lysis (CD55) or CD59 (a C8 binding protein). Complement is normally activated by acidotic states, such as occur with exercise or sleep. In patients with PNH, the acidotic condition that develops during sleep ( which is usually at night) causes hemolysis of red cells and results in red urine in the morning. The RBCs of these patients lyse in vitrowith acid (sucrose lysis test).
A positive Coombs test suggests immune-related hemolysis.

Submit

3. A 10-month-old boy presents with failure to thrive. O/E- Jaundice. CBC- Microcytic hypochromic anemia. Most of the Hb is HbF type. PBS is shown. BM aspirate shows marked erythroid hyperplasia and increased iron stores. What is your diagnosis?

Explanation

In homozygous beta-thal (thal major), most of the Hb is of the fetal type (HbF).

Submit

4. A 10-yr-old black girl is brought to the ER with severe pain in her chest, abdomen and bones. O/E- Jaundice and anemia. CBC shows abnormal shaped RBCs and Howell-Jolly bodies. Labs - Increased amount of an abnormal Hb in her peripheral blood. The child's chest and bone pain symptoms are caused by which of the following mechanisms?

Explanation

B. Correct. Irreversible sickle cells show a rearrangement of phospholipids b/w the outer and inner monolayers of the cell membrane. RBCs are no longer deformable and more adherent to endothelial cells, which predispose to ischemia and thrombosis. Iscehmia leads to severe pain, esp in chest, abdomen and bones.

Submit

5. A 30-year-old woman has H/O mild fatigue for many years. O/E Palpable spleen tip. Labs- Hb 11.1 g/dL, Hct 28.8%, MCV 83fL, platelets 229,000/µL, WBC count 7340/µL. Corrected retic. Count-12%. PBS- Small RBCs that lack central pallor. Osmotic fragility of RBCs is increased. Coombs test is negative. Defects in which of the following are involved in the pathogenesis of this disorder

Explanation

B. CORRECT. Hereditary spherocytosis is due to an abnormality in RBC cytoskeleton (structural membrane protein spectrin accounts for the abnormality). Negative Coombs test rules out the possibility of auto-immune emolytic anemia.

Submit

6. A 19 year old primigravida of Southeast Asian ancestry gives birth at 35 wks gestation a male infant. O/E infant is markedly hydropic. Lab. studies show his hematocrit is 17% and PBS reveals numerous nucleated red blood cells. RBCs show marked anisocytosis and poikilocytosis. Which of the following diseases is most likely to be present in this infant?

Explanation

(B) CORRECT. The form of alpha-thalassemia seen in Southeast Asia has two abnormal alpha globin genes on the same chromosome, so it is possible to inherit two bad sets, leading to a complete lack of alpha globin chain formation, so that fetal hemoglobin cannot be made, and there is a severe anemia.
Incorrect. Sickle cell anemia is seen in persons of African and eastern Arabian ancestry. In perinatal life and in infancy, there is sufficient hemoglobin F to prevent complications.
(C) Incorrect. G6PD disease is most frequent in Africa and Mediterranean regions and can produce a hemolytic anemia when the RBC's are stressed by oxidants
(D) Incorrect. Hereditary elliptocytosis may cause a mild anemia.

Submit

7. A 25-year-old African-American man is given anti-malarial prophylaxis for a trip to West Africa. Over the next week he develops increasing fatigue. O/E - No abnormal findings. Labs- Hematocrit -30%. PBS shows RBCs with numerous Heinz bodies. There is a family history of this disorder, with males, but not females, affected. Which of the following is the most likely diagnosis?

Explanation

(E) CORRECT. He has glucose-6-phosphate dehydrogenase (G6PD) deficiency, which can result in a hemolytic anemia on exposure to oxidizing agents such as certain drugs such as antimalarials. This is an X-linked disorder. The Heinz bodies are denatured hemoglobin.

Submit

8. A 38-year-old woman has become increasingly fatigued for the past 3 months.O/E- Purpuric areas of skin on her trunk and extremities. No hepato-splenomegaly/LN. Labs- Hb 6.8 g/dL, Hct 20.7%, MCV 91 fL, platelet count 28,760/µL, and WBC count 1940/µL. Which of the following is the most likely diagnosis?

Explanation

(A) There is a marked hypocellularity of the bone marrow with aplastic anemia, and resulting pancytopenia. The spleen is of normal size
Spleen in CML can reach massive proportions.
Spleen is often palpably enlarged with infectious mononucleosis, there may be mild anemia, but not marked pancytopenia.
Large cell lymphomas tend to be localized masses that do not fill up the bone marrow to cause pancytopenia.
There is splenomegaly with HS. Removal of the spleen in adults with HS leads to a decrease in problems resulting from spherocytosis.

