Dental Histology Hardest Exam: Quiz!

Reviewed by Editorial Team
The ProProfs editorial team is comprised of experienced subject matter experts. They've collectively created over 10,000 quizzes and lessons, serving over 100 million users. Our team includes in-house content moderators and subject matter experts, as well as a global network of rigorously trained contributors. All adhere to our comprehensive editorial guidelines, ensuring the delivery of high-quality content.
Learn about Our Editorial Process
| By Siroishka
S
Siroishka
Community Contributor
Quizzes Created: 1 | Total Attempts: 1,150
| Attempts: 1,155 | Questions: 101 | Updated: Mar 22, 2025
Please wait...
Question 1 / 102
🏆 Rank #--
0 %
0/100
Score 0/100

1. Match the following

Explanation

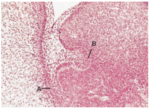
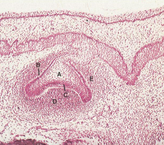
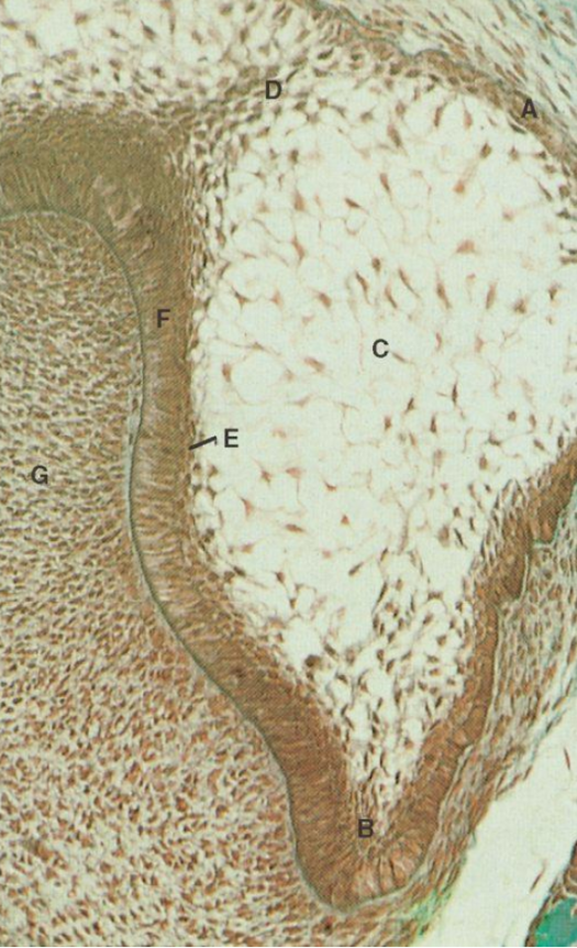
he vestibular lamina (A) and dental lamina (B) seen at the 7th week of intra-uterine life.

the primary epithelial band divides into two processes: a
buccally located vestibular lamina and a lingually situated dental
lamina.
• The vestibular lamina contributes to the development of the vestibule
of the mouth, delineating the lips and cheeks from the tooth-bearing
regions. Cells of the vestibular lamina proliferate, with subsequent
degeneration of the central epithelial cells to produce the sulcus of
the vestibule.

Submit
Please wait...
About This Quiz
Dental Histology Hardest Exam: Quiz! - Quiz

Dental Histology Hardest Exam: Quiz! challenges your understanding of salivary gland structure and oral mucosa. It assesses knowledge of various cell types and gland elements, crucial for aspiring dentists and dental researchers.

2.

What first name or nickname would you like us to use?

You may optionally provide this to label your report, leaderboard, or certificate.

2. Match the following

Explanation

1- Dentoalveolar crest fibres
2-Horizontal fibres
3-Oblique fibres
4-Apical fibres
5-Interradicular fibres
Fig 12.9: Orientation of the principle fibres of the periodontal ligament

Submit

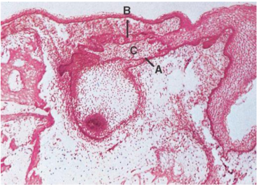
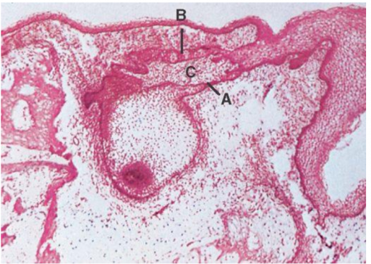
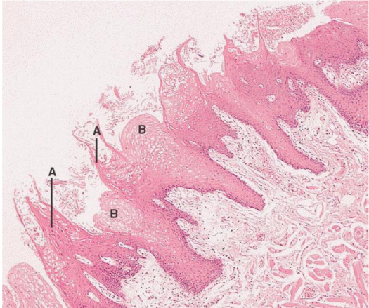
3. This photo is of an erupting tooth, with "C" and "B" fusing to make an epithelium lined pathway for the tooth. "D" is depicting enamel space.

Explanation

An erupting tooth (A) about to emerge into the oral cavity through an
epithelium-lined pathway as a result of fusion of the oral epithelium (B) and the reduced
enamel epithelium (C) D = enamel space

Submit

4. What kind of papilla is pictured?

Explanation

Section of circumvallate papilla (A). Serous glands (B) of von Ebner empty via ducts
into the base of the trench (C) surrounding the papilla, which is not raised above the surface
of the tongue. D = muscle of tongue.

Submit

5. Match the following

Explanation

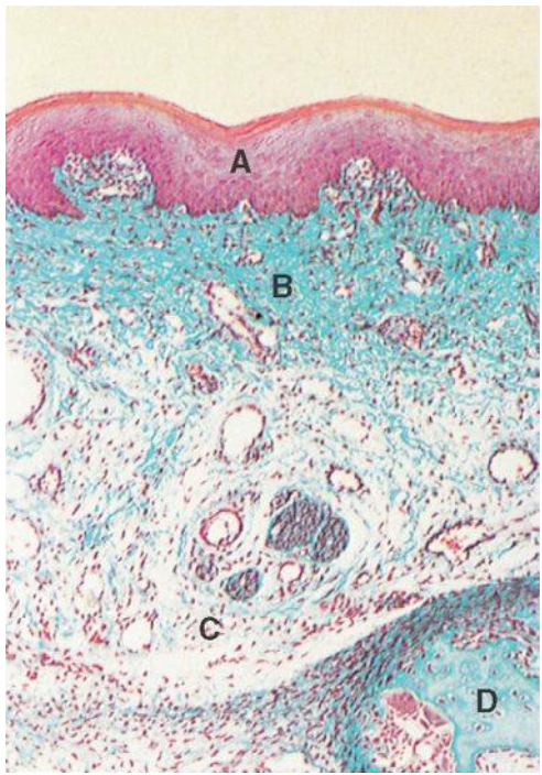
Section of skin of lip. A = keratinized epidermis; B = shaft of hair; C = sebaceous
gland; D = dermis.

