Hardest Questions On Genetics! Trivia Test

  • 7th Grade,
  • 8th Grade,
  • 9th Grade
  • NGSS
Reviewed by Editorial Team
The ProProfs editorial team is comprised of experienced subject matter experts. They've collectively created over 10,000 quizzes and lessons, serving over 100 million users. Our team includes in-house content moderators and subject matter experts, as well as a global network of rigorously trained contributors. All adhere to our comprehensive editorial guidelines, ensuring the delivery of high-quality content.
Learn about Our Editorial Process
| By Anna Montague
A
Anna Montague
Community Contributor
Quizzes Created: 4 | Total Attempts: 2,223
| Attempts: 1,069 | Questions: 41 | Updated: Sep 3, 2025
Please wait...
Question 1 / 41
🏆 Rank #--
Score 0/100

1. A child has AB blood type, who can he receive blood from?

Explanation

A child with AB blood type can receive blood from any blood type, including AB, A, B, and O. This is because individuals with AB blood type have both A and B antigens on their red blood cells, making them compatible with all other blood types.

Submit
Please wait...
About This Quiz
Hardest Questions On Genetics! Trivia Test - Quiz

Dive into the 'Hardest Questions on Genetics! Trivia Test' to challenge and enhance your understanding of genetics. This quiz covers fundamental concepts introduced by Gregor Mendel, exploring inheritance patterns in pea plants, including genotype and phenotype expressions.

2. What organism did Gregor Mendel use to perform his experiments?

Explanation

Gregor Mendel used peas to perform his experiments. Mendel is known as the father of modern genetics, and he conducted extensive experiments on pea plants to study inheritance patterns. Peas are ideal for genetic research as they have easily observable traits, reproduce quickly, and can be easily manipulated for controlled breeding. Through his experiments with peas, Mendel discovered the basic principles of inheritance, including the concept of dominant and recessive traits.

Submit

3. Chickens have a codominant means of feather color inheritance. Black (B) and White (W) are both dominant alleles. What would be the phenotype of the offspring if you crossed a black chicken with a white chicken?

Explanation

When chickens have a codominant means of feather color inheritance, it means that both black (B) and white (W) alleles are dominant. When a black chicken (BB) is crossed with a white chicken (WW), the offspring will inherit one black allele and one white allele (BW). This results in a phenotype known as speckled, where the feathers have a combination of black and white patches. Therefore, the correct answer is speckled.

Submit

4. Match the following

Submit

5. G = golden hair. g = white hair. In the punnett square provided, how many offspring will have golden hair?

Explanation

In the punnett square, there are two possible genotypes for the offspring: Gg and gg. The genotype Gg represents golden hair, while gg represents white hair. Out of the four possible combinations in the punnett square, three of them have the genotype Gg, which means that 3 out of 4 offspring will have golden hair.

Submit

6. Key: R=Round; r=wrinkled; Y=Yellow; y=green 

What is the phenotype for the letter 'B' in the dihybrid cross provided?

Explanation

The phenotype for the letter 'B' in the dihybrid cross provided is Wrinkled and Yellow. This can be determined by looking at the given options and identifying the combination of traits that includes both wrinkled and yellow. In this case, the only option that includes both traits is Wrinkled and Yellow. Therefore, Wrinkled and Yellow is the correct answer for the phenotype of the letter 'B'.

Submit

7. What is a useful device for predicting the possible offspring of crosses between different genotypes?

Explanation

A Punnett square is a useful device for predicting the possible offspring of crosses between different genotypes. It is a grid that allows us to determine the potential combinations of alleles that can be inherited from each parent. By using this tool, we can visualize the different genotypes and phenotypes that may result from a particular cross. The Punnett square takes into account the principles of Mendelian genetics, such as the law of segregation and the law of independent assortment, to accurately predict the outcomes of genetic crosses.

Submit

8. For this question, use the fact that pea plants use simple dominant inheritance patterns. T = tall trait, t = short trait. A homozygous tall plant is crossed with a homozygous short plant. What is the genotype of the offspring?

