Med 4 - Tbl Umiddelbar Fasit

Reviewed by Editorial Team
The ProProfs editorial team is comprised of experienced subject matter experts. They've collectively created over 10,000 quizzes and lessons, serving over 100 million users. Our team includes in-house content moderators and subject matter experts, as well as a global network of rigorously trained contributors. All adhere to our comprehensive editorial guidelines, ensuring the delivery of high-quality content.
Learn about Our Editorial Process
| By Kristerstokke
K
Kristerstokke
Community Contributor
Quizzes Created: 1 | Total Attempts: 323
| Attempts: 323 | Questions: 200 | Updated: Jul 22, 2024
Please wait...
Question 1 / 201
🏆 Rank #--
Score 0/100

1. Hvilket stoff danner utgangspunkt for alle steroidhormonene? 

Explanation

Kolesterol is the correct answer because it is the precursor for all steroid hormones. Steroid hormones, such as estrogen and testosterone, are derived from cholesterol through a series of enzymatic reactions. Therefore, cholesterol serves as the starting material for the synthesis of all steroid hormones in the body. Triglycerides and fatty acids are not involved in the production of steroid hormones, and DHEA is a specific steroid hormone itself, not the precursor for all steroid hormones.

Submit
Please wait...
About This Quiz
Med 4 - Tbl Umiddelbar Fasit - Quiz

Dette er en MCQ prøve som består av alle (tror jeg) spørsmålene fra alle TBLer og noen ekstra om virus.

2.

What first name or nickname would you like us to use?

You may optionally provide this to label your report, leaderboard, or certificate.

2. Hvilken type lungebetennelse kan behandles med antibiotika?

Explanation

Bakteriell lungebetennelse kan behandles med antibiotika. Antibiotika are medications that specifically target and kill bacteria. Since bacterial pneumonia is caused by bacteria, antibiotics are effective in treating this type of pneumonia. Viral pneumonia, on the other hand, is caused by viruses and cannot be treated with antibiotics. Soppindusert lungebetennelse is pneumonia caused by fungi, and chemical pneumonia is caused by inhaling or aspirating harmful chemicals.

Submit

3. Hvilke av disse bakteriene er mest vanlig ved urinveisinfeksjoner i allmennpraksis?

Explanation

Escherichia coli and Staphylococcus saprophyticus are the most common bacteria in urinary tract infections in general practice. Pseudomonas aeruginosa and Proteus mirabilis are less commonly associated with urinary tract infections, and Pseudomonas aeruginosa and Streptococcus agalactiae are also not as frequently seen in this context. Therefore, Escherichia coli and Staphylococcus saprophyticus are the correct answer as they are the most prevalent bacteria in urinary tract infections in general practice.

Submit

4. Regionen i nyrene som inneholder Henle's sløyfe er?

Explanation

The correct answer is "Medulla." The medulla is the region in the kidneys that contains Henle's loop. Henle's loop is an important part of the nephron, which is responsible for filtering and reabsorbing substances in the blood to produce urine. The medulla plays a crucial role in concentrating urine by creating a concentration gradient through the loop of Henle. The other options, such as pelvis, cortex, and calyx, do not contain Henle's loop and are not directly involved in urine concentration.

Submit

5. Hvilket av følgende laboratoriefunn er typiske hos en pasient med under 1 ukes sykehistorie kan tyde på akutt pneumoni:

Explanation

A high CRP (C-reactive protein) level is typically seen in patients with acute pneumonia. CRP is an inflammatory marker that increases in response to infection or inflammation in the body. In the case of pneumonia, the lungs are infected, leading to an immune response and increased production of CRP. Therefore, a high CRP level can indicate the presence of acute pneumonia in a patient with a history of less than 1 week of illness.

Submit

6. Hvilken av disse agarskålene er en selektiv skål?

Explanation

Laktoseagar is a selective medium because it contains lactose as a carbohydrate source, which allows for the differentiation of bacteria based on their ability to ferment lactose. Bacteria that can ferment lactose will produce acid, causing a color change in the medium. This allows for the selective growth of lactose-fermenting bacteria and the inhibition of non-fermenters.

Submit

7. Hvilken av disse kombinasjonene er korrekt?

Explanation

The correct answer is "Sopp - KOH". This is because the KOH (potassium hydroxide) test is commonly used to differentiate between fungal and bacterial infections. When a sample is treated with KOH, the fungal cells will appear as clear or translucent due to the dissolution of their cell walls, while bacterial cells will remain intact and visible. Therefore, the combination of "Sopp - KOH" is the correct one.

Submit

8. Det følgende er korrekt for serokonversjonstid:

Explanation

The correct answer states that seroconversion time is the time from the point of infection until specific antibodies can be detected in the serum. This means that it is the time it takes for the body to produce antibodies in response to the infection. It is different from incubation time, which is the time from infection to the onset of symptoms.

Submit

9. Det følgende karakteriserer Epstein Barr-virus:

Explanation

not-available-via-ai

Submit

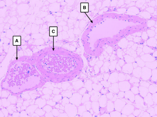
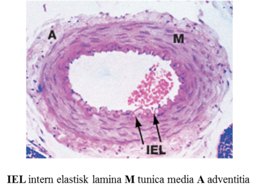
10. Navngi blodkar

Explanation

The correct answer is "Muskel Arterie". This is because a muskel arterie, also known as a muscular artery, is a type of blood vessel that contains smooth muscle in its walls. These arteries are responsible for distributing oxygenated blood to various organs and tissues in the body. They have a thicker layer of smooth muscle compared to other types of arteries, allowing them to regulate blood flow and maintain blood pressure. Muskel arterie is the most appropriate answer among the given options as it accurately describes a specific type of blood vessel.

Submit

11. Blod-thymus-barrieren har tette celle-celle kontakter mellom epitelcellene.

Explanation

The statement is true because the blood-thymus barrier does indeed have tight cell-to-cell contacts between the epithelial cells. This barrier is important for maintaining the integrity and function of the thymus, which is responsible for the development and maturation of T cells. The tight cell-to-cell contacts help to regulate the movement of molecules and cells between the blood and the thymus, allowing for proper immune cell development and function.

Submit

12. Hvilken av disse bakteriene er et viktig urinveispatogen hos kvinner i fertil alder?

Explanation

Staphylococcus saprophyticus is a common cause of urinary tract infections (UTIs) in women of reproductive age. It is considered an important uropathogen in this population due to its ability to adhere to the urinary tract epithelium and cause infection. It is often found in the periurethral area and can ascend to the bladder, causing symptoms such as frequent urination, urgency, and dysuria. Unlike other Staphylococcus species, S. saprophyticus is not a normal flora of the skin, making its presence in the urine indicative of infection rather than contamination.

Submit

13. En 77 år gammel mann er opperert for cancer coli. Tre dager etter operasjonen får han frysninger, feber og smerter lokalisert til venstre side av abdomen. Det er positive infeksjonsparametre. Det viser seg at pasienten har en abscess som utgår fra operasjonsstedet. Hvilke mikrobiologiske undersøkelser vil dere be om å få utført?

Explanation

The correct answer is to request 2 sets of blood cultures. This is because the patient is experiencing symptoms such as chills, fever, and localized pain, which are indicative of an infection. The positive infection parameters also suggest the presence of an infection. By obtaining blood cultures, the healthcare team can identify any microorganisms present in the bloodstream, which can help determine the source of the infection and guide appropriate treatment. The other options, such as requesting a stool sample for culturing intestinal pathogens or performing anaerobic and aerobic blood cultures, may not be as relevant in this case.

Submit

14. To uker senere søker kvinnen lege igjen pga smerter i underlivet og sykdomsfølelse. Ved gynekologisk undersøkelse er det ømhet ved vaginal eksplorasjon til høyre for uterus. Hva er mest sannsynlig årsak?

Explanation

The most likely cause of the woman's symptoms is salpingitis, which is an inflammation of the fallopian tubes. This is suggested by the tenderness on vaginal exploration to the right of the uterus, which is a common sign of salpingitis. Appendicitis and kidney-pelvic inflammation are less likely to cause tenderness in this specific location. An ectopic pregnancy may also cause abdominal pain and discomfort, but it is less likely in this case compared to salpingitis.

Submit

15. Regionen i nyrene som inneholder glomeruli er?

Explanation

The correct answer is Cortex. The cortex is the outer region of the kidney that contains the glomeruli, which are responsible for filtering the blood and producing urine. The medulla is the inner region of the kidney, while the pelvis and calyx are parts of the urinary system but do not contain glomeruli.

Submit

16. Nyren regulerer saltmengden i kroppen, og dermed ECV og blodtrykk. Viktigst for denne regfuleringen er:

Explanation

The correct answer is the Renin Angiotensin Aldosteron systemet (RAAS). This system plays a crucial role in regulating the salt balance in the body and, therefore, the extracellular volume (ECV) and blood pressure. The RAAS system involves the release of renin, which leads to the production of angiotensin II and the secretion of aldosterone. Angiotensin II causes vasoconstriction and stimulates the release of aldosterone, which promotes sodium reabsorption and potassium excretion in the kidneys. This ultimately helps to maintain the balance of salt and water in the body and regulate blood pressure.

Submit

17. Hvilket lungefunksjonsmål har best reproduserbarhet?

Explanation

FEV1 stands for Forced Expiratory Volume in 1 second, which is a measure of the amount of air a person can forcefully exhale in one second. This lung function measurement is highly reproducible, meaning it can be consistently and accurately measured multiple times. This makes FEV1 the lung function measurement with the best reproducibility among the options given.

Submit

18. Hvilket perkusjons og auskultasjonsfunn forventer du å finne hos en tidligere frisk person som du mistenker har fått akutt høyresidig lungebetennelse?

Explanation

Venstre lunge vil ikke være affisert. Dempet lyd i høyre lunge fordi vevet er tett. Knatrelyder er typisk for lungebetennelse. Pipelyder ved astma og KOLS.

Submit

19. Reynoldstall, eller Reynolds konstant er den vanligst forekommende dimensjonsløse størrelsen innen strømningsmekanismen og beskriver om fluiden strømmer laminært eller turbulent.

Explanation

The explanation for the given correct answer is that Reynolds number, or Reynolds constant, is indeed the most commonly used dimensionless quantity in fluid mechanics. It determines whether the flow of a fluid is laminar or turbulent. Therefore, the statement "True" is correct.

Submit

20. Varicella zoster virus lyserer infiserte celler og dette er årsak til vesikkeldannelse i huden og munnslimhinner ved vannkopper. 

Explanation

The statement explains that the Varicella zoster virus causes the formation of blisters in the skin and mucous membranes during chickenpox. This means that the statement is true.

Submit

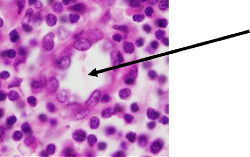
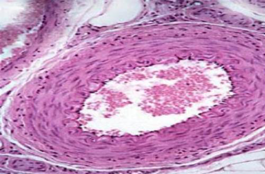
21. Identifiser blodkar og strukturene (S) som er markert med pil i veggen: 

Explanation

Røde blodceller utelukker lymfekar. Arterier har ikke klaffer.

Submit

22. Navngi type blodkar du ser på snittet (utsnitt av veggen)

Explanation

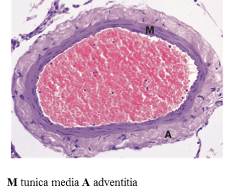
The correct answer is "Elastisk arterie." This is because elastic arteries are characterized by their ability to stretch and recoil, allowing them to withstand the pressure changes that occur with each heartbeat. These arteries are typically found closer to the heart and play a crucial role in maintaining blood flow and distributing oxygenated blood to various parts of the body.

Submit

23. Velg korrekt svar for følgende utsagn/fraser om kapillærer

Explanation

The correct answer is that all of the above statements about capillaries are correct. Continuous and fenestrated capillaries are composed of endothelial cells and are surrounded by a continuous basal lamina. Capillaries receive blood from muscular arteries. Sinusoidal capillaries have tight cell-to-cell contacts. Therefore, statement A, B, and C are all true.

Submit

24. Store elastiske arterier har ikke glatte muskelceller i tunica media.

Explanation

The statement is false. Elastic arteries do have smooth muscle cells in the tunica media. Elastic arteries are large arteries that are responsible for conducting blood away from the heart. They are characterized by their ability to stretch and recoil, which is facilitated by the presence of elastic fibers in the tunica media. In addition to elastic fibers, the tunica media of elastic arteries also contains smooth muscle cells that help regulate blood flow and maintain blood pressure.

Submit

25. Hva er grensen for signifikant bakteriuri ved spontant latte midtstrømsprøver?

Explanation

The correct answer is 1000 CFU/ml. This is the threshold for significant bacteriuria in spontaneous midstream urine samples. CFU/ml stands for colony-forming units per milliliter, which is a measurement used to quantify the number of viable bacteria in a given sample. A significant level of bacteriuria indicates the presence of a urinary tract infection.