Submit

6. True or false, this image is of keratinized epithelium of the soft palate

Explanation

Section of the masticatory keratinized epithelium (A) of the hard palate. Note the
highly folded interface with the lamina propria (B).

Submit

7. Match the following regions of pulp in the photo

Explanation

The dental pulp is a loose connective tissue and
made up of a combination of cells embedded in an
extracellular matrix of fibres in a semi-fluid gel.
• Cells of pulp include odontoblasts, fibroblasts, stem
cells, defense cells like lymphocytes, dendritic
antigen presenting cells etc.
• It contains 75% water and 25% organic material by
weight

Submit

8. Match the following

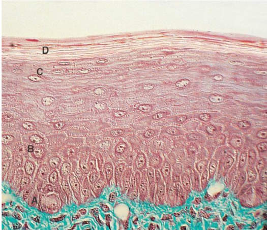
Explanation

A = basal layer (single cell layer, cuboidal cells, stem cells originate here that generate "transit-amplifying cells that give rise to replacement keratinocytes")
B = prickle cell layer (above basal cell layer, round or ovoid, desmosomes increase in # and become more obvious than basal)
C = granular layer (increased in maturation, cells are larger and flatter contain keratohyaline granules w/ filaggrin that binds keratin filaments together into a stable network)
D = keratinized layer (final stage of maturation, loss of all organelles, autolysis due to proteases. Filled entirely with tonofilaments surrounded by matrix protein filaggrin)

Submit

9. Match the following

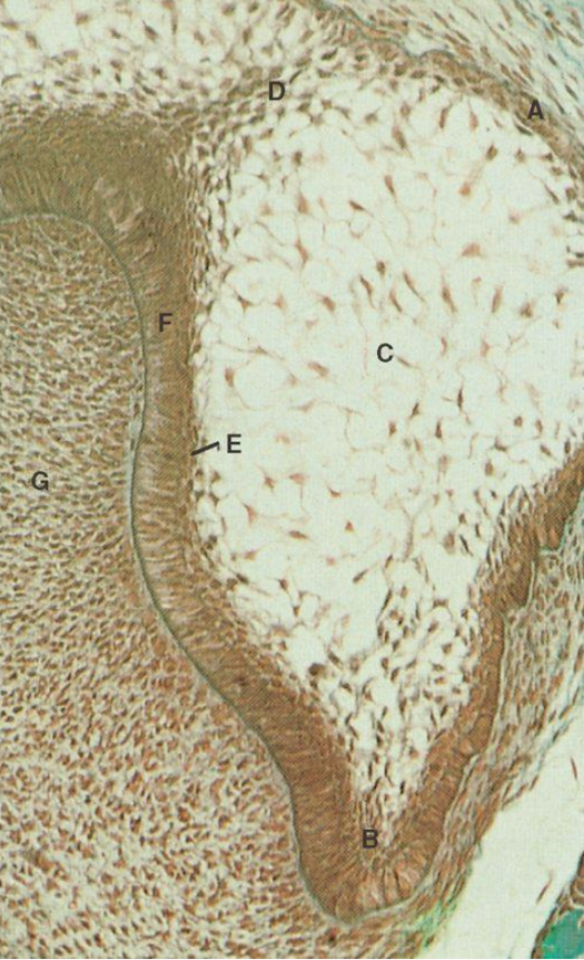
Explanation

An erupting deciduous molar before its emergence into the oral cavity. A = enamel
space; B = developing roots; C = developing alveolar crypt; D = oral mucosa and overlying
connective tissue; E = reduced enamel epithelium .

Submit

10. Photo of the late bell stage, match the following:

Explanation

High-power view of a region of a tooth germ at the late bell stage to show enamel
and dentine formation. A = odontoblasts; B = ameloblasts; C = stratum intermedium; D =
stellate reticulum; E = external enamel epithelium; dentine matrix stained green; enamel
matrix stained red.

Submit

11. What kind of taste bud is pictured?

Explanation

Section showing dorsum of anterior two-thirds of tongue covered by keratinized
filiform papillae (A) with non-keratinized regions between (B)

Submit

12. This photo depicts lining epithelium of the oral mucosa. Is there keratin present in this photo?

Explanation

-Non keratinized epithelium , Lack of keratohylaine granules , Absence of filaggrin , less developed and dispersed tonofilaments present in lining epithelium.

-The outer layers are usually termed the intermediate (stratum intermedium) and superficial (stratum superficiale) layers.

Submit

13. Match the following

Explanation

Section showing regions of oral mucosa. A = stratified squamous epithelium; B =
lamina propria; C = submucosa; D = bone

Submit

14. What kind of papilla is pictured?

Explanation

Section of foliate papilla showing taste buds (arrowed). Note the adjacent
lymphoid material characteristic of the posterior part of the tongue.

Submit

15. This photo is picturing the vermillion "red-zone" of the lip

Explanation

Section of red zone of lip. A = keratinized epithelium; B = lamina propria. Note the
folded interface between epithelium and lamina propria bringing blood vessels (C) close to
the surface.

Submit

16. What is enamel formation refferred to as?

Explanation

Enamel formation is referred to as amelogenesis. This term specifically describes the process by which enamel, the hard outer layer of the teeth, is produced and developed. During amelogenesis, specialized cells called ameloblasts secrete enamel matrix, which is composed of various proteins and minerals. This matrix then undergoes mineralization and hardening to form the durable and protective enamel layer. Understanding amelogenesis is crucial in studying tooth development, dental health, and potential treatments for enamel-related disorders.