Explanation

When a homozygous tall plant (TT) is crossed with a homozygous short plant (tt), all the offspring will be heterozygous (Tt) because the tall trait is dominant over the short trait. This means that the offspring will have one allele for tallness and one allele for shortness.

Submit

9. Key: R=Round; r=wrinkled; Y=Yellow; y=green 

Which of the following is a round and green pea plant offspring?

Explanation

The correct answer is C because it is the only option that is both round and green, as indicated by the key. Options A and B are not round, and option D is not green.

Submit

10. In snapdragon flowers, if a Red flower is crossed with a White flower. What will the genotypes of the offspring be?

Explanation

When a Red flower is crossed with a White flower in snapdragon flowers, the genotypes of the offspring will be RW. This is because the Red flower is represented by the genotype RR, and the White flower is represented by the genotype WW. When they are crossed, the offspring will inherit one allele from each parent, resulting in the genotype RW.

Submit

11. Key: R=Round; r=wrinkled; Y=Yellow; y=green 

Which of the following is homozygous dominant for both traits in the dihybrid cross provided?

Explanation

In a dihybrid cross, homozygous dominant means that both alleles for each trait are dominant. In option A, the genotype is RRYY, which means that both alleles for round and yellow traits are dominant. Therefore, option A is homozygous dominant for both traits in the dihybrid cross.

Submit

12. For this question, use the fact that pea plants use simple dominant inheritance patterns. T = tall trait, t = short trait. What is the phenotype of a heterozygous plant in pea plants?

Explanation

In pea plants, the tall trait (T) is dominant over the short trait (t). This means that if a plant is heterozygous, meaning it has one dominant allele (T) and one recessive allele (t), the dominant trait will be expressed and the plant will be tall. Therefore, the phenotype of a heterozygous plant in pea plants is tall.

Submit

13. Gregor Mendel is considered the 'Father of' what?

Explanation

Gregor Mendel is considered the "Father of genetics" because he conducted groundbreaking experiments with pea plants in the mid-19th century. Through his observations and meticulous record-keeping, Mendel discovered the basic principles of inheritance, including the concepts of dominant and recessive traits. His work laid the foundation for modern genetics and our understanding of how traits are passed from one generation to the next.

Submit

14. For this question, use the fact that pea plants use simple dominant inheritance patterns. T = tall trait, t = short trait. A homozygous tall plant is crossed with a short plant. What percent of the offspring will be short?

Explanation

In simple dominant inheritance patterns, a homozygous tall plant (TT) crossed with a short plant (tt) will result in all heterozygous tall offspring (Tt). Since the tall trait is dominant, all offspring will exhibit the tall phenotype and none will be short. Therefore, the correct answer is 0%.

Submit

15. The carriers are NOT filled in for you. 
F=Normal, f=Cystic Fibrosis What is the phenotype of the individual I1?

Explanation

Based on the given information, the individual I1 is affected and has cystic fibrosis. This can be deduced from the statement that "The carriers are NOT filled in for you." This implies that the individual's genotype is not provided, and since cystic fibrosis is a recessive condition, the individual must be affected if they have it. Therefore, the phenotype of individual I1 is affected; they have cystic fibrosis.

Submit

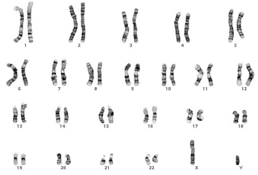
16. Based on this karyotype, which of the following statements is true?

Explanation

The karyotype shows a healthy male because it contains 46 chromosomes, which is the normal number for a male. A healthy female would typically have 46 chromosomes as well, but the presence of a Y chromosome in this karyotype indicates that it is a male. There is no evidence of any extra or missing autosomes, so the karyotype is consistent with a healthy male.

Submit

17. For this question, use the fact that pea plants use simple dominant inheritance patterns. T = tall trait, t = short trait. A heterozygous tall plant is crossed with a heterozygous tall plant. What percent of the offspring will be tall?