Submit

26. Hvilken bakterie er årsaken til syfilis?

Explanation

Treponema pallidum is the correct answer because it is the bacterium that causes syphilis. Neisseria gonorrhoeae causes gonorrhea, Borrelia burgdorferi causes Lyme disease, and Haemophilus ducreyi causes chancroid.

Submit

27. Hvor på kroppen finner man Staphylococcus aureus som del av normalfloraen? Velg det svaralternativet hvor man oftest finner bakterien.

Explanation

Staphylococcus aureus is commonly found in the nose as part of the normal flora. This bacterium colonizes the anterior nares of the nasal cavity in many individuals. It is important to note that although it is a normal inhabitant, Staphylococcus aureus can also cause infections if it enters other parts of the body or if its population increases beyond normal levels.

Submit

28. Hvordan behandles antibiotika assosiert diare?

Explanation

Antibiotika assosiert diaré behandles ved å tilføre ny normalflora. Dette betyr at man tilfører gunstige bakterier til tarmen for å gjenopprette balansen som kan ha blitt forstyrret av antibiotikabehandlingen. Dette kan gjøres ved å ta probiotiske kosttilskudd eller spise matvarer som inneholder probiotiske bakterier, som for eksempel yoghurt eller kefir. Ved å tilføre ny normalflora kan man bidra til å redusere eller eliminere diarésymptomene som oppstår som en bivirkning av antibiotikabehandlingen.

Submit

29. Progesteron skilles ut av corpus luteum. Når i menstruasjonssyklus er nivået av progesteron høyest?

Explanation

During the menstrual cycle, the corpus luteum is responsible for producing and releasing progesterone. The luteal phase occurs after ovulation, when the egg is released from the ovary. This phase lasts around 10-14 days and is characterized by high levels of progesterone. Therefore, the highest level of progesterone is typically found during the luteal phase of the menstrual cycle.

Submit

30. Hvilke(t) av følgende utsagn beskriver normal utvikling og regresjon av ovariefollikel?

Explanation

The correct answer is "Primordial follikel, moden vesikulær follikel, corpus luteum og corpus albicans." This answer describes the normal development and regression of ovarian follicles, starting with the primordial follicle, which is the earliest stage of follicle development. The mature vesicular follicle is the stage where the follicle is ready for ovulation. The corpus luteum is formed after ovulation and produces progesterone. Finally, the corpus albicans is the regressed form of the corpus luteum.

Submit

31. En corpus albicans er

Explanation

The correct answer is "Resten av en corpus luteum". This means "the remainder of a corpus luteum" in English. A corpus luteum is a temporary structure that forms in the ovary after ovulation. It is responsible for producing hormones, such as progesterone, which are important for maintaining pregnancy. However, if pregnancy does not occur, the corpus luteum degenerates and becomes a corpus albicans, which is the remnant of the structure. Therefore, the correct answer refers to the remaining tissue of a degenerated corpus luteum.

Submit

32. Hvilken av disse bakteriene er mest typisk for bakteriell lungebetennelse?

Explanation

Hemophilus influenzae is the most typical bacterium for bacterial pneumonia. This bacterium is commonly found in the upper respiratory tract and can cause infections in the lungs, especially in individuals with weakened immune systems. It is a major cause of pneumonia in children and can also affect adults, particularly those with underlying health conditions. Hemophilus influenzae is known for its ability to colonize and invade the respiratory tract, leading to inflammation and infection in the lungs.

Submit

33. Den virale livssyklus kan være karakterisert ved:

Explanation

Må vite at kjennskap til ulike steg i ein viral livssyklus er eit viktig forfold for å utvikle antivirale medikament – dette er eksempel på nødvendig kunnskapsnivå om viral livssyklus.

Submit

34. Symptomet vist på dette bildet gir mistanke om infeksjon med ett av følgende virus:

Explanation

The symptoms depicted in the image suggest an infection with Hepatitis A virus. Hepatitis A is a viral infection that causes inflammation of the liver. Common symptoms include fever, fatigue, loss of appetite, nausea, abdominal pain, and jaundice. This virus is typically transmitted through contaminated food or water, and it can be prevented by practicing good hygiene and getting vaccinated.

Submit

35. Et av kjennetegnene ved hjernesirkulasjon er at

Explanation

The correct answer is that regional oxygen supply increases with metabolic needs. This means that blood flow to different areas of the brain can be adjusted based on the level of activity and energy requirements in those areas. This allows for efficient distribution of oxygen to the areas of the brain that need it the most at any given time.

Submit

36. Fettvevet er et viktig endokrint organ og lager for energi. Man har påvist at vi har såkalt brune fettceller og hva er det som gjør disse spesielle hos mennesker

Explanation

Brown fat cells, also known as brown adipocytes, are unique in humans because they contain a higher number of mitochondria compared to white fat cells. Mitochondria are the powerhouses of the cell and are responsible for producing energy. In special cases, such as exposure to cold temperatures, brown fat cells can release stored energy in the form of heat. This process, known as thermogenesis, helps to regulate body temperature and can contribute to weight loss.

Submit

37. Fredrik har som nevnt nettopp fått diagnosen cøliaki og merker seg at han får magesmerter og diare når han drikker melk. Hva kan være forklaringen på dette?

Explanation

A er feil fordi gluten som kuene spiser når ikke til melken i jurene, derfor inneholder ikke melk gluten.
B er feil
C er feil, men pancreas/galleveier stimuleres litt mindre, fordi den flatere slimhinne i duodenum. Men dette er som regel ikke et problem.
D er rett fordi laktase sitter på epitelet i tarmtottene (villi), og når disse er brutt ned under cøliaki så kan man heller ikke kunne bryte ned melk. Dette ordner seg når tarmottene er bygget opp igjen.

Submit

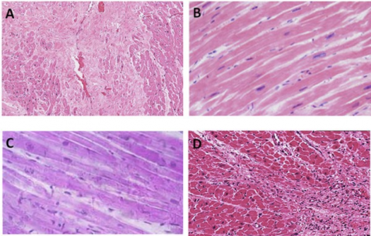
38. Dere har fått utdelt 4 histologiske snitt fra myokard fra 4 ulike pasienter (A-D). To av disse pasientene har hatt hjerteinfarkt (ett eldre og et nyere infarkt), hvilke pasienter?

Explanation

A er et eldre infarkt fordi de kontraktile cellene er borte. Det er istedet dannet et fibrøst bindevev som ikke kan kontrahere hjertet. Kornete utseende i D tyder på et ferskt hjerteinfarkt. Her blir det småødemer og dannelse av små blodkar. Masse fibroblaster som vil produsere det fibrøse området til slutt.

Submit

39. Navngi Blodkar

Explanation

The correct answer is "Vene." A vene is a type of blood vessel that carries deoxygenated blood back to the heart. It has thinner walls compared to arteries and contains valves to prevent blood from flowing backward. This is in contrast to the other options listed, which include muskel arterie (muscular artery), elastisk arterie (elastic artery), and arteriole, all of which are types of arteries that carry oxygenated blood away from the heart.

Submit

40. Foto fra dype cortex (paracortex) til en lymfeknute. Navnsett blodkar som pilen peker på:

Explanation

The correct answer is Høy-endotel-venyle (HEV). In the given question, the image is of the paracortex of a lymph node, and the question asks for the name of the blood vessel indicated by the arrow. HEV, or high endothelial venule, is a specialized blood vessel found in lymphoid organs. It plays a crucial role in the immune response by allowing lymphocytes to enter the lymph node from the bloodstream. The other options mentioned, such as muskulær venyle, sinusoide, and vene, are not specific to the structure indicated in the image.

Submit

41. Steroidhormoner binder seg til forskjellige steroidhormonreseptorer som er:

Explanation

Kjernereseptorer er en type steroidhormonreseptorer som er plassert inne i cellens kjerne. Når et steroidhormon binder seg til en kjernereceptor, dannes det et hormon-receptor kompleks som kan binde seg til spesifikke DNA-sekvenser og regulere genuttrykket. Dette fører til endringer i proteinsyntesen og kan påvirke ulike cellulære prosesser. Kjernereseptorer spiller derfor en viktig rolle i reguleringen av hormonelle responser i cellene.

Submit

42. Hvordan kan man på en enkel måte karakterisere lungefunksjon i allmennpraksis?

Explanation

Spirometri er den mest pålitelige og nøyaktige metoden for å karakterisere lungefunksjon i allmennpraksis. Den måler mengden luft en person kan puste inn og ut, samt hastigheten på luftstrømmen. Dette gir viktig informasjon om tilstanden til luftveiene og kan bidra til å diagnostisere og overvåke tilstander som astma, KOLS og andre lungesykdommer. Røntgen thorax kan være nyttig for å vurdere strukturelle endringer i lungene, men det gir ikke direkte informasjon om lungefunksjonen. PEF-måling og auskultasjon/perkusjon kan gi noen indikasjoner på lungefunksjonen, men de er mindre nøyaktige og omfattende enn spirometri.

Submit

43. Sympatisk stimulering fører til at hjertet og koronararteriene får:

Explanation

Sympathetic stimulation leads to increased contractility (slagkraft) and increased heart rate (hjertefrekvens), which indirectly increases coronary blood flow (indirekte økning i koronar blodgjennomstrømning).

Submit

44. Fredrik har nettopp fått diagnosen cøliaki, som er en sykdom i tynntarmen og som spesielt rammer øverste del av tynntarmen. Kroppen reagerer da på gluten i kornprodukter. Da mister slimhinnen sine villi (tarmtotter) og overflaten som kan absorbere næringsstoffer blir mindre. Han er helt stabil i vekt, men har litt lav hemoglobin i blodet. Er det sannsynlig at han nå mangler noen næringsstoffer.

Explanation

B er feil, selv om han har nettopp fått sykdommen, kan han ha hatt det lenge før han fikk diagnosen.
A er feil fordi man ser ikke lave albumin nivåer ved cøliaki
D er feil fordi mye vanskeligere å få for lite av makronæringsstoffer (karbohydrater, fett og proteiner/aminosyrer) enn mikronæringsstoffer (sporstoffer), derfor har han normal vekt.
C er rett fordi mangel på mikronæringssoffer som jern vil gi lavt hemoglobin

Submit

45. Bilde av koronar arterie til pasient med brystsmerter.Hvilken patologisk sammenheng er mest korrekt av følgene:

Explanation

D viser plakk, fettavleiringer i intima. Pasienten vil få brystsmerter som følge av at lumen er lite, fordi det er mangel på oksygen til hjertet. Hele prosessen starter med en rift. Avleiringen blir en stiv struktur som lett får nye rifter. Blodplater aktiveres og starter å lage en koagel/trombe og tette igjen karet. Risikoen øker med alderen.

Submit

46. Hvilken beskrivelse passer best for Staphylococcus aureus?

Explanation

Staphylococcus aureus is a type of bacteria that is commonly found on the skin and mucous membranes of humans. It is characterized by its spherical shape (kokk) and its ability to form clusters or "hauger". Gram positive refers to its ability to retain the crystal violet stain during the Gram staining process, indicating that it has a thick peptidoglycan layer in its cell wall. Therefore, the description "Gram positiv kokk i hauger" best fits Staphylococcus aureus.

Submit

47. En 68 år gammel mann har i lengre tid hatt smerter i høyre overkjeve lokalisert til molarene. I de siste ukene har han hatt tiltagende hodepine og purulent snue. Han har dårlig tannstatus og en rekke kariøse tenner og gingivitt. Hva er mest sannsynlig?

Explanation

The given information suggests that the 68-year-old man has been experiencing pain in his upper jaw, specifically in the molars, for a while. In addition, he has been experiencing worsening headaches and purulent nasal discharge. He also has poor dental health with multiple decayed teeth and gingivitis. Based on these symptoms, the most likely explanation is that he has a dental root abscess that has drained into the maxillary sinus.

Submit

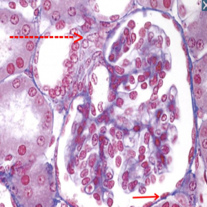
48. Identifiser tubuli som er markert med 2 på bilde

Explanation

The correct answer is "Proximal tubuli." The proximal tubules are marked with 2 on the image. These tubules are part of the renal tubule system in the kidneys and are responsible for reabsorbing most of the filtered water and solutes back into the bloodstream. They play a crucial role in maintaining the body's water and electrolyte balance.

Submit

49. Regionen i nyrene som inneholder distale slyngede (convoluted) tubuli er?

Explanation

The correct answer is Cortex. The question is asking about the region in the kidneys that contains the distal convoluted tubules. The cortex is the outer region of the kidney where the majority of the nephrons are located, including the distal convoluted tubules. The medulla refers to the inner region of the kidney, the pelvis is the central collecting area, and the calyx is a cup-like structure that collects urine from the pelvis.