Submit

17. This photo is showing interdental gingiva. "B" is showing the alveolar crest

Explanation

Demineralized section showing the interdental gingiva (A) between two cheek teeth
in the anteroposterior plane. B = alveolar crest; C = transseptal group of gingival fibres

Submit

18. The periodontium is made up of specialized tissues that support and surround the teeth and include the gingiva, alveolar mucosa, cementum, bone and periodontal ligament

Explanation

The periodontium refers to a group of tissues that provide support and protection to the teeth. These tissues include the gingiva (gums), alveolar mucosa (lining of the mouth), cementum (covering of the tooth root), bone, and periodontal ligament (connective tissue that attaches the tooth to the bone). Therefore, the statement that the periodontium is made up of these specialized tissues is true.

Submit

19. What transitionary structure is pictured?

Explanation

– Localized mass of cells in the
centre of the internal enamel
epithelium.
– Forms a bulge into the dental
papilla, at the centre of the
enamel organ.
– It might play a role in the
formation of crown pattern
by outlining the central
fissure. However, it soon
disappears and seems to
contribute cells to the enamel
cord .
– The disappearance of the
enamel knot by the bell stage
may be associated with
apoptosis.

Submit

20. Match the following

Explanation

In vivo appearance of maxillary gingiva (a) and mandibular gingiva (b). A =
alveolar mucosa; C = mucogingival junction; D = attached gingiva; E = free gingiva; F =
interdental papilla.

Submit

21. The Enamel Organ consists of 4 distinct layers. Which of these layers actually forms the enamel?

Explanation

Enamel organ shows four distinct layers:
- External enamel epithelium
- Stellate reticulum
- Stratum intermedium
- Internal enamel epithelium (forms enamel
whereas the first three layers provide support
to the developing tooth)

Submit

22. The stages in tooth development consists of 1) Initiation, 2) Morphogenesis, 3) Histogenesis

Explanation

Initiation- the sites of the future teeth are established,
appearance of tooth germs along an invagination of the
oral epithelium called the dental lamina.
• Morphogenesis- the shape of the tooth is determined by a
combination of cell proliferation and cell movement.
• Histogenesis- differentiation of cells (begun during
morphogenesis) proceeds to give rise to the fully formed
dental tissues, both mineralized (i.e. enamel, dentine and
cementum) and unmineralized (i.e. dental pulp and
periodontium)

Submit

23. What kind of papilla is pictured?

Explanation

Section of fungiform papilla on dorsal surface of anterior part of tongue
showing taste buds (arrowed). The papilla is keratinized (H & E; ×120). (b) High-power view
of surface of fungiform papilla seen in (a), showing taste buds (arrows) (×240).

Submit

24. What is the line pointing to in this image of a deciduous tooth?

Explanation

The line in the image is pointing to the neonatal line. The neonatal line is a distinct line that forms in the enamel of deciduous teeth during the birth and early infancy period. It represents a temporary interruption in enamel formation and can be used to determine the age at which a tooth was formed.

Submit

25. What type of enamel prism structure is this?

Explanation

The three prism patterns seen in human enamel. In pattern I enamel the prisms
are circular. In pattern II enamel the prisms are aligned in parallel rows. In pattern III
enamel the prisms are arranged in staggered rows such that the tail of a prism lies between
two heads in the next row, giving a keyhole appearance.

Submit

26. This image was taken during the 7th week of development. What is "A"?

Explanation

The vestibular lamina (A) and dental lamina (B) seen at the 7th week of intra-uterine life.

the primary epithelial band divides into two processes: a
buccally located vestibular lamina and a lingually situated dental
lamina.
• The vestibular lamina contributes to the development of the vestibule
of the mouth, delineating the lips and cheeks from the tooth-bearing
regions. Cells of the vestibular lamina proliferate, with subsequent
degeneration of the central epithelial cells to produce the sulcus of
the vestibule.

Submit

27. Match the following

Explanation

The appearance of acellular cementum (A), B = hyaline layer (of Hopewell-Smith), C =
granular layer (of Tomes), D = root dentine

Submit

28. What are the 4 tissues that support the tooth in the jaw?

Explanation

The tooth is supported in the jaw by four tissues: cementum, periodontal ligament, alveolar bone, and gingiva. Cementum is a hard tissue that covers the root of the tooth, providing attachment to the periodontal ligament. The periodontal ligament is a connective tissue that connects the tooth to the alveolar bone. The alveolar bone is the bone that surrounds and supports the tooth socket. Lastly, the gingiva, also known as the gum tissue, surrounds the tooth and provides protection. These four tissues work together to support the tooth in the jaw.

Submit

29. The Transitionary Structures are which of the following

Explanation

The transitionary structures mentioned in the answer are all related to the development of enamel in teeth. Enamel knot, enamel cord, and enamel niche are all structures that form during tooth development and play a role in enamel formation. These structures are involved in the differentiation and organization of the cells that produce enamel. Therefore, they are considered transitionary structures in the process of enamel development.

Submit

30. What transitionary structure is pictured?

Explanation

Strand of cells seen at the
early bell stage of
development extending from
the stratum intermedium into
the stellate reticulum.
– It overlies the incisal margin
of a tooth or the apex of the
first cusp to develop (primary
cusp).
– may be involved in the
process by which the cap
stage is transformed into the
bell stage (acting as a
mechanical tie) or that it is a
focus for the origin of stellate
reticulum cells.
Fig 21.20: The enamel cord (A). B = enamel navel

Submit

31. Which of the following is not a type of oral mucosa?

Explanation

Within the oral cavity about 60% of the mucosa is lining mucosa, about 25% of the mucosa is masticatory mucosa and the
remaining 15% specialized mucosa.

Masticatory mucosa is found where there is high
compression and friction, and is characterized by a
keratinized epithelium and a thick lamina propria. Eg :
gingiva and palate
• Lining mucosa is not subject to high levels of friction but
must be mobile and distensible. It is thus non-keratinized
and has a loose lamina propria. Within the lamina
propria, the collagen fibres are arranged as a network to
allow free movement, and the elastic fibres allow recoil to
prevent the mucosa being chewed. Commonly, lining
mucosa also has a submucosa. The lips, cheeks, alveolus,
floor of the mouth, ventral surface of the tongue and soft
palate have a lining mucosa.
• Specialized mucosa : the specialized gustatory mucosa of
the dorsum of the tongue and where the vermilion zone
forms a transition between the skin and the oral mucosa.