Explanation

When a heterozygous tall plant (Tt) is crossed with another heterozygous tall plant (Tt), there are four possible combinations of alleles in the offspring: TT, Tt, Tt, and tt. Out of these four combinations, three of them (TT, Tt, and Tt) result in tall plants, while only one combination (tt) results in a short plant. Therefore, 75% of the offspring will be tall.

Submit

18. A male hamster has the genotype Dd and has straight fur. A female hamster has the genotype dd and has curly fur. The owner gets mixed offspring with curly and straight fur. The owner wants all the offspring to be curly, what genotype will a male hamster need to have in order to produce only offspring with curly fur?

Explanation

A male hamster needs to have the genotype dd in order to produce only offspring with curly fur. This is because the curly fur trait is recessive and is represented by the lowercase d allele. The male hamster with genotype Dd carries both the dominant and recessive alleles, so there is a 50% chance of passing on the straight fur allele to the offspring. However, if the male hamster has the genotype dd, it will only pass on the recessive curly fur allele, resulting in all offspring having curly fur.

Submit

19. A mother with blood type O has a baby with blood type B. Which of the following could NOT be the father?

Explanation

If a mother has blood type O and the baby has blood type B, the father cannot have blood type A. This is because blood type A is dominant over blood type O, so if the father had blood type A, there would be a possibility of the baby having blood type A as well. However, since the baby has blood type B, the father must have blood type B or AB. Therefore, Adam with blood type A could not be the father.

Submit

20. In humans, pigmented skin is dominant to non-pigmented skin (albinism). What is the genotype of an individual with albinism?

Explanation

An individual with albinism has a genotype of homozygous recessive. This means that both copies of the gene responsible for pigmented skin are non-functional, resulting in the absence of pigmentation in the skin. Albinism is a recessive trait, meaning that an individual must inherit two copies of the non-functional gene (one from each parent) in order to express the condition.

Submit

21. Two people who do not have cystic fibrosis have a child with cystic fibrosis. What are the parent's genotypes for this to happen?

Explanation

The correct answer is Ff x Ff. In order for two people who do not have cystic fibrosis to have a child with cystic fibrosis, both parents must be carriers of the recessive allele for cystic fibrosis (Ff). When two carriers (Ff) have a child, there is a 25% chance that the child will inherit two copies of the recessive allele (ff), resulting in cystic fibrosis.

Submit

22. A nurse makes a mistake and doesn't know who a newborn baby belongs to out of the four sets of new parents in the hospital. The baby is blood type O. The nurse looks at the four parents' blood types and knows which set of parents the baby belongs to. Which set of parents from the list below are the parents of the baby?

Explanation

The correct answer is IAi x IBi. This is because the baby has blood type O, which is a recessive trait. Both IAi and IBi parents can pass on the i allele, resulting in the baby having blood type O. The other three sets of parents have at least one parent with a dominant allele (IA or IB), which would not result in a baby with blood type O.

Submit

23. What is the genotype of the unknown parent?

Explanation

The genotype of the unknown parent is aa because it is the only genotype that would result in the expression of the recessive trait. Since the unknown parent has a recessive trait, it must have two copies of the recessive allele, which is represented by the genotype aa.

Submit

24. In guinea pigs, short fur (S) is dominant to long fur (s) and brown fur (B) is dominant to white fur (b).  Which of the following represents a genotype for white guinea pig that is heterozygous for fur length?

Explanation

The genotype Ssbb represents a white guinea pig that is heterozygous for fur length. This is because the dominant allele for short fur (S) is paired with the recessive allele for long fur (s), and the dominant allele for brown fur (B) is paired with the recessive allele for white fur (b). Since the guinea pig is heterozygous for fur length, it has one allele for short fur and one allele for long fur. Therefore, the correct answer is Ssbb.