Submit

50. Humane papillomavirus

Explanation

Lavrisikotyper av humane papillomavirus (HPV) er årsaken til kjønnsvorter. HPV er en seksuelt overførbar infeksjon som smitter fra person til person gjennom seksuell kontakt. Lavrisikotyper av HPV forårsaker vanligvis ikke alvorlige helseproblemer, men kan føre til utvikling av kjønnsvorter. På den annen side kan høyrisikogrupper av HPV-infeksjon føre til utvikling av kreft, spesielt livmorhalskreft. Det er derfor viktig å være oppmerksom på HPV-infeksjon og ta nødvendige forholdsregler for å forebygge og behandle infeksjonen.

Submit

51. Kroppen er normalt i stand til å lagre energi under fordøyelsen og å mobilisere lagret energi under faste – dette reguleres hovedsakelig av

Explanation

The correct answer is "Hormoner". Hormones play a crucial role in regulating the storage and mobilization of energy in the body. They control processes such as metabolism, appetite, and fat storage. Hormones like insulin, glucagon, and leptin are involved in the regulation of energy balance and can influence whether energy is stored or used by the body. Therefore, hormones are primarily responsible for the body's ability to store and mobilize energy during digestion and fasting.

Submit

52. Identifiser type hjertemuskelceller markert med A og B i figuren:

Explanation

In the given figure, cell A is labeled as "konduktive purkinje muskelceller/fibre" which refers to Purkinje muscle cells/fibers. These cells are specialized cardiac muscle cells responsible for conducting electrical impulses throughout the heart. On the other hand, cell B is labeled as "kontraktile hjertemuskelceller/fibre" which refers to contractile cardiac muscle cells/fibers. These cells are responsible for the contraction of the heart muscles, leading to the pumping action. Therefore, the correct answer is "A er konduktive purkinje muskelceller/fibre og B er kontraktile hjertemuskelceller/fibre".

Submit

53. Desinfeksjon innebærer

Explanation

Huddesinfeksjon - feil bruk av ord. Når man fjerner på levende snakker vi om antisepsis, antiseptiske midler. Til bruk på hud og slimhinner. Desinfeksjonsmidler er til bruk på døde objekter.

Submit

54. Hva måler man med lappediffusjonsmetoden?

Explanation

Lappediffusjonsmetoden is used to determine whether a bacteria is sensitive or resistant to an antibiotic. This method involves placing a paper disc containing a specific concentration of the antibiotic on a culture plate containing the bacteria. If the bacteria are sensitive to the antibiotic, there will be a clear zone of inhibition around the disc where the bacteria cannot grow. If the bacteria are resistant, there will be no zone of inhibition. Therefore, lappediffusjonsmetoden is used to determine the susceptibility of bacteria to antibiotics.

Submit

55. Hva måler man med MIC-test strips (E-test)

Explanation

MIC-test strips, also known as E-test strips, are used to determine the minimum inhibitory concentration (MIC) of an antibiotic. The MIC is the lowest concentration of an antibiotic that can effectively inhibit the growth of bacteria. By placing the E-test strip on a culture plate and observing the zone of inhibition, one can determine the MIC value. This information is crucial in determining the effectiveness of an antibiotic against a specific bacterium and helps guide treatment decisions.

Submit

56. Om furosemide

Explanation

Pumpen er drivkraften for å lage den osmotriske gradienten

Submit

57. Kjernereseptorer er:

Explanation

Transkripsjonsfaktorer er proteiner som binder seg til spesifikke DNA-sekvenser og regulerer genuttrykket ved å initiere eller hemme transkripsjonen av gener. De fungerer som brytere som slår gener av eller på, og er derfor viktige for reguleringen av cellefunksjoner og utvikling. Kjernereseptorer er en annen type proteiner som også spiller en rolle i reguleringen av genuttrykk, men de fungerer ved å binde seg til små molekyler, kalt ligander, og deretter påvirke genuttrykket. Siden transkripsjonsfaktorer er nevnt som et alternativ, kan det antas at det er riktig svar.

Submit

58. Østradiol produseres i ovariene, men i hvilken celletype skjer siste leddet av produksjonen?

Explanation

The correct answer is Granulosacellene. Granulosacellene are responsible for the final step of estradiol production in the ovaries. They are found in the ovarian follicles and play a crucial role in the development and maturation of the egg. Granulosacellene produce estradiol under the influence of follicle-stimulating hormone (FSH) and luteinizing hormone (LH), which are released by the pituitary gland. This hormone production is essential for regulating the menstrual cycle and supporting reproductive processes in females.

Submit

59. Lymfestrømmen (lymfeflow)

Explanation

The lymph flow only goes in one direction due to the presence of semilunar valves in many lymphatic vessels. These valves prevent the backflow of lymph and ensure that it moves towards the central lymphatic ducts.

Submit

60. Tette kapillærer som utgjør den såkalte blod-hjernebarrieren og gjør at

Explanation

The correct answer states that lipid-soluble molecules can diffuse across the capillary membrane, while lipid-insoluble molecules cannot pass through the capillaries. This is because the capillary membrane is composed of lipids, which allows lipid-soluble molecules to easily pass through via diffusion. On the other hand, lipid-insoluble molecules, such as proteins, cannot pass through the capillary membrane and therefore do not get transported across it.

Submit

61. Arterielle baroreseptorer finnes hvor of responderer på?

Explanation

Arterielle baroreseptorer finnes i sinus caroticus og aortabuen. Disse reseptorene responderer på trykk-stimuli, ikke kjemiske stimuli.

Submit

62. Hva er den beste beskriveslen for kapselen til Streptococcus pneumoniae?

Explanation

The best description for the capsule of Streptococcus pneumoniae is that it is a virulence factor made of polysaccharide. This means that the capsule plays a role in the bacteria's ability to cause disease by helping it evade the host's immune system. The polysaccharide composition of the capsule allows the bacteria to resist phagocytosis and clearance by the immune system, making it an important factor in the pathogenesis of pneumococcal infections.

Submit

63. Corpus luteum skiller ut:

Explanation

The corpus luteum is a temporary endocrine structure that forms in the ovary after the release of an egg during ovulation. Its main function is to produce and secrete hormones, primarily estrogen and progesterone. These hormones are crucial for preparing the uterus for potential pregnancy and maintaining the uterine lining. They also help regulate the menstrual cycle. Therefore, the correct answer is "Østrogen og progesteron."

Submit

64. Velg det korrekte svaralternativet om virus:

Explanation

Nakne virus mangler en lipidmembran rundt kapsidet. This statement is correct because naked viruses do not have a lipid membrane surrounding their protein capsid. Unlike enveloped viruses, which have a lipid bilayer derived from the host cell membrane, naked viruses have their capsid directly exposed to the external environment. This lack of a lipid membrane makes naked viruses more resistant to disinfection and more stable in the environment.

Submit

65. Filtrasjon av væske over kapillærene er viktige for:

Explanation

Filtration of liquid across the capillaries is important for regulating the fluid volume in the interstitial space.

Submit

66. Velg et korrekt svar fra følgende usagn/fraser om Hjerte/hjerteklaffen

Explanation

The correct answer states that all of the above statements are correct, meaning that both A, B, and C are true. This means that Chordae tendinae do connect the m.papillares to the AV valves, the heart valves do not have their own blood vessels, and Purkinje fibers can be observed in the subendocardial layer of the ventricles.

Submit

67. Hvilken beskrivelse passer best for Neisseria meningitidis?

Explanation

Neisseria meningitidis is a bacterium that is characterized by being gram-negative and forming diplococci in a coffee bean shape. This means that the correct answer is "Gram negativ diplokokk i kaffebønneformasjon." The other options do not accurately describe the characteristics of Neisseria meningitidis.

Submit

68. Hvilken beskrivelse passer best for Streptococcus pyogenes

Explanation

The correct answer is "Gram positive kokker i kjeder." This is because Streptococcus pyogenes is a gram-positive bacterium that is typically found in chains or pairs (kokker i kjeder). The other options describe different types of bacteria, such as gram-negative diplococci or pleomorphic cocci, which do not fit the description of Streptococcus pyogenes.

Submit

69. Blodprøvesvar:FSH                              4,2 IE/L                    (1,2 – 21 IE/L)           LH                                11,9 IE/L                   (< 77 IE/L)                             Østradiol                      72 pmol/L                 (143 – 1615 pmol/L)Testosteron                 3,8 nmol/L                 (0,3 – 1,9 nmol/L)Androstendion                     9,3 nmol/L                     (0,9 – 7,5 nmol/L)SHBG                           25 nmol/L                      (13-71 nmol/L)TSH                            4,75 mIE/L                 ( 0,4 – 4,5 mIE/L)fT4                              11,2 pmol/L                  (9,5 – 22 pmol/L)Prolaktin                     1075 mIE/L                   (95 – 975 mIE/L)Hva er den mest sannsynlige diagnosen som årsak til pasientens symptomer ut fra blodprøvesvarene? 

Explanation

- Ved PCOS har man en økt verdi av LH i forhold til FSH (LH/FSH ratio)
- Økt mengde av mannlige kjønnshormoner (androgener) - dette skyldes økt LH-konsentrasjon som stimulerer theca-cellene i ovariet til å produsere androstendion—>testosteron
- Høy prolaktin-verdi vil påvirke LH og FSH nivået slik at disse verdiene blir lav, og som videre vil påvirke østradiol-nivået ved å redusere denne. Hovedmekanismen er økte mengder prolaktin som virker negativt på hypothalamus og reduserer dermed GnRH utskillelsen.
Feil kjønn er ikke riktig alternativ fordi pasienten har hatt menstruasjon

Submit

70. Hvilke symptomer er typiske for lungebetennelse hos ellers friske individer?

Explanation

The typical symptoms of pneumonia in otherwise healthy individuals are pain during deep inspiration, difficulty breathing (dyspnea), and fever.

Submit

71. Viruskapsidets struktur kan være helisk, ikosaedrisk eller kompleks.

Explanation

The statement is true because virus capsids can indeed have helical, icosahedral, or complex structures. The capsid is the protein coat that surrounds the genetic material of a virus, and it plays a crucial role in protecting the genetic material and facilitating its entry into host cells. Different viruses have different types of capsids, with some having a helical structure, others having an icosahedral structure (which is a 20-sided polyhedron), and some having more complex structures. Therefore, the statement is correct.

Submit

72. Det følgende er korrekt om HIV:

Explanation

Hemmere av revers transkriptase blir brukt til behandling av HIV-infeksjon. Reverse transkriptase er et enzym som HIV bruker for å kopiere sitt RNA-genom til DNA. Hemmere av revers transkriptase er medisiner som blokkerer aktiviteten til dette enzymet, noe som hindrer viruset i å replikere seg selv. Disse medisinene brukes som en del av antiretroviral terapi for å kontrollere HIV-infeksjon og redusere viral belastning i kroppen.

Submit

73. Chlamydia trachomatis:

Explanation

The correct answer is "Er en obligat intracellulær bakterie" which translates to "Is an obligate intracellular bacterium." This means that Chlamydia trachomatis is a bacterium that can only survive and replicate inside host cells. It is unable to live independently outside of a host cell. This characteristic is important for understanding the pathogenesis and transmission of Chlamydia infections.

Submit

74. Et stort saltinntak 

Explanation

Det er vann som flytter seg. Saltinntaket må derfor fortynnes med vann, og dette gjøres ved isoosmotisk overhydrering. Dette tar mange timer-dager. Lymfen styres av væske i vev. Mer væske i vev fører til økt lymfeflow.

Submit

75. Den avgjørende celle-cellekontakt for at hjerte skal kunne opptre som et funksjonelt syncyticum er:

Explanation

The correct answer is Nexus / Gap-junctions. Nexus or gap-junctions are specialized protein channels that allow direct communication and exchange of ions and small molecules between adjacent cells. In the context of the heart, gap-junctions play a crucial role in coordinating the contraction of cardiac muscle cells, allowing them to behave as a functional syncytium. This synchronized contraction ensures efficient pumping of blood throughout the heart. Other cell-cell junctions mentioned in the options, such as zonula occludens, desmosomes, and fascia adherens, are involved in cell adhesion and tissue integrity but do not facilitate direct communication between cells like gap-junctions do.

Submit

76. Det har vært et utendørs selskap på en hytte i skjærgården en varm sommerdag. Grillmåltid etterfulgt av bløtkake og kaffe. I løpet av natten blir noen i selskapet syke med kvalme, brekninger og diare. Symptomene forsvinner i løpet av formiddagen. Hvilket eller hvilke agens kan være årsak til plagene?