Submit

32. Match the following

Explanation

A = perimeter of a tubule as
initially laid down.
B = intertubular dentine.
C = peritubular/intratubular
dentine .

Submit

33. What is "A" in the Photo

Explanation

elongated, cuboidal shape with flat nucleus

Submit

34. The submucosa layer consists of very tight connective tissue containing fat deposits and glands. Larger nerves and blood vessels also run through the submucosa.

Explanation

The submucosa layer consists of loose connective tissue containing fat deposits and glands. Larger nerves and blood vessels also run through the submucosa.

Submit

35. What transitionary structure is pictured?

Explanation

The enamel niche is seen
where the tooth germ
appears to have a double
attachment to the dental
lamina (the lateral and
medial enamel strands).
These strands enclose the
enamel niche, which
appears as a funnel-shaped
depression containing
connective tissue.
– The functional significance
of the enamel niche is
unknown.
Fig 21.21: The enamel niche (C). A = lateral
enamel strand; B = medial enamel strand

Submit

36. What is "A"?

Explanation

Cementum is a hard, mineralized tissue that covers the root surface of teeth. It provides support and attachment for the periodontal ligament, which connects the tooth to the surrounding bone. Cementum helps to anchor the tooth in its socket and protects the underlying dentin. It is an essential component of the periodontium and plays a crucial role in maintaining the stability and health of the teeth.

Submit

37. What is the following SEM image depicting?

Explanation

)
* Up to 100μm apart towards the cusp of the tooth

Submit

38. Match the following

Explanation

The developing root. A =epithelial root sheath, B= dental papilla; C = primary
apical foramen; D = dental follicle; E = developing root dentine; F = odontoblast layer

Submit

39. What is this picture depicting represented by "A"?

Explanation

A variety of outside stimuli including
caries, attrition, cavity preparation,
microleakage around restorations and
trauma lead to formation of tertiary
dentine.
• It may resemble secondary dentine in
having a regular tubular structure; it
may have few and/or irregularly
arranged tubules; or it may be
relatively atubular.
• Also called irregular secondary
dentine, reparative dentine,
reactionary dentine, response dentine
and osteodentine.

Submit

40. When this happens to enamel, it is called?

Explanation

When enamel becomes rough, uneven, and twisted, it is referred to as gnarled enamel. This condition can occur due to various factors such as genetics, poor oral hygiene, excessive consumption of acidic foods or drinks, or certain medical conditions. Gnarled enamel can make the teeth more susceptible to tooth decay and other dental problems. Regular dental care and proper oral hygiene practices are essential to maintain healthy enamel and prevent the development of gnarled enamel.

Submit

41. Match the phases of tooth eruption

Submit

42. The Late Bell stage is associated with the formation of hard dental tissues during Week 15

Explanation

week 18

Submit

43. Match the following concerning the dentogingival junction

Explanation

Fig. 14.42: Demineralized section showing the dentogingival junction. The outline of the original enamel
surface is indicated by the broken black line. A = region of attached gingiva covered by masticatory
epithelium; B = region of free gingiva covered externally by masticatory epithelium; C = non-keratinized
crevicular epithelium; D = non-keratinized junctional epithelium. Note the tag of enamel cuticle (arrow) that
helps to delineate the oral sulcular epithelium from the junctional epithelium.

Submit

44. What kind of cells are the arrows pointing at?

Explanation

Lie between basal lamina and basal membranes of acini cells and duct cells.
• Dendritic cells with stellate shaped body,
• Also present in intercalated ducts.
• Have parasympatheic and sympatheitc
stimulation.
• Functions include: supporting parenchyma,
increasing initial flow of saliva, contributing to
secretory pressure and reducing luminal flow

Submit

45. What is the following SEM image depicting?

Explanation

)
* Up to 100μm apart towards the cusp of the tooth

Submit

46. This is a developing root, what is "B"?

Explanation

The developing root. A =epithelial root sheath, B= dental papilla; C = primary
apical foramen; D = dental follicle; E = developing root dentine; F = odontoblast layer

Submit

47. What is this condition refferred to as?

Explanation

front teeth have normal appearance, molars have had most of the enamel stripped exposing dentine. Restorations can usually help the dentition ie. crowns.

Submit

48. What is this condition called?

Explanation

teeth are malformed and dark due to absence of pulp chambers (explains translucency). Enamel is weak and flakes off as it is only weakly attached to the dentine. Enamel from first molars is lost in photo

Submit

49. Match the following

Submit

50. What is this picture showing?

Explanation

Narrow (up to 8 μm in diameter, and extend up to 25 μm
into the enamel
* Common beneath cusps
* Result of some odontoblast processes

Submit

51. What is the arrow pointing to in this image?

Explanation

* Sheet-like, structural faults
* Hypomineralised, narrower, longer and less common than enamel tufts
* May arise developmentally due to incomplete maturation of groups of prisms

Submit

52. What is "A" and what is "B"? (separate answers w/ comma)

Explanation

The distribution of acellular (A) and cellular (B) cementum.

Cellular cementum has cells (cementocytes),acellular cementum does not.
– Acellular cementum covers the root adjacent to the dentine, whereas
cellular cementum is found mainly in the apical area and overlying the
acellular cementum. Being formed first, the acellular cementum is
sometimes termed primary cementum and the subsequently formed
cellular variety secondary cementum. Common in interradicular areas.
– Many of the structural differences between cellular and
acellular cementum are thought to be related to the
faster rate of matrix formation for cellular cementum

Submit

53. This photo was taken during the 6th week of development. What is the arrow point to?

Explanation

Oral epithelium thickens
and invaginates into the
mesenchyme to form a
primary epithelial band.
• The first sign of tooth
development is the
condensation of
mesenchymal tissue which
are ectomesenchymal
(neural crest) in origin,
having migrated into the
jaws from the margins of
the neural tube.

Submit

54. What stage of morphodifferentiation is this image?

Explanation

Early cap stage of tooth development (arrows). A = Meckel's cartilage; B = developing tongue

11th week
morphogenesis- the
deeper surface of the
enamel organ
invaginating to form a
cap-shaped structure.
• Poorly
histodifferentiated.
• External and internal
dental epithelium
forming.