Submit

25. Cystic fibrosis is a genetic disease in which excess mucus accumulates in the lungs and digestive system of affected individuals. Males and females must inherit 2 alleles with this mutation to have the disease. What is the mode of inheritance of cystic fibrosis?

Explanation

Cystic fibrosis is inherited in an autosomal recessive manner. This means that both copies of the gene responsible for the disease need to be mutated in order for an individual to have the disease. Males and females are equally affected by cystic fibrosis, and they must inherit two copies of the mutated gene, one from each parent. If only one copy is inherited, the individual will be a carrier of the disease but will not show symptoms. Therefore, the correct mode of inheritance for cystic fibrosis is autosomal recessive.

Submit

26. Sickle cell is a disease caused by a recessive trait. A couple who do not have sickle cell have a child with sickle cell. What are the chances of the couple having another child with sickle cell?

Explanation

If a couple who do not have sickle cell have a child with sickle cell, it means that both parents are carriers of the sickle cell trait. In this case, each parent would have one normal allele and one sickle cell allele. When they have another child, there is a 25% chance that the child will inherit two sickle cell alleles, resulting in sickle cell disease. The other possibilities are that the child inherits two normal alleles (25% chance), or one normal and one sickle cell allele, making them a carrier like their parents (50% chance). Therefore, the chances of the couple having another child with sickle cell is 25%.

Submit

27. Snapdragons have an incomplete dominance means of flower color inheritance. Red (R) and White (W) are incompletely dominant alleles. If two pink flowers are crossed, what percent of the offspring will be red?

Explanation

In incomplete dominance, neither allele is completely dominant over the other, resulting in a blending of traits. In this case, red and white alleles result in pink flowers. When two pink flowers are crossed, the possible genotypes of the offspring are RR, RW, and WW. Out of these, only 25% will have the genotype RR, which corresponds to red flowers. Therefore, 25% of the offspring will be red.

Submit

28. Fur color in guinea pigs has a simple dominant or recessive inheritance patterns. If a female guinea pig homozygous dominant for black fur color is mated with a male homozygous for white fur color, in a litter of eight offspring, there would probably be

Explanation

When a female guinea pig homozygous dominant for black fur color is mated with a male homozygous for white fur color, the offspring will inherit one allele for black fur color from the mother and one allele for white fur color from the father. Since black fur color is dominant, all the offspring will have black fur color. Therefore, in a litter of eight offspring, there would probably be 8 black guinea pigs.

Submit

29. A mother who has PKU and a father who does not have PKU have a child that has PKU. What are the chances of the parents having another child who has PKU?

Explanation

If one parent has PKU and the other does not, there is a 50% chance that each child they have will inherit the PKU gene. This is because PKU is an autosomal recessive disorder, meaning that both copies of the gene must be abnormal for the disorder to be present. In this case, the child inherited one abnormal gene from the mother, who has PKU, and one normal gene from the father. Therefore, there is a 50% chance that the parents will have another child who has PKU.

Submit

30. A white mouse whose parents are both white produces only brown offspring when mated with a brown mouse. The white mouse is most probably

Explanation

The white mouse producing only brown offspring when mated with a brown mouse suggests that the brown color is dominant over white. Since all the offspring are brown, it indicates that the white mouse does not carry the dominant brown allele. Therefore, it is most likely homozygous recessive, meaning it has two copies of the recessive white allele.

Submit

31. What is the probability of a man heterozygous for blood type A and a woman heterozygous with blood type B have a child that is blood type AB?

Explanation

The probability of a man heterozygous for blood type A and a woman heterozygous for blood type B having a child with blood type AB is 25%. This is because both parents have one copy of the A allele and one copy of the B allele, and when combined, these alleles can result in the AB blood type in their child. However, there is also a 25% chance that the child will inherit two copies of the A allele (blood type A), 25% chance of inheriting two copies of the B allele (blood type B), and a 25% chance of inheriting two copies of the O allele (blood type O).