Explanation

Staph aureus lager preformert toksin. Virker derfor med en gang. Tidsaspekt i anamnese er viktig.
Staphylococcus aureus - preformert toksin, varmestabilt. Toksinet forsvinner ikke selv om vi koker opp maten.

Submit

77. Østrogen skilles ut fra:

Explanation

Estrogen is secreted from both the corpus luteum and the follicular epithelium in the secondary follicles. The corpus luteum is formed in the ovary after ovulation and it secretes estrogen along with progesterone. The follicular epithelium in the secondary follicles also produces estrogen. Therefore, both options 1 and 4 are correct.

Submit

78. Et spirometriresultat som viser FEV1 på 75% av forventet, FVC på 75% av forventet og en FEV1/FVC ratio på 0,65 kan være forenlig med følgende svaralternativ:

Explanation

Lave verdier er normalt hos eldre. Variasjoner innenfor det som regnes som normalt er større hos eldre enn yngre mennesker.

Submit

79. Det inspiratoriske pustearbeidet består i å overvinne elastisk motstand i selve lungevevet og motstand mot luftstrøm i bronkietreet. Hvilket lungesymptom er assosiert med økt pustearbeid?

Explanation

Dyspné = pustebesvær, tung pust. Skyldes ofte hypoksi. Det først nede på 8kPa at du får en betydelig endring i ventilasjonen.

Submit

80. Følgende virus er DNA virus 

Explanation

Adenovirus is a correct answer because it is a DNA virus. Adenoviruses have a double-stranded DNA genome and are known to cause respiratory, gastrointestinal, and eye infections in humans. They are non-enveloped viruses and have a wide host range, infecting both humans and animals. Adenoviruses are commonly associated with respiratory illnesses such as the common cold, bronchitis, and pneumonia. They can also cause conjunctivitis, gastroenteritis, and urinary tract infections. Therefore, Adenovirus fits the description of a DNA virus.

Submit

81. Levende svekket vaksine er i bruk for:

Explanation

A weakened or attenuated vaccine is used for Rubella virus (røde hunder). This type of vaccine contains live viruses that have been modified to be less harmful but can still stimulate an immune response. This allows the body to build immunity against the virus without causing the disease itself. This approach is effective in preventing Rubella virus (røde hunder) infection.

Submit

82. Velg det korrekte svaralternativet om hepatitt B:

Explanation

The correct answer states that the detection of HBe antigen in chronic hepatitis B is associated with a poorer prognosis. This means that if HBe antigen is present in a patient with chronic hepatitis B, it indicates a higher likelihood of disease progression and a worse outcome. This information is important in assessing the severity and management of chronic hepatitis B.

Submit

83. Velg det korrekte svaralternativet om virus og svangerskap:

Explanation

Parvovirus B19 er kjent for å kunne infisere fosteret under svangerskapet og kan føre til abort.

Submit

84. Starlingkreftene langs kapillærene gjør at

Explanation

Mindre væske filtreres i den venøse enden enn i den arterielle enden av kapillæret.

Submit

85. Små arterier har høyt innhold av elastiske fibre i tunica media.

Explanation

Small arteries actually have a low content of elastic fibers in the tunica media. The tunica media of small arteries is mainly composed of smooth muscle cells, which allow for vasoconstriction and vasodilation to regulate blood flow. Elastic fibers are more abundant in larger arteries, such as the aorta, where they help maintain the elasticity and compliance of the vessel walls. Therefore, the statement that small arteries have a high content of elastic fibers in the tunica media is false.

Submit

86. Hvor på kroppen finner man alfahemolytiske streptokokker som del av normalfloraen? Velg det svaralternativet hvor man oftest finner bakteriene.

Explanation

Alfahemolytiske streptokokker finnes vanligvis i munnen som en del av normalfloraen.

Submit

87. Hvilke typer av tubuli kan man finne i margstrålene?

Explanation

All types of tubules mentioned in options A, B, and C can be found in the medullary rays. The descending proximal tubules (option A) are responsible for reabsorbing water and solutes from the filtrate. The collecting ducts (option B) collect the filtrate from multiple nephrons and help in the final concentration of urine. The ascending tubules (option C) are involved in the reabsorption of electrolytes. Therefore, all three options are correct.

Submit

88. Urea

Explanation

- Ureareabsorpsjonen er avhengig av ADH.
- Urea kommer fra proteinkatabolismen, det må absorberes under antiurese for at det ikke skal bli skilt ut for mye med urinen. Dette fordi urea trekker med seg vann.
- Riktig at ca. 50% blir reabsorbert.
- Ved en dehydrert tilstand vil ADH også virke på urea-kanaler i terminale samlerør. I situasjoner vi har mye ADH i plasma vil det bli reabsorbert mer urea - da blir clearance under 50%. Hvis ikke dette skjer vil urea øke i urinen.

Submit

89. Er det slik at en viral ligand binder til spesifikke reseptorer på vertscellen?

Explanation

A viral ligand is a molecule on the surface of a virus that binds to specific receptors on the host cell. This binding is necessary for the virus to enter the host cell and infect it. Therefore, it is true that a viral ligand binds to specific receptors on the host cell.

Submit

90. Det gir en dårligere prognose hvis man er født med Hep B enn hvis man blir smittet som voksen.

Explanation

nesten alle (over 90%) som blir smitta med HBV ved fødsel, blir kroniske berarar og prognosen er på lang sikt dårleg med tanke på leversvikt og leverkreft.

Submit

91. Caroline er 31år gammel og fikk 19år gammel operert bort 1 meter av tynntarmen nederst fordi den gikk tett («tarmslyng» = ileus). Nå har hun utviklet nerveskader pga vitaminmangel. Hvilket vitamin kan det være hun mangler og hvorfor?

Explanation

Ikke B fordi intrinsic factor blir skilt ut/produsert i magesekken.
Ikke A fordi
Ikke D fordi D- vitamin betyr myr for skjelett/muskler. Men ikke for nervevev.
C fordi vitamin B12 blir tatt opp i nederste delen av tynntarmen (ileum)

Submit

92. Navngi blodkar

Explanation

Arterioles are small blood vessels that branch out from arteries and lead to capillaries. They are responsible for regulating blood flow and blood pressure. They have smooth muscle in their walls, allowing them to constrict or dilate to control the amount of blood flowing through them. This ability to regulate blood flow is important in maintaining proper blood pressure and delivering oxygen and nutrients to tissues. Therefore, arterioles are the correct answer in this context.

Submit

93.
  1. Du blir som allmennpraktiker oppsøkt av en 30 år gammel kvinne med tildels illeluktende fluor vaginalis og som er anmeldt som smittekilde for gonore. Hvilke andre lokalisasjoner er det mest aktuelt å ta prøve fra for påvisning av gonokokker?

Explanation

The correct answer is "Hals og rektum" (throat and rectum). When a patient presents with symptoms of gonorrhea, it is important to test multiple sites for the presence of gonococcal infection. The throat and rectum are common sites of infection in addition to the genital area. Testing these sites helps to ensure accurate diagnosis and appropriate treatment.

Submit

94. Hormonet hCG produseres av placenta og mengden i sirkulasjonen er:

Explanation

not-available-via-ai

Submit

95. Den intraperitoneale del av ovariet er kledt av:

Explanation

The correct answer is "Geminativt epite." This means that the intraperitoneal part of the ovary is lined with germinal epithelium. The germinal epithelium is a layer of cells that covers the surface of the ovary and gives rise to the eggs. It is responsible for the production of new eggs and plays a crucial role in the reproductive process.

Submit

96. Årsaken til menstruasjonsforstyrrelsen er mest sannsynlig:

Explanation

- Vektøkningen tilsier at hun har hypothyreose —> SHBG nivået går ned ved en slik tilstand, sekundær hypothyreose - lett forhøyet testosteronnivå
- Perifer insulinresistens - insulin hemmer transkripsjonen av SHBG, og dermed får man økt fritt testosteron (biologisk aktiv) - økt androgennivå i blodet.
- Prolaktin hemmer GnRH som dermed fører til redusert frigjøring av LH og FSH —> hypogonadisme.

Submit

97. Chlamydia trachomatis skiller ut glykogenlignende stoff som danner inklusjonsvakuoler. 

Explanation

Påstand er sann, kan bli farget med jod for mikroskopi.

Submit

98. Addisonkrise forekommer

Explanation

Binyrebarkhormonene er livsnødvendige. Ved svikt går det langsomt, men ved akutt stress kreves rask medisinering. Behandles med kortisol. Viktig å vite om man går på steroider i forbindelse med behandling.

Submit

99. EM bilde av kapillær, identifiser type kapillær.

Explanation

Hull i endotelet er typisk for fenestrerte kapillærer. Kontinuerlig basallamina tyder på at det ikke er en diskontinuerlig kapillær.

Submit

100. Hvor på kroppen finner man propionebakterier som del av normalfloraen? Velg det svaralternativet hvor man oftest finner bakteriene.

Explanation

Propionebakterier er en del av normalfloraen på huden.

Submit

101. Hvilke av følgende hormoner skilles kun ut i lutealfasen av menstruasjonssyklus?

Explanation

Progesteron is the correct answer because it is the hormone that is only secreted during the luteal phase of the menstrual cycle. LH and FSH are released during the follicular phase, while estrogen is produced during both the follicular and luteal phases. Progesterone is primarily responsible for preparing the uterus for implantation of a fertilized egg and maintaining pregnancy if it occurs.

Submit

102. Hva karakteriserer sykdommen astma?

Explanation

Astma kjennetegnes av tung pust. Langsommere å tømme lungene, de maksimale kreftene for å tømme lungene er redusert. Typisk for astma og ikke KOLS er variabel lungefunksjon. VIKTIG kjennetegn med astma: variabelt, kommer og går.

Submit

103. Humanpatogene viruspartikler (virion):

Explanation

This statement suggests that human pathogenic virus particles (virions) can possess enzymes for replication. This means that these viruses have the ability to produce copies of themselves within a host cell, allowing them to multiply and potentially cause infection. This characteristic is essential for the virus's survival and propagation in the host organism.

Submit

104. Netto transport av væske over kapillærene er

Explanation

Ved betennelse vil det alltid være økt nettotransport. Hevelse = ødem. Ødemer kan oppstå ved lymfeobstruksjon, pga manglende drenasje, nettotransport av væske over kapillærene trenger derfor ikke bestandig være økt.

Submit

105. Utskillelse av antidiuretisk hormon (ADH)

Explanation

not-available-via-ai

Submit

106. Ved sult vil kroppen endre energiomsetningen betydelig over tid. Hvordan vil hjernen og annet nervevev ernæres hos en pasient under langvarig sult.

Explanation

Glukose lagrene brukes opp ila. de første 24 - 48 timene. Hjernen kan ikke benytte seg av fettsyrer direkte, de er nødt til å omdannes til ketonlegemer.

Submit

107. Identifiser A, B, og C

Explanation

Blod i arterie og vene. Arterien er mer ruglete inn mot lumen, og har tykkere lag. I venen er det adventitia som dominerer, og kollaps i strukturen er typisk for vener fordi de inneholder mindre muskelceller. Mer uregelmessig struktur og vanskelig å se de ulike lagene er typisk for lymfekar.

Submit

108. Hvilket av følgende celler eller fibre er normalt oberverbar i epikard men IKKE i endokard:

Explanation

Fettceller/adipocytter (fat cells) are normally observable in the epikard, which is the outer layer of the heart, but not in the endokard, which is the inner layer of the heart. The other options (elastin, enlaget plate epithelium, and collagen) can be observed in both the epikard and endokard.

Submit

109. Følgende blir brukt i klassifikasjon av virus:
- enkelttrådet RNA eller DNA, sirkulært DNA, RNA fragmenter.

Explanation

This statement is true because in the classification of viruses, one of the factors considered is the type of genetic material they possess. Viruses can have either single-stranded RNA or DNA, circular DNA, or RNA fragments. This classification helps in understanding the structure and behavior of different viruses.

Submit

110. Raskt inntak av rent vann

Explanation

Forhold 1/2 mellom intracellulært og ekstracellulært volum. Vil derfor være en diffusjon på 2/3. Vann flytter seg, ikke salt.

Submit

111. Blodstrømmen til hjernen og oksygenekstraksjonen er i normalsituasjonen: 

Explanation

In the normal situation, the blood flow to the brain and oxygen extraction are at a much higher level than in resting muscle and also have a higher oxygen extraction.

Submit

112. Det økte O2 behovet til hjertet ved hard fysisk aktivitet dekkes av:

Explanation

During hard physical activity, the increased oxygen demand of the heart is primarily met by an increase in blood flow to the heart muscle. This increased blood flow ensures that sufficient oxygen is delivered to the heart to meet its needs. However, there is also an increase in oxygen extraction from the blood by the heart muscle, which helps to further meet the increased oxygen demand. Therefore, the correct answer is that the increased oxygen demand of the heart during hard physical activity is primarily covered by increased blood flow, but also by increased oxygen extraction.