Submit

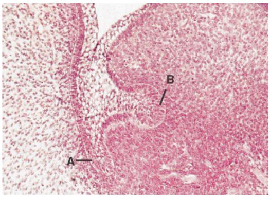
55. In this photo of a resorbing tooth, what are the arrows pointing to?

Explanation

Buccolingual section through a resorbing deciduous tooth (A) and its erupting
successor (B). Arrows indicate multinucleated odontoclasts

Resorption of the hard tissues of the deciduous tooth
takes place by the activity of multinucleated osteoclastlike cells termed odontoclasts. The vascular, resorbing
tissue has been termed the resorbing organ of Tomes.
• Odontoclasts lie within resorption lacunae (Howship's
lacunae). Odontoclasts, like osteoclasts, differentiate
from circulating monocyte-like cells. They are
vacuolated and have long cytoplasmic processes, an
abundance of ribosomes and a large number of
mitochondria. Howship's lacunae in resorbing teeth
tend to be larger and more spherical than lacunae in
bone.

Submit

56. Match the following

Explanation

EARLY BELL STAGE (CERVICAL LOOP)

A high-power view of the early bell. A = external enamel epithelium; B = cervical loop; C = stellate reticulum; D = enamel cord; E = stratum intermedium; F = internal enamel epithelium; G = dental papilla.

Submit

57. This photo is of attached gingiva, what are the arrows indicating?

Explanation

Section of the attached gingiva. The epithelium is a keratinized stratified squamous
epithelium. The lamina propria is dense and relatively avascular and the interface with the
epithelium is highly folded. The lamina propria is directly attached to the underlying alveolar
bone (A), forming a mucoperiosteum. Arrows indicate surface stippling.

Submit

58. What is "B" in this photo?

Explanation

Change in direction of tubules bw
primary and secondary dentine.
• The same odontoblasts continue to
lay down dentine and the tubules of
primary and secondary dentine are
continuous.
• Secondary dentine formation begins
at the completion of root formation
as the tooth comes into occlusion.
• Secondary dentine formation
continues throughout life leading to
smaller pulp chambers and narrower
root canals in older patients.

Submit

59. This photo is depicting orthokeratinized oral epithelium characterized by the presence of small and shrunken nuclei.

Explanation

In some areas such as the gingiva the nuclei may be retained, although small and shrunken. These cells are described as parakeratinized (in contrast to the more usual orthokeratinized cells without nuclei)

Submit

60. What layer is this?

Explanation

Characterized by desmosomes between cells that look 'prickly"

Submit

61. What is this picture showing? What is represented by "B' (separate answer with a comma)

Explanation

• Lining of the oral cavity
• Epithelium with an
underlying connective
tissue (the lamina
propria).
• Third layer (the
submucosa) is found
between the lamina
propria and the
underlying bone (palate)
or muscle (cheeks and
lips).

2 LAMINA PROPRIA LAYERS =
Superficial, papillary layer between the
epithelial ridges, in which the collagen fibres are thin
and loosely arranged.
-Deep, reticular layer dominated by thick,
parallel bundles of collagen fibres.

Section showing regions of oral mucosa. A = stratified squamous epithelium; B =
lamina propria; C = submucosa; D = bone

Submit

62. What is represented by "A" in the photo?

Explanation

If the primary
odontoblasts are killed
by an external stimulus,
or retract before
peritubular dentine
occludes the tubules,
empty air-filled tubules
will be left.
– They may be sealed at
their pulpal end by
tertiary dentine.
Fig. 9.62 : Dead tract (A) beneath a region of attrition that is sealed pulpally by tertiary
dentine (C) and secondary dentine (B).

Submit

63. What stage during enamel and dentine formation is depicted here?

Explanation

Enamel and dentine formation
commencing at the tips of future cusps
(or incisal edges).
• Under the inductive influence of
developing ameloblasts (preameloblasts), the adjacent mesenchymal
cells of the dental papilla become
columnar and differentiate into
odontoblasts.
• The odontoblasts then become involved
in the formation of predentine and
dentine. The presence of dentine then
induces the ameloblasts to secrete
enamel.
Fig 21.16: Late bell stage (appositional stage) of tooth development. Dentine matrix stained
blue; enamel matrix stained red. A = permanent tooth.

Submit

64. What is being show in this picture?

Explanation

Dentinal tubules fill in
due to age, external
stimuli (caries,
attrition).
• Type of dentine that
lacks structure and
appear transparent.

Submit

65. What is "B" in this photo?

Explanation

Fig 11.21: Attachment of the periodontal ligament fibres to cementum. The fibres of the periodontal
ligament (B) are seen to run into the organic matrix of precementum (A)

In the teeth, Sharpey's fibres are
the terminal ends of principal fibres
(of the periodontal ligament) that
insert into the cementum and into
the periosteum of the alveolar
bone

Submit

66. This image is occurring during dentine mineralization, what are the arrows pointing to?

Explanation

Dentine mineraliztion -starts
as globules or calcospherites
which fuse to form a
uniformly calcified tissue.
– Sometimes the fusion may be
incomplete and viewed in
transmitted light, the
uncalcified, interglobular
areas appear dark.
– Dentinal tubules pass through
interglobular areas and since
these areas remain
uncalcified, peritubular
dentine is also absent from
the tubules as they pass
through interglobular
dentine

Submit

67. In this photo of gingiva, what is the arrow pointing to?

Explanation

Section of the attached gingiva (A) and alveolar mucosa stripped off from underlying
bone. The arrow points to the sharp demarcation site of the mucogingival junction. Note the
keratinized epithelium covering the attached gingiva, the non-keratinized epithelium covering
the alveolar mucosa and the numerous blood vessels in the alveolar mucosa.

Submit

68. What is "A" and what is "B" in this image respectively? (Separate w/ commas)

Explanation

Very thin layer of non-prismatic enamel present in the first enamel formed at the enamel–dentine
junction

The outer 20–70 μm of teeth is non-prismatic. Here, the enamel
crystallites are all aligned at right angles to the surface and parallel to
each other. This surface layer is more highly mineralized than the rest of
the enamel because of the absence of prism boundaries, where more
organic material is located. Its thickness is variable. A very thin layer of
non-prismatic enamel, just a few microns wide, has also been reported
to be present in the first enamel formed at the enamel–dentine
junction. Non-prismatic enamel occurs as a result of the absence of
Tomes processes from the ameloblasts in the first and final stages of
enamel deposition. At dentinoenamel junction, the crystallites appear
to lie in random orientations. The final part of the enamel formed at the
surface of the crown is also aprismatic, but in this region the crystallites
are arranged uniformly parallel to each other.

