Understanding Sinus Anatomy and Mucopyocele of the Maxillary Sinus Quiz

Reviewed by Editorial Team
The ProProfs editorial team is comprised of experienced subject matter experts. They've collectively created over 10,000 quizzes and lessons, serving over 100 million users. Our team includes in-house content moderators and subject matter experts, as well as a global network of rigorously trained contributors. All adhere to our comprehensive editorial guidelines, ensuring the delivery of high-quality content.
Learn about Our Editorial Process
| By Thames
T
Thames
Community Contributor
Quizzes Created: 10007 | Total Attempts: 9,650,921
| Questions: 19 | Updated: Aug 4, 2025
Please wait...
Question 1 / 20
🏆 Rank #--
0 %
0/100
Score 0/100

1. What is it?

Explanation

The question is referring to the anatomical structure known as the right maxillary sinus, which is one of the paranasal sinuses located in the skull. The correct answer is the right maxillary sinus as indicated by option 1. Options 2, 3, and 4 are incorrect as they do not represent the structure being asked about.

Submit
Please wait...
About This Quiz
Understanding Sinus Anatomy and Mucopyocele Of The Maxillary Sinus Quiz - Quiz

Enhance your understanding of Mucopyocele of the Maxillary Sinus through this focused study. Explore key terms and concepts essential for students in otolaryngology or radiology, aiding in accurate diagnosis and management of sinus conditions.

2.

What first name or nickname would you like us to use?

You may optionally provide this to label your report, leaderboard, or certificate.

2. What structure is located within the posterior cranial fossa?

Explanation

The posterior cranial fossa contains the cerebellar tonsil, which is an anatomical structure located near the lower portion of the brain.

Submit

3. What structure is located in the right maxillary sinus?

Explanation

The correct answer is '1, Right maxillary sinus.' The other options are not anatomical structures that are typically found in the right maxillary sinus.

Submit

4. What is the location of the structure responsible for regulating breathing and other vital functions?

Explanation

The correct answer is 5, Pons. The pons is located in the brainstem and plays a crucial role in regulating breathing, sleep cycles, and other vital functions. The other options provided are not associated with these functions.

Submit

5. What structure is located in the right orbital cavity?

Explanation

The right orbital cavity contains the eye and associated structures, not the nasal septum, internal carotid artery, or fourth ventricle.

Submit

6. What is the name of the structure that connects the two hemispheres of the cerebellum?

Explanation

The structure that connects the two hemispheres of the cerebellum is called the vermis. It plays a crucial role in coordinating movements and balance.

Submit

7. Which part of the human body is responsible for processing visual information?

Explanation

The correct answer is the optic nerve, as it carries visual information from the eye to the brain for processing.

Submit

8. What is the part of the brain responsible for processing visual information?

Explanation

The occipital lobe is located at the back of the brain and is primarily responsible for processing visual information, including interpreting shapes, colors, and movement.

Submit

9. What is the name of the correct section in the brain?

Explanation

The correct section in the brain is the right orbital cavity, where the eye socket is located.

Submit

10. Which structure in the brain is responsible for cognitive functions, emotion perception, and self-awareness?

Explanation

The insula is the part of the brain associated with various functions such as cognitive functions, emotion perception, and self-awareness. It plays a crucial role in processing emotions and helping individuals become more self-aware.

Submit

11. What structure is indicated by the arrow in the image?

Explanation

The correct answer is 'Meningioma' because the arrow is pointing to a tumor within the brain, not a specific structure such as the frontal horn of lateral ventricle, anterior limb internal capsule, or thalamus.

Submit

12. What structure of the brain is responsible for linking the emotional and cognitive functions of the brain?

Explanation

The cingulate gyrus plays a key role in emotion formation and processing, cognitive control, and autonomic regulation. The other structures mentioned do not have the same functions as the cingulate gyrus.

Submit

13. What are the main structural components of the human brain?

Explanation

The correct answer includes components commonly found in the human brain, while the incorrect answers are either not specific brain structures or not related to the structural components mentioned in the question.

Submit

14. What is the name of the brain structure responsible for higher cognitive functions such as decision making and social behavior?

Explanation

The Superior frontal gyrus is involved in higher cognitive functions, while the Lateral ventricle and Central sulcus are not directly associated with decision making and social behavior. The Hippocampus plays a role in memory formation and spatial navigation.

Submit

15. What is the name of the part of the brain responsible for higher-level cognitive functions such as decision making and social behavior?

Explanation

The correct answer is the Superior frontal gyrus which plays a significant role in executive functions and emotional regulation.

Submit

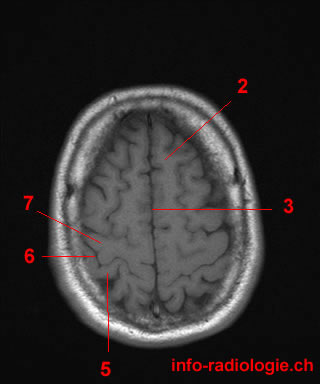
16. What is the name of the part of the brain responsible for motor functions?

Explanation

The Precentral gyrus, also known as the primary motor cortex, is responsible for controlling voluntary movements in the body. It is located in the frontal lobe of the brain.

Submit

17. What is the part of the brain responsible for motor function?

Explanation

The Central sulcus is located in the cerebral cortex and separates the frontal and parietal lobes. It plays a crucial role in motor function and is also known as the central fissure or fissure of Rolando.

Submit

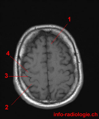
18. What is the name of the ridge of the brain that lies between the frontal and parietal lobes?

Explanation

The correct answer is the Superior frontal gyrus, which is a specific region of the brain located between the frontal and parietal lobes. This ridge is responsible for various functions related to motor skills, decision-making, and social behavior. While the other options provided are also structures within the brain, they do not specifically describe the ridge between the frontal and parietal lobes.

Submit

19. What is the medical term for a groove that separates the two hemispheres of the brain?

Explanation

The interhemispheric fissure is also known as the longitudinal cerebral fissure, which is the deep groove that separates the two hemispheres of the brain. The other options do not specifically refer to this brain structure.

Submit
×
Saved
Thank you for your feedback!
View My Results
Cancel
  • All
    All (19)
  • Unanswered
    Unanswered ()
  • Answered
    Answered ()
What is it?
What structure is located within the posterior cranial fossa?
What structure is located in the right maxillary sinus?
What is the location of the structure responsible for regulating...
What structure is located in the right orbital cavity?
What is the name of the structure that connects the two hemispheres of...
Which part of the human body is responsible for processing visual...
What is the part of the brain responsible for processing visual...
What is the name of the correct section in the brain?
Which structure in the brain is responsible for cognitive functions,...
What structure is indicated by the arrow in the image?
What structure of the brain is responsible for linking the emotional...
What are the main structural components of the human brain?
What is the name of the brain structure responsible for higher...
What is the name of the part of the brain responsible for higher-level...
What is the name of the part of the brain responsible for motor...
What is the part of the brain responsible for motor function?
What is the name of the ridge of the brain that lies between the...
What is the medical term for a groove that separates the two...
play-Mute sad happy unanswered_answer up-hover down-hover success oval cancel Check box square blue
Alert!