Submit

9. A 32-yr-old man presents with fever, recurrent URIs and chronic fatigue. He is an immigrant from Russia and has worked in a benzene factory. O/E- Petechiae seen, no LN/splenomegaly. CBC shows pancytopenia. Retic. count is low. BM biopsy shows a hypocellular marrow with increased fat. Which of the following is the most likely underlying mechanism of the patient's condition?

Explanation

C. Exposure to benzene, pancytopenia, low reticulocyte count and hypocellular marrow with increased fat – all are pointers for aplastic anemia

Submit

10. In the patient described in the previous question, which of the following is the most likely mechanism for initiation of her pulmonary problems?

Explanation

B. Correct. Cell membrane of reversible sickle cells are sticky and adhere to capillary endothelium. This is due to an increased expression of adhesion molecules. Also, free Hb is depleted by binding to NO, resulting is further vasoconstriction.

Submit

11. A 38-yr-old man presents with fatigue. He has a 3-yr history of TB. CBC shows a microcytic hypochromic anemia. Blood profile shows low serum iron, low iron binding capacity and increased serum ferritin. Which of the following explains the pathogenesis of anemia in this patient?

Explanation

B. Correct. Chronic infections like TB result in impaired utilization of iron from macrophage stores in BM, resulting in a functional iron deficiency. Iron stores may be normal or increased.

Submit

12. A 38-year-old woman has a history of rheumatoid arthritis. She is currently receiving immunosuppressive therapy including corticosteroids. O/E - Minimal erythema, warmth, and swelling of the small joints of her hands. Lab. studies show Hb 10.1 g/dL, Hct 30.4%, MCV 74 fL, WBC count 6500/µL, and platelet count 137,000/µL. Retic. Count-1.5%. She has a serum iron of 28 µg/dl and  TIBC of 200 µg/dl . Her serum ferritin is 420 ng/mL. Which of the following is the most likely diagnosis?

Explanation

(C) CORRECT. The serum iron and iron binding capacity are both low, and reticulocytosis is diminished in spite of the anemia. In this condition, iron is not recycled appropriately.

Submit

13. The patients described in the previous question is at an increased risk of developing which of the following conditions?

Explanation

B. Correct. Spherocytes undergo extra-vascular hemolysis resulting in excessive bilirubin. This results in pigmented gallstones in these patients.

Submit

14. A 16-year-old boy has had a low energy level for as long as he can remember. O/E- Palpable spleen tip. CBC shows Hb- 8.8 g/dL, Hct 24.1%, MCV 65 fL, platelet count 187,000/µL, WBC count 7400/µL. His serum ferritin is 3740 ng/mL (Normal-10-200µg/L). BM biopsy reveals a myeloid : erythroid ratio of 1:4 with 4+ stainable iron. Which of the following is the most likely diagnosis?

Explanation

(B) CORRECT. Reduced beta-globin chain synthesis from beta-thalassemia leads to RBC microcytosis, hypochromasia, ineffective erythropoiesis, and excessive iron absorption.

Submit

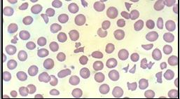
15. Which of the following underlying conditions would you most likely expect to be present in a 27-year old female with the peripheral blood smear shown here:

Explanation

E. Correct. The PBS shows fragmented red cells or schistocytes, which are seen in DIC, TTP, HUS or RBC breakdown due to mechanical trauma.

Submit
×
Saved
Thank you for your feedback!
View My Results
Cancel
  • All
    All (15)
  • Unanswered
    Unanswered ()
  • Answered
    Answered ()
What is the pathogenesis of anemia seen in the patient just described?
A 49-year-old female presents with signs of anemia and states that...
A 10-month-old boy presents with failure to thrive. O/E- Jaundice....
A 10-yr-old black girl is brought to the ER with severe pain in her...
A 30-year-old woman has H/O mild fatigue for many years. O/E Palpable...
A 19 year old primigravida of Southeast Asian ancestry gives birth at...
A 25-year-old African-American man is given anti-malarial prophylaxis...
A 38-year-old woman has become increasingly fatigued for the past 3...
A 32-yr-old man presents with fever, recurrent URIs and chronic...
In the patient described in the previous question, which of the...
A 38-yr-old man presents with fatigue. He has a 3-yr history of TB....
A 38-year-old woman has a history of rheumatoid arthritis. She is...
The patients described in the previous question is at an increased...
A 16-year-old boy has had a low energy level for as long as he can...
Which of the following underlying conditions would you most likely...
play-Mute sad happy unanswered_answer up-hover down-hover success oval cancel Check box square blue
Alert!