Submit

69. What are the arrows pointing to in terms of dentine structural lines?

Explanation

When the secondary
curvatures coincide they
give rise to an optical
effect, resulting in the
contour lines of Owen.
– They are unusual in
primary dentine but are
sometimes seen.
– An exaggerated line is
found at the border of
primary and secondary
dentine and between
dentine formed before and
that formed after birth

Submit

70. Match the following

Explanation

The enamel niche (C). A = lateral
enamel strand; B = medial enamel strand

Submit

71. What is "B" in the photo

Explanation

surrounds serous cells, contracts cells and pushes saliva into oral cavity

Submit

72. This photo is of the Early Bell Stage. What week is this occurring at?

Explanation

14th week- further morphodifferentiation and
histodifferentiation of the tooth germ lead to the early
bell stage of the internal enamel epithelium broadly
maps out the occlusal pattern of the crown of the
tooth (differential mitosis).
• The future cusps and incisal margins are sites of
precocious cell maturation associated with cessation of
mitosis, while areas corresponding to the fissures and
margins of the tooth remain mitotically active. Thus,
cusp height is related more to continued downward
growth at the margin and fissures than to upward
extension of the cusps.

Dental lamina breaks down and the enamel organ
loses connection with the oral epithelium.
• A high degree of histodifferentiation is achieved
in the early bell stage.
• The enamel organ shows four distinct layers:
external enamel epithelium, stellate reticulum,
stratum intermedium and internal enamel
epithelium.
• The cervical loop at the margins of the enlarging
bell-shaped enamel organ is a site of mitotic
activity.

Submit

73. What layer is "B" depicting?

Explanation

granular layer is between prickle (A) and keratinized (C)

Submit

74. What condition is this refferred to as?

Explanation

Hypercementosis refers to a condition characterized by excessive cementum formation around the roots of teeth. This condition can occur as a result of various factors such as trauma, inflammation, or excessive occlusal forces. It is often observed in response to chronic irritation or stimulation, leading to the thickening of the cementum layer. Hypercementosis can be seen on dental radiographs as an increased radiopaque area around the roots of affected teeth.

Submit

75. What type of structural line is shown in terms of dentine?

Explanation

Fig 9.47: Ground section of dentine with long
period (horizontal) line 20μm apart and between
them 7-8 short term incremental lines.

Short-period markings may be seen
as alternating dark and light bands,
each pair reflecting the diurnal
rhythm of dentine formation, daily
alteration in dentine deposition.
– Referred to as von Ebner's lines.
– In cuspal dentine, where
deposition is most rapid, the
amount of dentine formed each
day and the distance between
adjacent dark bands is
approximately 4 μm.
– In the root peripherally near the
granular layer, where the dentine
has a calcospheritic pattern, the
distance between lines is nearer 2
μm .
– Seen as banding around the
dentinal tubules. Are perpendicular
to the dentinal tubules

Submit

76. What are the arrows pointing to in this image?

Explanation

Junctional structures, inner 1/3 of enamel, travel in same direction of prisms
* Hypomineralized and recur at 100μm intervals along the junction
* Contain ‘tuftelin’ (non-amelogenin)

Submit

77. Because resorption of teeth is not continuous, repair occurs as well with cementum by cementoblast type cells. If the repair process prevails over the resorption, this is called?

Explanation

Resorption of deciduous teeth is not a continuous
process. During rest periods, reparative tissue
may be formed, leading to a reattachment of the
periodontal ligament. The tissue of repair is
cementum-like and the cells responsible for its
formation are similar in appearance to
cementoblasts . If the repair process prevails over
the resorption, the tooth may become ankylosed
to the surrounding bone, with loss of the
periodontal ligament . Ankylosis may also be
caused by trauma or infection of a tooth

Submit

78. What kind of cell is this? What is "C" representing (separate answer with comma)

Explanation

Saliva is produced in and secreted from salivary glands. The basic secretory units of salivary glands are clusters of cells called an acini. These cells secrete a fluid that contains water, electrolytes, mucus and enzymes, all of which flow out of the acinus into collecting ducts

Submit

79. What is "A" indicating? What is "B"? (separate answers w/ comma)

Explanation

Demineralized section showing junctional epithelium (A) having proliferated
rootwards to lie on cemental surface of root (B). C = enamel space; D = dentine.

Submit

80. What does AEFC and CIFC stand for? (separate answers w/ comma)

Explanation

SEMs of fractured surface of root illustrating acellular extrinsic fibre
cementum (AEFC). PLFB = inserting periodontal ligament fibre bundles; CIFC =
underlying cellular intrinsic fibre cementum.

This type of cementum is composed only of intrinsic
fibres running parallel to the root surface. The absence
of Sharpey fibres means that intrinsic fibre cementum
has no role in tooth attachment.
• It generally corresponds to secondary cellular
cementum and is found in the apical third of the root
and in the interradicular areas.
• Although intrinsic fibre cementum is generally cellular
because of the rapid speed of formation, sometimes
intrinsic fibre cementum is formed more slowly and
cells are not incorporated (acellular intrinsic fibre
cementum).

Submit

81. What is happening in this photo?

Explanation

An erupting deciduous molar before its emergence into the oral cavity. A = enamel
space; B = developing roots; C = developing alveolar crypt; D = oral mucosa and overlying
connective tissue; E = reduced enamel epithelium .

Submit

82. What is this picture showing? What is labelled by "B"? (separate answers with a comma)

Explanation

Initial stage of enamel formation. A = odontoblasts; B = ameloblasts; C = stratum
intermedium D = stellate reticulum; E = external enamel epithelium; F = developing enamel; G =
developing dentine

Submit

83. What is the "SF" in this photo?

Explanation

Appearance of cellular intrinsic fibre cementum (CIFC). Note the absence of
Sharpey fibres and the parallel distribution of the bundles of mineralized intrinsic fibres.
Inset shows that Sharpey fibres (SF) can occasionally be seen inserting into CIFC.