Submit

113. Navngi blodkar

Explanation

A "muskel arterie" is a type of blood vessel that is primarily composed of smooth muscle tissue. These blood vessels are responsible for carrying oxygenated blood away from the heart and to various parts of the body. They have a thicker layer of smooth muscle compared to other types of arteries, allowing them to regulate blood flow and maintain blood pressure. Muskel arterie is the correct answer because it accurately describes a specific type of blood vessel based on its composition and function.

Submit

114. Glomeruluskapillærene er karakterisert av

Explanation

- Høy Kf = slipper godt igjennom filtratet (minus protein og erytrocytter) - stort areal, høy permeabilitet for vann
- Glomerukapillærene er for tette til å kunne skille ut albumin.
- Hvis RF er 1 er det helt tett for albumin og det kolloid osmotiske trykket vil fullt ut uttrykkes. Refleksjonskoeffisienten er 1 i glomeruluskapillærene
- Mesangiet ligger utenfor filtrasjonsbarrieren (glomeruluskapillærene) og har egne celler som er viktig for vedlikehold av glomerulus.

Submit

115. Tenk deg at en frisk person, med normal væskebalanse, får injisert en litt kraftig Angiotgensin II dose intravenøst. Dog er ikke dosen større enn at den er fysiologisk relevant, f.eks for en sterkt dehydrert tilstand (lav ECV og saltmangel). Hva skjer med glomerulær filtrasjonshastighet (GFR) og blodstrøm (RBF)

Explanation

- Nyre-kapillærene er mer sensitiv for Ang II enn andre kapillærer i kroppen
- Ved en slik tilstand vil alle motstandskar konstrigerer seg, det samme gjelder afferent og efferent arteriole. GFR prøver å hold seg så stabil som mulig til tross for høyere blodtrykk.
- Konstriksjon av efferent arteriole øker kapillærtrykket og etterhvert også det kolloid osmotiske trykket.

Submit

116. Om epididymis 

Explanation

The correct answer is that sperm is stored in the caudal part of the epididymis. The epididymis is a coiled tube located on the back of each testicle, and it plays a crucial role in the maturation and storage of sperm. As sperm travel through the epididymis, they undergo changes that enable them to become motile and capable of fertilization. The caudal part of the epididymis is the final section where sperm are stored before they are ejaculated during sexual intercourse.

Submit

117. Hvilke er de tre hyppigste symptomene ved alvorlig KOLS?

Explanation

The correct answer is "Dyspnoe, luftveisinfeksjoner, hoste." This answer is correct because dyspnoe, which refers to difficulty in breathing, is one of the main symptoms of severe chronic obstructive pulmonary disease (KOLS). Additionally, individuals with KOLS often experience frequent respiratory infections (luftveisinfeksjoner) due to the compromised function of their lungs. Coughing (hoste) is another common symptom of KOLS, as it is the body's way of trying to clear the airways. Therefore, this combination of symptoms accurately reflects the three most common symptoms of severe KOLS.

Submit

118. Hva betyr normalt mest for væsketransport over kapillærveggen

Explanation

Arterier har ikke noe å si for kapillærtrykk. Motostanden i arterioler regulerer kapillærtrykket.

Submit

119. En økning i ekstracellulær natriumkonsentrasjon forårsaker

Explanation

An increase in extracellular sodium concentration causes a decrease in the release of antidiuretic hormone (ADH) from the pituitary gland, which leads to reduced water reabsorption in the kidneys. This means that more water will be excreted in the urine, resulting in a decrease in blood volume and an increase in urine output.

Submit

120. Hvilken av disse bakteriene har pyocyanin?

Explanation

Pseudomonas aeruginosa is the bacterium that produces pyocyanin. Pyocyanin is a blue-green pigment that is produced by Pseudomonas aeruginosa as a virulence factor. It plays a role in the bacterium's ability to cause infections and evade the host immune system. Proteus mirabilis, Klebsiella pneumoniae, Escherichia coli, and Staphylococcus aureus do not produce pyocyanin.

Submit

121. Nyren er grunnleggende for lang-tids blodtrykkskontroll pga:

Explanation

The correct answer states that cardiac mechanoreceptors and atrial baroreceptors regulate the levels of hormones secreted by the kidney, which in turn regulate water and salt excretion, and therefore blood pressure. This explanation highlights the role of these receptors in controlling the release of hormones that directly impact the regulation of blood pressure through the kidneys.

Submit

122. I mellomstore vener er tunica media og tunica adventitia like store.

Explanation

The statement is false because in medium-sized veins, the tunica media (middle layer) is thinner than the tunica adventitia (outer layer).

Submit

123. Celletypen med osmoreseptor (markert med pil A) er:

Explanation

The correct answer is Macula densa, which acts as a chemoreceptor for the autoregulation of GFR and blood flow, as well as for the regulation of renin. Macula densa cells are located in the distal convoluted tubule of the nephron and are sensitive to changes in NaCl concentration in the tubular lumen. When NaCl levels are high, macula densa cells release vasoactive substances that constrict the afferent arteriole, reducing GFR and blood flow. Additionally, macula densa cells can stimulate the release of renin from juxtaglomerular cells, which plays a role in regulating blood pressure and fluid balance.

Submit

124. GFR halveres og stabiliserer seg på 50% av utgangspunktet. Etter en uke er S-Kreatinin og utskillelsen av kreatinin i urinen (mg/min)

Explanation

Den filtrerte mengden er GFR x P(kreatinin). Utskilt mengde blir lik den mengden som blir produsert.

Submit

125. Er det slik at en viral ligand kan fusjonere med en spesifikk reseptor på vertscellen?

Explanation

A viral ligand can indeed fuse with a specific receptor on the host cell. This fusion allows the virus to enter the host cell and initiate infection. The interaction between the viral ligand and the host cell receptor is often highly specific, with the ligand binding to its complementary receptor. This binding triggers a series of events that lead to the fusion of the viral envelope with the host cell membrane, allowing the virus to release its genetic material into the host cell and take over its machinery for replication.

Submit

126. Plasma konsentrasjon av natrium reguleres innenfor smale grenser på 140 til 145 mEq/L for å:

Explanation

Na regulerer ikke væske intracellulært.

Submit

127. Når det gjelder perfusjon og arterietrykket i hjernen er 

Explanation

Dersom det blir lavt blodtrykk må perfusjonen i hjernen fortsette innenfor normale grenser. Hvis det hadde vært perfusjonen og arterietrykket hadde vært proposjonal og blodtrykket hadde gått ned ville det ført til alvorlige konsekvenser (hypoksi).

Submit

128. En 60 år gammel mann har i noe tid hatt periodevis plager med nyrestein. Han har nå symptomer på en øvre urinveisinfeksjon. Ved undersøkelse av urinen påvises en ikke laktosespaltende bakterie. Hvilken bakterie er sannynlig årsak til infeksjonen?

Explanation

The most likely cause of the upper urinary tract infection in this 60-year-old man with a history of intermittent kidney stones is Proteus mirabilis. This bacterium is commonly associated with urinary tract infections, especially in individuals with urinary tract abnormalities or urinary catheterization. It is known to produce urease, an enzyme that hydrolyzes urea to ammonia, leading to the formation of alkaline urine and the precipitation of struvite stones. Additionally, Proteus mirabilis is non-lactose fermenting, which is consistent with the finding of a non-lactose fermenting bacterium in the urine.

Submit

129. Den mest vanlige nefrotiske syndrom for barn fra 2-6 år er minimal change glomerulonefritt. Glomerulus ser normal ut i lysmikroskopi. Elektronmikroskopi viser tap av fotprosesser (Figur B). Hva er årsaken til at slike pasienter har omfattende ødem?

Explanation

The most common nephrotic syndrome in children aged 2-6 years is minimal change glomerulonephritis. In this condition, the glomerulus appears normal in light microscopy, but electron microscopy shows loss of foot processes. The reason why these patients have extensive edema is due to extensive proteinuria, loss of albumin, and salt retention. Proteinuria leads to the loss of albumin, which is an important protein responsible for maintaining osmotic pressure in the blood vessels. This loss of albumin and salt retention leads to fluid accumulation in the interstitial spaces, causing edema.

Submit

130. En person får redusert blodtilførselen til den ene nyren (ensidig nyrearteriestenose) slik at trykket bak stenosen faller fra normalt 100 mmHg til 70 mmHg. Hva skjer?

Explanation

Ødem kommer ganske seint. Nyren vil oppleve et høyt trykk i tillegg til renin, høyt trykk i seg selv vil føre til at nyren skiller ut mer salt. Den friske nyren får også et høyt trykk og vil drive med saltutskillelse (den vil også ta over saltutskillelsen til den syke nyren).

Submit

131. Østrogenproduksjonen i ovariet har som funksjon bl.a. å:

Explanation

Estrogenproduksjonen i ovariet har som funksjon å fremme utviklingen av den "dominante" follikelen i ovariet. Estrogen stimulerer vekst og modning av follikelen, som inneholder eggcellen. Den "dominante" follikelen er den som blir valgt ut for videre utvikling og frigjøring av egget under eggløsning. Estrogen er viktig for å opprettholde en normal menstruasjonssyklus og forberede kroppen på en eventuell graviditet.

Submit

132. Orf er en zoonose forårsaket av et parapoxvirus

Explanation

The given statement is true. Orf is indeed a zoonotic disease caused by a parapoxvirus. Zoonotic diseases are those that can be transmitted between animals and humans. Orf primarily affects sheep and goats, but humans can also contract the virus through direct contact with infected animals or contaminated materials. It typically causes skin lesions, which can be painful and take several weeks to heal.

Submit

133. Følgende kan være en del av en viral livssyklus: -Produksjon av tomme kapsider uten viralt genom.

Explanation

This statement is true because one of the stages in the viral life cycle can involve the production of empty viral capsids without the viral genome. During this stage, the virus replicates its capsid proteins but does not package its genetic material inside them. This can happen in certain types of viruses, and it is an important step in the viral replication process.

Submit

134. Paramyxovirus (kusmavirus - parotittvirus), HIV, og HSV i enkelte celletyper kan alle gi syncytiedannelse av infiserte celler i kultur.

Explanation

The statement is true because Paramyxovirus, HIV, and HSV can all cause the formation of syncytia in infected cells in culture. Syncytia are multinucleated cells that result from the fusion of multiple individual cells, and they are a characteristic feature of viral infections caused by these viruses.

Submit

135. Binyrebarksvikt resulterer i

Explanation

Binyrebarksvikt: mer ATCH, mindre negativ feedback.

Submit

136. Hvilke utfordringer står hjertemuskelen ovenfor?

Explanation

The heart muscle faces challenges of high oxygen consumption relative to its size and reduced blood flow during systole. This means that the heart muscle requires a significant amount of oxygen compared to its size and experiences decreased blood flow during the contraction phase of the heartbeat.

Submit

137. Ved en akutt stigning av blodtrykket vil en via en såkalt barorefleks-mekanisme få:

Explanation

During an acute increase in blood pressure, the baroreflex mechanism is activated to regulate blood pressure. This mechanism involves the activation of the parasympathetic nervous system and inhibition of the sympathetic nervous system. The parasympathetic nervous system increases its output, leading to a decrease in heart rate and vasodilation, which reduces total peripheral resistance. At the same time, the sympathetic nervous system is inhibited, resulting in a decrease in sympathetic activity and further reduction in peripheral resistance. Therefore, the correct answer is increased output from the parasympathetic nervous system and inhibition of the sympathetic nervous system, which reduces total peripheral resistance.

Submit

138. Hvilke følger (direkte og indirekte) får økt sympatisk stimulering ved stress/fysisk aktivitet for gjennomblødning i koronararterien?

Explanation

During stress or physical activity, there is an increased sympathetic stimulation that leads to vasoconstriction via alpha receptors and reduced blood flow in the coronary artery. However, there is also an indirect metabolic vasodilation mechanism that overrides the alpha receptor-mediated vasoconstriction, resulting in increased blood flow. This is the correct answer because it explains how stress or physical activity can lead to increased blood flow in the coronary artery despite the vasoconstrictive effects of sympathetic stimulation.

Submit

139. Om Kreatinin i plasma (Pkreatinin)

Explanation

Sekresjonen er veldig lav - nesten ingenting, kun filtrasjon som eliminerer kreatinin.

Submit

140. Denne typen pneumonier ses oftere hos predisponerte individer. Hva kan predisponere for en slik utvikling?

Explanation

All of the above factors can predispose an individual to the development of this type of pneumonia. A previous viral infection can weaken the immune system and make a person more susceptible to pneumonia. Smoking and poor nutrition can also weaken the immune system and impair lung function, increasing the risk of pneumonia. Alcohol abuse can suppress the immune system and impair the body's ability to fight off infections. Being an unmarried man may also be a risk factor, as certain lifestyle choices or living conditions associated with being single may increase the likelihood of exposure to respiratory infections.