Submit

32. What is the phenotype for the person who is homozygous recessive for the cystic fibrosis trait?

Explanation

The person who is homozygous recessive for the cystic fibrosis trait will have cystic fibrosis. Homozygous recessive means that both copies of the gene responsible for cystic fibrosis are the recessive form, resulting in the expression of the disorder. Therefore, the individual will have cystic fibrosis, a genetic disorder that affects the lungs, digestive system, and other organs.

Submit

33. In these pedigrees, carriers are shown. Which of these pedigrees shows a sex-linked inheritance pattern?

Explanation

Pedigree C shows a sex-linked inheritance pattern. This can be determined by observing that the trait is only present in males and is passed on from an affected father to all of his daughters but not to his sons. This pattern is consistent with X-linked recessive inheritance, where the trait is carried on the X chromosome.

Submit

34. Key: R=Round; r=wrinkled; Y=Yellow; y=green 

What number of offspring will be heterozygous for seed color and homozygous recessive for seed shape?

Explanation

Homozygous recessive for seed shape means the offspring will have the genotype rr. Heterozygous for seed color means the offspring will have the genotype Rr. Since the question asks for the number of offspring that will have both of these genotypes, the correct answer is 2.

Submit

35. The carriers are NOT filled in for you. F=Normal, f=Cystic Fibrosis What is the genotype of the individual II3?

Explanation

The given information states that the carriers are not filled in for the individual II3. Since the individual has Cystic Fibrosis (f), it means that they must have inherited the allele for Cystic Fibrosis from at least one of their parents. However, without knowing the genotype of the other parent, it is not possible to determine if the individual is homozygous (ff) or heterozygous (Ff) for Cystic Fibrosis. Therefore, the answer is Ff.

Submit

36. A snapdragon flower is red and another snapdragon flower is white. When the two are crossed they produce only pink flowers. What are the probability of those pink flowers self-pollinating to have a pink flowered offspring?

Explanation

When two snapdragon flowers, one red and one white, are crossed and produce only pink flowers, it indicates that the pink flower color is a result of incomplete dominance. Incomplete dominance means that neither of the parental traits is completely dominant over the other, resulting in an intermediate phenotype. When the pink flowers self-pollinate, there are two possible outcomes: the offspring can inherit the pink flower color from one parent, resulting in pink flowers, or it can inherit the red or white flower color from the other parent, resulting in either red or white flowers. Therefore, the probability of the pink flowers self-pollinating to have a pink flowered offspring is 50%.

Submit

37. Horses born to 2 palomino (golden-coated) horses have a 25% chance of having a white coat, a 25% chance of having a chestnut (brown) coat, and a 50% chance of having a palomino coat. Which description of inheritance best explains the coat-color trait in these horses?

Explanation

This answer is correct because the given information states that horses born to two palomino horses have a 50% chance of having a palomino coat. Incomplete dominance occurs when neither allele is completely dominant over the other, resulting in a phenotype that is a blend or intermediate of the two alleles. In this case, the palomino coat color is not completely dominant, as there is a chance for the offspring to have a different coat color.

Submit

38. Key: R=Round; r=wrinkled; Y=Yellow; y=green What number of offspring will be Wrinkled and Yellow?

Explanation

The answer is 3 because the trait for wrinkled (r) and yellow (Y) is recessive, meaning that it requires two copies of the recessive allele to be expressed. Since the parents are both heterozygous (RrYy), there is a 25% chance for each offspring to be wrinkled and yellow. Therefore, out of the four possible combinations (RY, Ry, rY, ry), only one of them (ry) will result in offspring that are both wrinkled and yellow.

Submit

39. In these pedigrees, carriers are indicated. Which of these pedigrees shows an autosomal recessive inheritance pattern?

Explanation

Pedigree B shows an autosomal recessive inheritance pattern because both parents are carriers of the trait and have unaffected children. In an autosomal recessive inheritance, the trait is only expressed when an individual inherits two copies of the recessive allele, one from each parent who is a carrier. This pattern is consistent with Pedigree B, where both parents are carriers and have unaffected children.