Submit

84. What layer is this depicting?

Explanation

Section of oral epithelium showing cells undergoing cell replication (red stain).

Submit

85. What stage of morphodifferentiation is this image in? What is "A"? (separate answer w/ comma)

Explanation

Late cap stage of tooth development. A = stellate reticulum; B = external enamel epithelium; C = internal enamel epithelium; D = dental papilla; E = dental follicle

12th week (late cap stage)- the central cells of the enlarging
enamel organ have become separated (although
maintaining contact by desmosomes), the intercellular
spaces containing significant quantities of
glycosaminoglycans. This is called stellate reticulum.
• The cells of the external enamel epithelium remain
cuboidal.
• Internal enamel epithelium cells become more columnar,
increase in RNA content and hydrolytic and oxidative
enzyme activity.
• The part of the mesenchyme lying beneath the internal
enamel epithelium is termed the dental papilla, while that
surrounding the tooth germ forms the dental follicle.

Submit

86. What is this picture depicting in terms of dentine?

Explanation

•Dentine has regular, incremental, short
period and long period markings.
•They can be attributed to circadian
fluctuations in acid–base balance that
affect both the mineral content and the
refractive index of forming hard tissues
and associated with changes in collagen
fibril orientation.
•The coarser, long-period lines (Andresen
lines) are approximately 16–20 μm apart.
•Between each long-period line there are
six to 10 pairs of short-period lines.
•The cause for the 6–10-day periodicity is
unknown. The same periodicity exists
between the long-period striae of Retzius
in enamel and the long-period Andresen
lines in dentine, making it likely that a
common mechanism exists.

Submit

87. What is this photo of? What layer is "B" called? (separate answers by a comma)

Explanation

Section showing layers of keratinized oral epithelium.
A = basal layer (single cell layer, cuboidal cells, stem cells originate here that generate "transit-amplifying cells that give rise to replacement keratinocytes")
B = prickle cell layer (above basal cell layer, round or ovoid, desmosomes increase in # and become more obvious than basal)
C = granular layer (increased in maturation, cells are larger and flatter contain keratohyaline granules w/ filaggrin that binds keratin filaments together into a stable network)
D = keratinized layer (final stage of maturation, loss of all organelles, autolysis due to proteases. Filled entirely with tonofilaments surrounded by matrix protein filaggrin)

Submit

88. What structure is the image picturing? What is "C'? (separate answer with comma)

Explanation

Section of skin of lip. A = keratinized epidermis; B = shaft of hair; C = sebaceous
gland; D = dermis.

Submit

89. What is this photo of? What is "D"? (separate answers w/ comma)

Explanation

This photo is of the buccal mucosa, which is the lining of the inner cheeks. Additionally, "D" refers to the salivary gland, which is a gland that produces saliva and is located in the buccal mucosa.

Submit

90. What are the arrows pointing to?

Explanation

• These lines represent rest periods in cementum
formation.
• These lines are parallel to the long axis of the tooth.

Submit

91. In this image what is the arrow pointing to? What is "B"? (separate answers /w comma)

Explanation

The relationship between cementum (B), precementum (arrow), a layer of cementoblasts
(A) and the periodontal ligament (C).

Developmentally, cementum is said to be derived from the
investing layer of the dental follicle.
• Like dentine, there is always a thin layer (3–5 μm) of uncalcified
matrix on the surface of the cellular variety of cementum called
precementum.

Submit

92. What kind of primary structural line is shown by the arrow?

Explanation

Lines associated with the
primary curvatures of
the dentinal tubules.
– The peaks of the sigmoid
primary curvatures
coincide to form broad
bands in the dentine.
– Known as Schreger
lines.

Submit

93. What structure is this image showing? What is "A"? (separate answers w/ comma)

Explanation

Dentinoenamel junction showing A=enamel tuft, B= enamel spindle, C- enamel
lamella, D= dentine, E= enamel.

Dentinoenamel junction
• The boundary between enamel and dentine.
• Scalloping pattern (25 μm and 100 μm)
• Present beneath cusps and incisal edges where shearing forces
would be high; the enamel–dentine junction is smoother on the
lateral surfaces of the crown.
• The convexities of the scallops are on the enamel surface with the
concavities on the dentinal surface
• The enamel–dentine junction is less mineralized than either the
enamel or dentine.
• A number of features can be seen at the enamel–dentine junction
(amelodentinal junction), extending from the dentine surface into
the enamel including enamel spindles and tufts.

Submit

94. What 2 layers are depicted by "A" and "C" in the photo? (separate answers w/ comma)

Explanation

Longitudinal section of a root showing the granular (A) and hyaline (C) layers beneath
a layer of acellular cementum (B).

In ground sections the periphery of the dentine in the root
is marked by the presence of a dark granular zone, the
granular layer.
– Dentinal tubules in this area branch more profusely and
loop back on themselves, creating air spaces in ground
sections that result in internal reflection of transmitted
light.
– Differences in the rate of formation of coronal and
radicular dentine could explain why this appearance is
seen in the root but not the crown.
– The granular layer is hypomineralized in comparison to
circumpulpal dentine.
– An alternative explanation for the granular appearance is
that it is due to the incomplete fusion of calcospherites
Outside the granular layer is a clear hyaline layer
usually included as a component of the dentine
but whose origin is obscure.
– This narrow band (up to 20 μm wide) appears to
be non-tubular and relatively structureless.
– The hyaline layer may serve to bond cementum to
dentine and may be of considerable clinical
significance when considering periodontal
regeneration.

Submit

95. What stage of morphodifferentation is this image? What is "A" and "B"? (separate w/ comma)

Explanation

Bud stage of tooth development. A = enamel organ; B = mesenchymal condensation

Submit

96. What is layer "A", "B" and "C" in this photo? (separate answers w/ comma)

Explanation

A= odontoblast, C= predentine, B=mineralized dentine matrix

Submit

97. What is that arrow pointing to in this image of an erupting tooth?

Explanation

The soft tissues overlying the enamel space (A) of an erupting tooth. B = oral
epithelium; C = connective tissue between developing tooth and oral epithelium. Arrow
indicates the reduced enamel epithelium

Submit

98. Salivary glands consist of 2 elements, what are they? (separate answer with comma)

Explanation

The salivary glands are composed of two main elements: glandular secretory tissue, also known as parenchyma, and supporting connective tissue, also known as stroma. The glandular secretory tissue is responsible for producing and secreting saliva, while the supporting connective tissue provides structural support and helps maintain the shape and integrity of the glands. These two elements work together to ensure the proper functioning of the salivary glands.