Submit

141. Ved den passive hvilestillingen til lunge og thorax tilsammen inntar lungene et gitt volum. Hva kalles dette volumet?

Explanation

FRC: volumet av luft som er igjen i lungen etter normal ekspirasjon.

Submit

142. Anion Gap

Explanation

The anion gap refers to the difference between plasma anions and intracellular cations, and it increases in cases of intracellular dehydration. It also increases in cases of poisoning with methanol and ethylene glycol, as well as in general acidosis and poisonings. However, it is not commonly measured in acute medicine due to the difficulty in measuring it accurately.

Submit

143. Hyperventilasjon fører til

Explanation

Hyperventilation leads to a decrease in carbon dioxide levels in the blood. This decrease in carbon dioxide causes vasoconstriction of the blood vessels in the brain, leading to a decrease in blood flow to the brain.

Submit

144. Sammenlignet med skjelettmuskulatur så er det i hjertemuskulaturen:

Explanation

Hjertemuskulaturen har en høyere tetthet av kapillærer og kortere diffusjonsavstand fra kapillær til myocytt. Dette betyr at det er flere blodkar som forsyner hjertemuskulaturen med oksygen og næringsstoffer, og at avstanden mellom blodkarene og muskelcellene er kortere. Dette er viktig for å sikre en effektiv transport av oksygen og næringsstoffer til muskelcellene, som er avgjørende for hjertets funksjon som en pumpe.

Submit

145. Tunica adventitia I store vener, som for eksempel vena cava, har langsgående glatte muskellag.

Explanation

The statement is true because the tunica adventitia, also known as the outer layer of blood vessels, contains a longitudinal smooth muscle layer. This layer helps to regulate the diameter and tone of the blood vessels, allowing for proper blood flow. Some examples of blood vessels that have a tunica adventitia with a longitudinal smooth muscle layer include the vena cava, which is a large vein that carries deoxygenated blood from the body back to the heart.

Submit

146. Du blir som allmennpraktiker oppsøkt av en 30 år gammel kvinne med tildels illeluktende fluor vaginalis og som er anmeldt som smittekilde for gonore. Hvilke mikrobiologiske prøver skal tas?

Explanation

The correct answer states that a sample of cervix secretions should be taken on a sterile glass for PCR testing for gonococci. This is because the patient is suspected of being a source of infection for gonorrhea, and PCR testing is a highly sensitive and specific method for detecting the presence of the bacteria Neisseria gonorrhoeae, which causes gonorrhea. This test can help confirm the diagnosis and guide appropriate treatment for the patient. Gram staining and culture on sterile glass are not as sensitive as PCR for detecting gonococci. PCR testing for Chlamydia is not necessary in this case, as the patient is specifically suspected of having gonorrhea.

Submit

147. Det er en lobær(en av lappene) pneumoni. Hvilke kliniske funn kan passe med denne diagnosen?

Explanation

Hypersonor lyd høres ofte ved luft - pneumothorax.
Lobær pneumoni: betennelsen sitter i en av lappene. Disse grenser til brystkassen og vil gi utslag på kliniske funn

Submit

148. Konsentrasjon av plasmaproteiner i interstitiell væske

Explanation

Hvis du får en ukontrollert væskeabsorbsjon vil konsentrasjonen av plasmaproteiner hindre vedvarende absorpsjon.

Submit

149. Om autoregulering av glomerulær filtrasjonsrate (GFR) og renal blodstrøm (RBF)

Explanation

Høyt blodtrykk i afferent arteriole = konstriksjon
Lavt blodtrykk i afferent arteriole = dilatasjon

Submit

150. Mengden av bindingsproteinet SHBG i sirkulasjonen kan påvirkes av steroidhormoner

Explanation

The correct answer is "Østradiol øker mengde SHBG i sirkulasjonen." This is because the statement in the question suggests that the amount of the binding protein SHBG in circulation can be influenced by steroid hormones. Specifically, it states that østradiol reduces the amount of SHBG in circulation. Therefore, it can be inferred that østradiol increases the amount of SHBG in circulation.

Submit

151. PCOS22 år gml kvinne kontaktet fastlegen pga. amenoré. Hun er yngst av tre søstre. Søstrene er begge friske og normalvektige. Foreldre er normalvektige, men begge har hypertensjon, hyperkolesterolemi og nedsatt glukosetoleranse. Pasientens mor hadde svangerskapsdiabetes i alle tre svangerskapene. Fra 12 til 20 års alder hadde pasienten markant vektøkning.Hun hadde menarké 14 år gml. Hun er overvektig med BMI 32 kg/m2. Uregelmessig menstruasjon siste 4 år, og har ikke hatt menstruasjon siste 4 mndr. Hun har barneønske.Ved klinisk undersøkelse er hun overvektig med spesielt abdominal fedme og hun har økt behåring på overleppe samt over symfysen opp mot navlen. Pasienten har menstruasjonsforstyrrelse mest forenelig med:

Explanation

- Amenore = manglende mensturasjonsblødninger.
- Oligomenore = blødningstype med intervall > 35 dager - Hyperovulasjon = mer enn en egg som utløses med ovulasjon i hver syklus
- Metrorargi = menstruasjonsblødninger som kommer helt uregelmessig, uten noe mønster

Submit

152. 45 år gammel kvinne med økende slapphet, vekttap, kvalme og synkopetendens (besvimelser) når hun reiser seg opp fra sittende stilling. Hun har også øket hudpigmentering.Blodprøver viser i serum:
  • Lav Natrium (120 mM/L, normalt 137-145 mM)
  • Høy Kalium (5.8, normalt 3.5-5.5)
  • Lav Osmolalitet (254, normalt 275-310)
  • Lavt fastende blodsukker  (3.2, normalt  4,0 - 6,0 mmol/L)

Explanation

Aldosteron kommer fra bynyrebarken. Aldosteron øker Na-reabsorbsjon og øker kalium-utskillelse. Uten aldosteron blir K høyere og Na lavere. Vil gi blodtrykksfall som etterhvert vil stimulere ADH -> hyponatremi.

2 mekanismer regulerer aldosteron:
• Kaliumnivå
• Renin-angiotensinaldosteron systemet

Submit

153. Gjennomblødning i hjertemuskulaturen er:

Explanation

Blodgjennomstrømning i hjertemuskulaturen er IKKE ØKT I SYSTOLE MEN REDUSERT I SYSTOLE fordi blodkarene kollapser pga det høye trykket i hjertemuskelen - da er arterietrykket på sitt laveste trykk (80mmHg - diastoletrykk)

Submit

154. Hjertesvikt utløser saltretensjon i nyrene via følgende mekanismer:

Explanation

Both increased sympathetic activity and reduced renal perfusion pressure and GFR can contribute to salt retention in the kidneys in heart failure. Increased sympathetic activity leads to vasoconstriction in the kidneys, reducing renal blood flow and perfusion pressure. This, in turn, can decrease glomerular filtration rate (GFR), impairing the kidneys' ability to filter and excrete excess salt. Therefore, both mechanisms (a and b) can contribute to salt retention in heart failure.

Submit

155. Para-amino-hippursyre (PAH):

Explanation

- Den filtrerte mengden (20%) skilles ut i urinen, resten blir sekrert (80%) - derfor blir clearance til PAH lik plasmaflow fordi all passaje av PAH blir fjernet, ingenting blir reabsorbert.
- PAH har ingen funksjon i kroppen og man bruker det kun til å regne RPF. Når man ikke skiller ut all PAH vil Clearance falle.
- OBS: PAH fins ikke i kroppen, det må tilsettes.

Submit

156. En 67 år gammel enslig mann som røyker og som drikker en del alkohol fikk influenza for 2 uker siden. Han har vært i jevn bedring siste uken, men er fortsatt slapp og hoster. I går kveld fikk han raskt innsettende frostanfall med muskelskjelvinger. Han er tungpustet i hvile. Temperatur er 39,9 grader C. Hva kan dette være?

Explanation

Based on the given information, the 67-year-old man who smokes, drinks alcohol, and had influenza two weeks ago is still experiencing symptoms such as weakness, coughing, and a sudden onset of chills with muscle tremors. Additionally, he is experiencing shortness of breath at rest and has a high temperature of 39.9 degrees Celsius. These symptoms indicate a possible case of pneumonia, which is an infection in the lungs that can occur as a complication of influenza or due to other factors.

Submit

157. Ved energimangel replikerer virus ved knoppskyting av membranen?

Explanation

Viruses do not replicate through budding of the membrane. Instead, they replicate by invading host cells and using the host's cellular machinery to produce more virus particles.

Submit

158. Type 2 diabetes (insulinresistens) er relatert til økt risiko for hjerte-kar sykdommer fordi

Explanation

Type 2 diabetes (insulin resistance) is related to an increased risk of cardiovascular diseases because there is an increased synthesis and secretion of VLDL (Very Low-Density Lipoprotein) from the liver. VLDL is a type of lipoprotein that carries triglycerides and cholesterol from the liver to other parts of the body. When there is excess VLDL production, it can lead to an accumulation of triglycerides and cholesterol in the blood vessels, increasing the risk of cardiovascular diseases such as heart attacks and strokes.

Submit

159. Oocyter oppholder seg flere år i en spesifikk del av første meiose hvilken?

Explanation

profasen av mitosen - underdelen av profasen heter diploten fasen

Submit

160. Hvilken bakterie er hyppigste årsak?

Explanation

Streptococcus pneumoniae is the most common cause of the given condition. This bacterium is known to be a major cause of pneumonia, especially in children and the elderly. It is a leading cause of bacterial meningitis and can also cause other infections such as sinusitis and otitis media. Streptococcus pneumoniae is a gram-positive bacterium that is commonly found in the upper respiratory tract of healthy individuals but can cause disease when it invades other parts of the body.

Submit

161. Virus kan enten ha RNA eller DNA, aldri begge samtidig. 

Explanation

Selv om det er en liten bit RNA i HBV-genomet regnes påstanden som sann.

Submit

162. Lokal blodgjennomstrømning i hjertet er i hovedsak bestemt av:

Explanation

Lokal blodgjennomstrømning i hjertet er i hovedsak bestemt av frigjøring av lokale vasodilatatorer i respons på økt metabolisme. Dette betyr at når hjertemuskelen har økt behov for oksygen og næringsstoffer på grunn av økt metabolisme, vil det bli frigjort vasodilatatorer som utvider blodkarene og øker blodstrømmen til hjertet. Dette er en viktig mekanisme for å sikre at hjertet får tilstrekkelig blodforsyning under økt aktivitet eller stress. Stimulering via sympatisk nervesystem, myogen autoregulering og stimulering av det parasympatiske nervesystemet kan også spille en rolle, men frigjøring av lokale vasodilatatorer er den viktigste faktoren.

Submit

163. Hvilken av disse bakteriene produserer en IgA protease?

Explanation

Neisseria meningitidis is the correct answer because it is known to produce IgA protease. IgA protease is an enzyme that cleaves IgA antibodies, allowing the bacteria to evade the immune system and establish an infection. This enzyme is particularly important for Neisseria meningitidis as it colonizes the mucosal surfaces of the respiratory tract and can cause meningitis and septicemia. The other bacteria listed do not produce IgA protease.

Submit

164. Hvilken av disse bakteriene overfører mest typisk gener seg i mellom ved hjelp av transformasjon?

Explanation

Konjugasjon: E. Coli
Transformasjon: streptococcus pneumoniae(gram positiv), hemophilus influenza(gram negativ).

Submit

165. Kvinnelig student. 26 år, frisk, normalt utseende. Primær amenore. Normal seksualfunksjon. Kommer for utredning av intertilitet. Klinisk undersøkelse: normal pigmenteringsmønster, noe uønsket hårvekst på innsiden av lår, nedre adb, overleppe. Svært liten mammakjertelutvikling.

Explanation

The patient is a female student with normal appearance and sexual function but presents with primary amenorrhea and underdeveloped mammary glands. The karyotype result of 46, XX indicates that she has a normal number of chromosomes and is genetically female. This suggests that her infertility may be due to other factors such as hormonal imbalances or structural abnormalities rather than a chromosomal abnormality.

Submit

166. Virus har egne gener som koder for flageller. 

Explanation

Viruses do not have their own genes that code for flagella. Flagella are organelles found in some cells, such as bacteria and eukaryotic cells, that are involved in movement. Viruses, on the other hand, are non-living entities that do not have their own cellular machinery and therefore do not possess flagella.