Submit

40. Rabbit coat color uses multiple alleles. There are 4 that are in order of dominance from left to right in the chart provided. You have a Chinchillan rabbit mother and a Himilayan rabbit father. You have offspring that are 50% chinchillan rabbits, 25% himilayan, and 25% albino. What is the mother rabbits genotype?

Explanation

The mother rabbit's genotype is cch, c. This means that she carries one copy of the chinchillan allele (cch) and one copy of the regular coat color allele (c). Since the chinchillan allele is dominant over the regular allele, the mother rabbit exhibits the chinchillan coat color. The presence of the regular allele (c) also explains why there are offspring with the himilayan and albino coat colors, as these colors are determined by different alleles.

Submit

41. The carriers are NOT filled in for you. 
F=Normal, f=Cystic Fibrosis 
What is the probability of the individuals III1 and III2 having another child with cystic fibrosis?

Explanation

The probability of individuals III1 and III2 having another child with cystic fibrosis is 25%. This is because both individuals are carriers of the cystic fibrosis gene, indicated by the lowercase "f" in their genotypes. When two carriers have a child, there is a 25% chance that the child will inherit two copies of the gene and have cystic fibrosis.

Submit
×
Saved
Thank you for your feedback!
View My Results
Cancel
  • All
    All (41)
  • Unanswered
    Unanswered ()
  • Answered
    Answered ()
A child has AB blood type, who can he receive blood from?
What organism did Gregor Mendel use to perform his experiments?
Chickens have a codominant means of feather color inheritance. Black...
Match the following
G = golden hair. g = white hair. In the punnett square provided, how...
Key: R=Round; r=wrinkled; Y=Yellow; y=green ...
What is a useful device for predicting the possible offspring of...
For this question, use the fact that pea plants use simple dominant...
Key: R=Round; r=wrinkled; Y=Yellow; y=green ...
In snapdragon flowers, if a Red flower is crossed with a White flower....
Key: R=Round; r=wrinkled; Y=Yellow; y=green ...
For this question, use the fact that pea plants use simple dominant...
Gregor Mendel is considered the 'Father of' what?
For this question, use the fact that pea plants use simple dominant...
The carriers are NOT filled in for you. F=Normal, f=Cystic...
Based on this karyotype, which of the following statements is true?
For this question, use the fact that pea plants use simple dominant...
A male hamster has the genotype Dd and has straight fur. A female...
A mother with blood type O has a baby with blood type B. Which of the...
In humans, pigmented skin is dominant to non-pigmented skin...
Two people who do not have cystic fibrosis have a child with cystic...
A nurse makes a mistake and doesn't know who a newborn baby...
What is the genotype of the unknown parent?
In guinea pigs, short fur (S) is dominant to long fur (s) and brown...
Cystic fibrosis is a genetic disease in which excess mucus accumulates...
Sickle cell is a disease caused by a recessive trait. A couple who do...
Snapdragons have an incomplete dominance means of flower color...
Fur color in guinea pigs has a simple dominant or recessive...
A mother who has PKU and a father who does not have PKU have a child...
A white mouse whose parents are both white produces only brown...
What is the probability of a man heterozygous for blood type A and a...
What is the phenotype for the person who is homozygous recessive for...
In these pedigrees, carriers are shown. Which of these pedigrees...
Key: R=Round; r=wrinkled; Y=Yellow; y=green What number of...
The carriers are NOT filled in for you. F=Normal, f=Cystic...
A snapdragon flower is red and another snapdragon flower is white....
Horses born to 2 palomino (golden-coated) horses have a 25% chance of...
Key: R=Round; r=wrinkled; Y=Yellow; y=green What number of...
In these pedigrees, carriers are indicated. Which of these...
Rabbit coat color uses multiple alleles. There are 4 that are in order...
The carriers are NOT filled in for you. F=Normal, f=Cystic...
play-Mute sad happy unanswered_answer up-hover down-hover success oval cancel Check box square blue
Alert!