Submit

99. 1) What are the other names for short and long periods of incremental lines respectively? (separate answers w/ comma). This photo represents periods of long incremental periods.

Explanation

During development changes in the enamel
secretory rhythm, chemical composition
and/or the position of the developing enamel
front are recorded as incremental features.
There are two main types of incremental line:
short period (cross-striations) and long period
(enamel striae)

Submit

100. What are the arrows pointing to?

Explanation

Extrinsic fibres in ground sections. The arrows indicate that the core of the
extrinsic fibre bundle has been lost during preparation of the ground section and
replaced with air or debris

For this type of cementum all the collagen is derived as
Sharpey fibres from the periodontal ligament (the
ground substance itself may be produced by the
cementoblasts).
• This type of cementum corresponds with primary
acellular cementum and therefore covers the cervical
two-thirds of the root . It is therefore formed slowly
and the root surface is smooth.
• The fibres are generally well mineralized.

Submit

101. What is "C" pointing to?

Explanation

A specialized feature associated with the erupting permanent tooth
is the presence of a gubernacular canal. The gubernacular canal
contains the gubernacular cord.
• The cord is composed of a central strand of epithelium (derived
from the dental lamina) surrounded by connective tissue. The
connective tissue is organized into inner and outer layers. Collagen
fibres of the inner layer show greater organization and run mainly
parallel to the long axis of the epithelium. In the outer layer, the
collagen fibres are fewer and less organized. Differences between
the layers can also be discerned with respect to the vasculature, the
vessels in the outer layer being larger. During eruption, the
gubernacular cords decrease in length but increase in thickness and
become less dense.
• Surgical removal of the cord does not prevent eruption of the
permanent tooth.

Submit
×
Saved
Thank you for your feedback!
View My Results
Cancel
  • All
    All (101)
  • Unanswered
    Unanswered ()
  • Answered
    Answered ()
Match the following
Match the following
This photo is of an erupting tooth, with "C" and...
What kind of papilla is pictured?
Match the following
True or false, this image is of keratinized epithelium of the soft...
Match the following regions of pulp in the photo
Match the following
Match the following
Photo of the late bell stage, match the following:
What kind of taste bud is pictured?
This photo depicts lining epithelium of the oral mucosa. Is there...
Match the following
What kind of papilla is pictured?
This photo is picturing the vermillion "red-zone" of the lip
What is enamel formation refferred to as?
This photo is showing interdental gingiva. "B" is showing...
The periodontium is made up of specialized tissues that support and...
What transitionary structure is pictured?
Match the following
The Enamel Organ consists of 4 distinct layers. Which of these layers...
The stages in tooth development consists of 1) Initiation, 2)...
What kind of papilla is pictured?
What is the line pointing to in this image of a deciduous tooth?
What type of enamel prism structure is this?
This image was taken during the 7th week of development. What is...
Match the following
What are the 4 tissues that support the tooth in the jaw?
The Transitionary Structures are which of the following
What transitionary structure is pictured?
Which of the following is not a type of oral mucosa?
Match the following
What is "A" in the Photo
The submucosa layer consists of very tight connective tissue...
What transitionary structure is pictured?
What is "A"?
What is the following SEM image depicting?
Match the following
What is this picture depicting represented by "A"?
When this happens to enamel, it is called?
Match the phases of tooth eruption
The Late Bell stage is associated with the formation of hard dental...
Match the following concerning the dentogingival junction
What kind of cells are the arrows pointing at?
What is the following SEM image depicting?
This is a developing root, what is "B"?
What is this condition refferred to as?
What is this condition called?
Match the following
What is this picture showing?
What is the arrow pointing to in this image?
What is "A" and what is "B"? (separate answers w/...
This photo was taken during the 6th week of development. What is the...
What stage of morphodifferentiation is this image?
In this photo of a resorbing tooth, what are the arrows pointing to?
Match the following
This photo is of attached gingiva, what are the arrows indicating?
What is "B" in this photo?
This photo is depicting orthokeratinized oral epithelium characterized...
What layer is this?
What is this picture showing? What is represented by "B'...
What is represented by "A" in the photo?
What stage during enamel and dentine formation is depicted here?
What is being show in this picture?
What is "B" in this photo?
This image is occurring during dentine mineralization, what are the...
In this photo of gingiva, what is the arrow pointing to?
What is "A" and what is "B" in this image...
What are the arrows pointing to in terms of dentine structural lines?
Match the following
What is "B" in the photo
This photo is of the Early Bell Stage. What week is this occurring at?
What layer is "B" depicting?
What condition is this refferred to as?
What type of structural line is shown in terms of dentine?
What are the arrows pointing to in this image?
Because resorption of teeth is not continuous, repair occurs as well...
What kind of cell is this? What is "C" representing...
What is "A" indicating? What is "B"? (separate...
What does AEFC and CIFC stand for? (separate answers w/ comma)
What is happening in this photo?
What is this picture showing? What is labelled by "B"?...
What is the "SF" in this photo?
What layer is this depicting?
What stage of morphodifferentiation is this image in? What is...
What is this picture depicting in terms of dentine?
What is this photo of? What layer is "B" called? (separate...
What structure is the image picturing? What is "C'? (separate...
What is this photo of? What is "D"? (separate answers w/...
What are the arrows pointing to?
In this image what is the arrow pointing to? What is "B"?...
What kind of primary structural line is shown by the arrow?
What structure is this image showing? What is "A"? (separate...
What 2 layers are depicted by "A" and "C" in the...
What stage of morphodifferentation is this image? What is...
What is layer "A", "B" and "C" in this...
What is that arrow pointing to in this image of an erupting tooth?
Salivary glands consist of 2 elements, what are they? (separate answer...
1) What are the other names for short and long periods of incremental...
What are the arrows pointing to?
What is "C" pointing to?
play-Mute sad happy unanswered_answer up-hover down-hover success oval cancel Check box square blue
Alert!