Submit

167. Ensidig proteinkost (rabbit starvation) kan være fatalt (dødelig) – hvorfor

Explanation

Ensidig proteinkost, also known as rabbit starvation, refers to a diet that is predominantly composed of protein with very little or no fat or carbohydrates. This type of diet can be fatal because it does not provide essential fatty acids, which are necessary for various bodily functions. Additionally, without enough glucose from carbohydrates, the body cannot produce sufficient energy. Furthermore, the accumulation of free amino acids, ammonium, and urea in the plasma can occur, exceeding the capacity of the urea cycle, leading to toxic effects and potentially fatal consequences.

Submit

168. Laktoseintoleranse kjennetegnes ved:

Explanation

B og D er det mest korrekte. B- laktase bryter ned melkeproteiner, D-økt melkesukker binder mye vann diare.

Submit

169. Blokkade av renin-angiotensin- aldosteron-systemet (RAAS) er basis for behandling av hjertesvikt. Av og til kan denne behandlingen utløse akutt nyresvikt, dvs. sterkt redusert glomerulær filtrasjonsrate (GFR). Årsaken til dette er:

Explanation

In heart failure, renal blood flow is often reduced. However, the filtration pressure and glomerular filtration rate (GFR) are maintained by the high activity of the renin-angiotensin-aldosterone system (RAAS) and the postglomerular vasoconstriction mediated by angiotensin 2. Blocking the RAAS can lead to a decrease in filtration pressure and GFR, as the compensatory mechanisms that maintain renal blood flow and GFR are disrupted. Therefore, the answer explains that the blockade of RAAS can cause a decrease in filtration pressure and GFR in heart failure.

Submit

170. Arterielle kjemoreseptorer er:

Explanation

Arterielle kjemoreseptorer er lokalisert i aortalegemene og carotislegemene, og de blir stimulert av hypoksemi og hyperkapni (høy CO2). This means that these receptors are located in the aortic bodies and carotid bodies, and they are sensitive to low oxygen levels (hypoxemia) and high carbon dioxide levels (hypercapnia). When these receptors are stimulated by these conditions, they send signals to the brain to increase respiratory rate and depth in order to correct the imbalance.

Submit

171. Hvilke faktorer bidrar til at man oppnår en vektreduksjon ved å spise mye fett og proteiner samtidig som man holder karbohydratinntaket lavt:

Explanation

not-available-via-ai

Submit

172. Utslett med parvovirus B19-infeksjon skyldes viruspartikler i huden. 

Explanation

The statement is false because a rash with parvovirus B19 infection is not caused by virus particles in the skin. Instead, the rash is a result of the body's immune response to the infection. Parvovirus B19 is a viral infection that primarily affects children and causes symptoms such as fever, headache, and rash. The virus infects the red blood cells and can lead to a decrease in red blood cell production, which can cause the characteristic rash.

Submit

173. Er HPV-vaksine produsert i gjær og insektsceller? 

Explanation

The correct answer is true because the HPV vaccine is produced using a technology called recombinant DNA, where the genetic material from the virus is inserted into yeast or insect cells. These cells then produce the viral proteins that are used to make the vaccine. This method is used to ensure that the vaccine is safe and effective, as it does not contain any live or weakened forms of the virus.

Submit

174. Hvilke vasodilatatorer er ansvarlige for regional neuronal metabolsk hyperemi?

Explanation

Lokale metabolitter som K+ og adenosin er ansvarlige for regional neuronal metabolsk hyperemi. Når det er økt aktivitet i nevronene, produseres det metabolitter som K+ og adenosin. Disse metabolittene virker som vasodilatatorer, noe som betyr at de utvider blodårene i det aktive området. Dette fører til økt blodstrøm og oksygentilførsel til nevronene, som er nødvendig for deres metabolske behov. Derfor er lokale metabolitter som K+ og adenosin viktige for å opprettholde en tilstrekkelig blodforsyning til de aktive nevronene.

Submit

175. ADH øker vannpermabiliteten/reabsorpsjonen ved å binde seg til reseptorer på cellene som er markert på figur A, B, C, eller D?

Explanation

ADH-reseptorer (akvaporin-2 reseptorer) fins både i distale tubuli og samlerør. I proksimale tubuli er det akvaporin 1 som ikke blir regulert av ADH.

Submit

176. Leydig celler og theca interna celler er like ved at:

Explanation

Leydig celler og theca interna celler er like ved at de har tubulære mitochondrier. This means that both Leydig cells and theca interna cells have tubular mitochondria.

Submit

177. Pasient med leverkreft, utspilt buk, generell ødemtendens, men spesielt mye hevelse i venstre underekstremitet

Explanation

Portakretsløpet drenerer tarm og bukhule. Gir bukvæske.
Ødemer: lever lager albumin. Dersom lever ikke syntetiserer dette vil vi ikke få transportproteiner, og økt filtrasjon av væske ut

Submit

178. En 77 år gammel mann er opperert for cancer coli. Tre dager etter operasjonen får han frysninger, feber og smerter lokalisert il venstre side av abdomen. Det er positive infeksjonsparametre. Det viser seg at pasienten har en abscess som utgår fra operasjonsstedet. Abscessen dreneres og det sendes også inn pussprøve fra abscessen. Pasienten settes på antibakteriell behandling. Etter to ukers behandling får pasienten på ny magesmerter, men også diare. Hva kan årsaken til diareen være

Explanation

The cause of the diarrhea could be Clostridium difficile. Clostridium difficile is a bacterium that can cause inflammation of the colon, leading to diarrhea. It is commonly associated with antibiotic use, as antibiotics can disrupt the normal balance of bacteria in the gut, allowing Clostridium difficile to overgrow and cause infection. This infection is known as Clostridium difficile-associated diarrhea (CDAD) or Clostridium difficile infection (CDI). Given that the patient has been on antibiotic treatment for two weeks, it is possible that the antibiotics have contributed to the development of CDAD.

Submit

179. I ovariet skjer følgende for å fremme ovulasjonen:

Explanation

The correct answer states that plasminogen is converted into plasmin in order to promote ovulation. Plasminogen is a precursor protein that is converted into plasmin, which is a proteolytic enzyme. Plasmin plays a crucial role in breaking down the follicular wall, allowing the release of the mature egg during ovulation. Therefore, the conversion of plasminogen to plasmin is necessary for the process of ovulation to occur.

Submit

180. Stimulering av sentrale volum-reseptorer (atriale strekk-reseptorer og venstre ventrikkel mekanoreseptorer) pga. økt fylling påvirker væskevolumet gjennom:

Explanation

Stimulation of central volume receptors, such as atrial stretch receptors and left ventricular mechanoreceptors, due to increased filling affects fluid volume through renal vasodilation (selective inhibition of the sympathetic nervous system) and reduced levels of vasopressin and angiotensin. This leads to increased urine production (diuresis) and decreased constriction of blood vessels in the kidneys, allowing for increased blood flow and filtration.

Submit

181. Under høy fysisk aktivitet er ratio mellom insulin og glukagon lavt og dette leder til stabil glukosehomeostase i plasma fordi:

Explanation

Økt aktivitet, hemmer insulinsekresjon. Dette endrer ratio mellom insulin og glukagon.

Submit

182. Hva er det hastighetsbegrensende steget i omdannelsen av kolestrol til pregnenolon?

Explanation

LH (luteinizing hormone) is the limiting step in the conversion of cholesterol to pregnenolone. LH stimulates the production of pregnenolone in the ovaries and testes, which is the precursor for the synthesis of various hormones, including estrogen and progesterone. Without LH, the conversion of cholesterol to pregnenolone cannot occur efficiently, leading to a decrease in the production of these hormones. Therefore, LH is the critical factor in regulating this conversion process.

Submit

183. Hvilket utsagn er mest rett om starlinglikningen

Explanation

Kf er bestemt av areal og vannpermeabilitet. Proteinpermeabiliteten reguleres av sigma. Økt lymfeflow.

Submit

184. Replikasjon av virus foregår:

Explanation

The correct answer is that virus replication occurs inside the host cell, in the cell nucleus for most DNA viruses and influenza viruses, and in the cytoplasm for most RNA viruses and Poxviridae.

Submit

185. Chlamydia trachomatis har stor bevegelighet pga. amplifikasjon av genet for flageller.

Explanation

The given statement is false. Chlamydia trachomatis does not have flagella, and therefore, it does not possess great mobility. Chlamydia is an intracellular bacterium that relies on host cells for movement and replication. Its ability to infect and move between host cells is facilitated by the use of actin-based motility, not flagella.

Submit

186. Identifiser celletype

Explanation

Juxtaglomerulære celler are a type of specialized cells located in the kidney near the glomerulus. They play a crucial role in regulating blood pressure and kidney function. These cells are responsible for producing and releasing the hormone renin, which helps control blood pressure by initiating a series of reactions in the body. The juxtaglomerulære celler also interact with the macula densa and the extraglomerular mesangial cells to maintain the balance of fluid and electrolytes in the kidney.

Submit

187.
  1. Hvilket prøvemateriale er best egnet for diagnostikk av bakteriell pneumoni?

Explanation

Ekspektoratprøver blir lett forurenset av normalfloraen i munnhulen som kan kamuflere oppvekst av patogene bakterier når prøven sås ut i labratoriet. Kvaliteten på ekspektoratprøven kan sjekkes ved å se om prøven inneholder mange epitelceller fra munnen. Hvis det er lite slike celler ansees prøven for å være representativ og den blir satt opp til dyrking. EN positiv blodkultur vil som regel gi oppvekst av den bakterien som er årsaken til lungebetennelsen og da som renkultur. Samtidig vil en positiv blodkultur bety at sykdommen er alvorlig.

Submit

188. Inspiratoriske respirasjonsmuskler står for det inspiratoriske pustearbeidet. Hvordan avstedkommer ekspirasjonsprosessen i hvile?

Explanation

In the resting state, expiration is a passive process. This means that it does not require the active contraction of muscles. Instead, it is facilitated by the release of stored energy in the elastic tissues of the lungs and chest wall. As the diaphragm and other inspiratory muscles relax, the elastic recoil of these tissues causes them to return to their original position, pushing air out of the lungs. Therefore, the correct answer is that expiration in rest is passive and facilitated by the release of stored energy in elastic tissues.

Submit

189. KBR blir brukt til påvisning av virusspesifikt serumantistoff.

Explanation

The statement is true because KBR (Koenig-Bruchholz-Reaktion) is indeed used for the detection of virus-specific serum antibodies. KBR is a serological test that helps identify the presence of specific antibodies in the blood serum, which can indicate a previous or current viral infection. This test is commonly used in medical and research settings to diagnose viral diseases and monitor immune responses.

Submit

190. Veno-atriale strekkreseptorer: 

Explanation

The correct answer states that veno-atrial stretch receptors monitor atrial filling and lead to an increase in heart rate (tachycardia) and diuresis (increased urine production) when they are stimulated. This means that when the receptors detect an increase in atrial filling, they signal the body to increase heart rate and urine production. This response helps to regulate blood volume and maintain fluid balance in the body.

Submit

191. Histologisk snitt av pulmonalarterie. Hvilke av følgende utsagn er mest korrekt?

Explanation

Lumen er liten, typisk for ateriosklerose. Tunica adventitia ser mer eller mindre normal ut. Muskelcellene i tunica media ser også normale ut i antall. Det er først og fremst tunica media som har økt i størrelse pga økt produksjon av matrixproteiner og fibre. Skjer når lungene har økt trykk, og responderer med å produsere mer matrix. Kalles pulmonell arteriell hypertensjon – PAH.

Submit

192.
  1. Hvilket av de følgende karakteristika er mer typisk for en astma pasient enn for en KOLS pasient?

Explanation

NB! Lav FEV1 er også karakteristisk for KOLS.

Submit

193. Chlamydia trachomatis produserer jod som kan detekteres i lysmikroskopi.

Explanation

Chlamydia trachomatis does not produce iodine that can be detected in light microscopy.

Submit

194. Noen av hepatittvirusene lyserer hepatocytter.

Explanation

Nei, desse er normalt ikkje lytiske virus i cellekultur. Poenget med spørsmålet er å understreke at ved viral hepatitt er det immunangrepet på infiserte leverceller som forårsakar det meste av celleskaden.

Submit

195. Han behandles med antibiotika og blir gradvis bedre. Hvilket antibiotikum/kjemoterapeutikum ville du valgt?

Explanation

Penicillin-V: munn, kan passere gjennom tarmen og tas opp.
Penicillin-G: intravenøst
Tetracyclin: brukes til å behandle klamydia

Submit

196. Følgende antivirale medikamenter er aktive mot følgende virus:

Explanation

OBS! Dette er eksempel på spørsmål som IKKJE er pensum
i MED4 vår 2017 for i eksemplifisere kvar grensa for detaljkrav går

Submit

197. Chlamydia trachomatis har hemmet fusjon mellom mitokondrier og lysosom som en viktig del av sin livssyklus. 

Explanation

The statement is false. Chlamydia trachomatis does not inhibit fusion between mitochondria and lysosomes as an important part of its life cycle. Chlamydia trachomatis is an intracellular bacterium that survives and replicates within host cells by forming a membrane-bound compartment called an inclusion. It avoids fusion between the inclusion and lysosomes, which helps it to evade the host immune response and maintain a favorable intracellular environment. However, it does not specifically target fusion between mitochondria and lysosomes.

Submit

198. Binyrebarksvikt forårsakes vanligvis av 

Explanation

Binyrebarksvikt, also known as adrenal insufficiency, is usually caused by primary atrophy or damage to the adrenal cortex due to autoimmunity. This means that the immune system mistakenly attacks and damages the adrenal cortex, leading to a decrease in its function. Another possible cause of adrenal insufficiency is insufficient production of adrenocorticotropic hormone (ACTH) due to decreased pituitary gland function. In this case, the pituitary gland fails to produce enough ACTH, which is responsible for stimulating the adrenal cortex to produce cortisol. Both of these explanations align with the given answer options.

Submit

199. Hva er rett prøvetaking ved infeksjon med Clostridium difficile?

Explanation

Dette spørsmålet skulle vist ikke komme på eksamen grunnet oppdaterte rutiner rundt prøvetakning som foreleser ikke hadde fått med seg. I følge nye rutiner skal man bruke : "Avføring på Cary Blairs medium".

Submit

200. En 68 år gammel mann har i lengre tid hatt smerter i høyre overkjeve lokalisert til molarene. I de siste ukene har han hatt tiltagende hodepine og purulent snue. Han har dårlig tannstatus og en rekke kariøse tenner og gingivitt. Hvilke bakterier er mest sannsynlig? 

Explanation

The patient's symptoms of pain in the upper jaw, worsening headache, and purulent nasal discharge, along with his poor dental health and multiple carious teeth and gingivitis, suggest a polymicrobial infection. This means that multiple types of bacteria are likely involved in causing the infection. Porphyromonas gingivalis and Fusobacterium nucleatum are both associated with periodontal disease and could be present in the patient's oral cavity, but the presence of other bacteria cannot be ruled out. Gule stafylokokker (yellow staphylococci) and Viridans streptococci are not specifically mentioned in the patient's symptoms and dental condition, making a polymicrobial infection the most likely explanation.

Submit
×
Saved
Thank you for your feedback!
View My Results
Cancel
  • All
    All (200)
  • Unanswered
    Unanswered ()
  • Answered
    Answered ()
Hvilket stoff danner utgangspunkt for alle steroidhormonene? 
Hvilken type lungebetennelse kan behandles med antibiotika?
Hvilke av disse bakteriene er mest vanlig ved urinveisinfeksjoner i...
Regionen i nyrene som inneholder Henle's sløyfe er?
Hvilket av følgende laboratoriefunn er typiske hos en pasient...
Hvilken av disse agarskålene er en selektiv skål?
Hvilken av disse kombinasjonene er korrekt?​
Det følgende er korrekt for serokonversjonstid:
Det følgende karakteriserer Epstein Barr-virus:
Navngi blodkar
Blod-thymus-barrieren har tette celle-celle kontakter mellom...
Hvilken av disse bakteriene er et viktig urinveispatogen hos kvinner i...
En 77 år gammel mann er opperert for cancer coli. Tre dager etter...
To uker senere søker kvinnen lege igjen pga smerter i...
Regionen i nyrene som inneholder glomeruli er?
Nyren regulerer saltmengden i kroppen, og dermed ECV og...
Hvilket lungefunksjonsmål har best reproduserbarhet?
Hvilket perkusjons og auskultasjonsfunn forventer du å finne hos...
Reynoldstall, eller Reynolds konstant er den vanligst...
Varicella zoster virus lyserer infiserte celler og dette er årsak...
Identifiser blodkar og strukturene (S) som er markert med pil i...
Navngi type blodkar du ser på snittet (utsnitt av veggen)
Velg korrekt svar for følgende utsagn/fraser om...
Store elastiske arterier har ikke glatte muskelceller i tunica media.
Hva er grensen for signifikant bakteriuri ved spontant latte...
Hvilken bakterie er årsaken til syfilis?​
Hvor på kroppen finner man Staphylococcus aureus som del av...
Hvordan behandles antibiotika assosiert diare?
Progesteron skilles ut av corpus luteum. Når i...
Hvilke(t) av følgende utsagn beskriver normal utvikling og...
En corpus albicans er
Hvilken av disse bakteriene er mest typisk for bakteriell...
Den virale livssyklus kan være karakterisert ved:
Symptomet vist på dette bildet gir mistanke om infeksjon med ett...
Et av kjennetegnene ved hjernesirkulasjon er at
Fettvevet er et viktig endokrint organ og lager for energi. Man har...
Fredrik har som nevnt nettopp fått diagnosen cøliaki og...
Dere har fått utdelt 4 histologiske snitt fra myokard fra 4 ulike...
Navngi Blodkar
Foto fra dype cortex (paracortex) til en lymfeknute. Navnsett blodkar...
Steroidhormoner binder seg til forskjellige steroidhormonreseptorer...
Hvordan kan man på en enkel måte karakterisere lungefunksjon...
Sympatisk stimulering fører til at hjertet og koronararteriene...
Fredrik har nettopp fått diagnosen cøliaki, som er en...
Bilde av koronar arterie til pasient med brystsmerter.Hvilken...
Hvilken beskrivelse passer best for Staphylococcus aureus?
En 68 år gammel mann har i lengre tid hatt smerter i høyre...
Identifiser tubuli som er markert med 2 på bilde
Regionen i nyrene som inneholder distale slyngede (convoluted) tubuli...
Humane papillomavirus
Kroppen er normalt i stand til å lagre energi under...
Identifiser type hjertemuskelceller markert med A og B i figuren:
Desinfeksjon innebærer
Hva måler man med lappediffusjonsmetoden?
Hva måler man med MIC-test strips (E-test)
Om furosemide
Kjernereseptorer er:
Østradiol produseres i ovariene, men i hvilken celletype skjer...
Lymfestrømmen (lymfeflow)
Tette kapillærer som utgjør den såkalte...
Arterielle baroreseptorer finnes hvor of responderer på?
Hva er den beste beskriveslen for kapselen til Streptococcus...
Corpus luteum skiller ut:
Velg det korrekte svaralternativet om virus:
Filtrasjon av væske over kapillærene er viktige for:
Velg et korrekt svar fra følgende usagn/fraser om...
Hvilken beskrivelse passer best for Neisseria meningitidis?
Hvilken beskrivelse passer best for Streptococcus pyogenes
Blodprøvesvar:FSH   ...
Hvilke symptomer er typiske for lungebetennelse hos ellers friske...
Viruskapsidets struktur kan være helisk, ikosaedrisk eller...
Det følgende er korrekt om HIV:
Chlamydia trachomatis:
Et stort saltinntak 
Den avgjørende celle-cellekontakt for at hjerte skal kunne...
Det har vært et utendørs selskap på en hytte i...
Østrogen skilles ut fra:
Et spirometriresultat som viser FEV1 på 75% av forventet, FVC...
Det inspiratoriske pustearbeidet består i å overvinne...
Følgende virus er DNA virus 
Levende svekket vaksine er i bruk for:
Velg det korrekte svaralternativet om hepatitt B:
Velg det korrekte svaralternativet om virus og svangerskap:
Starlingkreftene langs kapillærene gjør at
Små arterier har høyt innhold av elastiske fibre i tunica...
Hvor på kroppen finner man alfahemolytiske streptokokker som del...
Hvilke typer av tubuli kan man finne i margstrålene?
Urea
Er det slik at en viral ligand binder til spesifikke reseptorer...
Det gir en dårligere prognose hvis man er født med Hep B...
Caroline er 31år gammel og fikk 19år gammel operert bort 1...
Navngi blodkar
Du blir som allmennpraktiker oppsøkt av en 30 år gammel...
Hormonet hCG produseres av placenta og mengden i sirkulasjonen er:
Den intraperitoneale del av ovariet er kledt av:
Årsaken til menstruasjonsforstyrrelsen er mest sannsynlig:
Chlamydia trachomatis skiller ut glykogenlignende stoff som danner...
Addisonkrise forekommer​
EM bilde av kapillær, identifiser type kapillær.
Hvor på kroppen finner man propionebakterier som del av...
Hvilke av følgende hormoner skilles kun ut i lutealfasen av...
Hva karakteriserer sykdommen astma?
Humanpatogene viruspartikler (virion):
Netto transport av væske over kapillærene er
Utskillelse av antidiuretisk hormon (ADH)
Ved sult vil kroppen endre energiomsetningen betydelig over tid....
Identifiser A, B, og C
Hvilket av følgende celler eller fibre er normalt oberverbar i...
Følgende blir brukt i klassifikasjon av virus:
-...
Raskt inntak av rent vann
Blodstrømmen til hjernen og oksygenekstraksjonen er i...
Det økte O2 behovet til hjertet ved hard fysisk aktivitet...
Navngi blodkar
Glomeruluskapillærene er karakterisert av
Tenk deg at en frisk person, med normal væskebalanse, får...
Om epididymis 
Hvilke er de tre hyppigste symptomene ved alvorlig KOLS?​
Hva betyr normalt mest for væsketransport over...
En økning i ekstracellulær natriumkonsentrasjon...
Hvilken av disse bakteriene har pyocyanin?
Nyren er grunnleggende for lang-tids blodtrykkskontroll pga:
I mellomstore vener er tunica media og tunica adventitia like store.
Celletypen med osmoreseptor (markert med pil A) er:
GFR halveres og stabiliserer seg på 50% av utgangspunktet. Etter...
Er det slik at en viral ligand kan fusjonere med en spesifikk reseptor...
Plasma konsentrasjon av natrium reguleres innenfor smale grenser...
Når det gjelder perfusjon og arterietrykket i hjernen er 
En 60 år gammel mann har i noe tid hatt periodevis plager med...
Den mest vanlige nefrotiske syndrom for barn fra 2-6 år er...
En person får redusert blodtilførselen til den ene nyren...
Østrogenproduksjonen i ovariet har som funksjon bl.a. å:
Orf er en zoonose forårsaket av et parapoxvirus
Følgende kan være en del av en viral...
Paramyxovirus (kusmavirus - parotittvirus), HIV, og HSV i enkelte...
Binyrebarksvikt resulterer i
Hvilke utfordringer står hjertemuskelen ovenfor?
Ved en akutt stigning av blodtrykket vil en via en såkalt...
Hvilke følger (direkte og indirekte) får økt...
Om Kreatinin i plasma (Pkreatinin)
Denne typen pneumonier ses oftere hos predisponerte individer. Hva kan...
Ved den passive hvilestillingen til lunge og thorax tilsammen inntar...
Anion Gap
Hyperventilasjon fører til
Sammenlignet med skjelettmuskulatur så er det i...
Tunica adventitia I store vener, som for eksempel vena cava, har...
Du blir som allmennpraktiker oppsøkt av en 30 år gammel...
Det er en lobær(en av lappene) pneumoni. Hvilke kliniske funn...
Konsentrasjon av plasmaproteiner i interstitiell væske
Om autoregulering av glomerulær filtrasjonsrate (GFR) og...
Mengden av bindingsproteinet SHBG i sirkulasjonen kan påvirkes av...
PCOS22 år gml kvinne kontaktet fastlegen pga. amenoré. Hun...
45 år gammel kvinne med økende slapphet, vekttap, kvalme...
Gjennomblødning i hjertemuskulaturen er:
Hjertesvikt utløser saltretensjon i nyrene via følgende...
Para-amino-hippursyre (PAH):
En 67 år gammel enslig mann som røyker og som drikker en...
Ved energimangel replikerer virus ved knoppskyting av membranen?
Type 2 diabetes (insulinresistens) er relatert til økt risiko...
Oocyter oppholder seg flere år i en spesifikk del av...
Hvilken bakterie er hyppigste årsak?
Virus kan enten ha RNA eller DNA, aldri begge samtidig. 
Lokal blodgjennomstrømning i hjertet er i hovedsak bestemt av:
Hvilken av disse bakteriene produserer en IgA protease?
Hvilken av disse bakteriene overfører mest typisk gener seg i...
Kvinnelig student. 26 år, frisk, normalt utseende. Primær...
Virus har egne gener som koder for flageller. 
Ensidig proteinkost (rabbit starvation) kan være fatalt...
Laktoseintoleranse kjennetegnes ved:
Blokkade av renin-angiotensin- aldosteron-systemet (RAAS) er basis...
Arterielle kjemoreseptorer er:
Hvilke faktorer bidrar til at man oppnår en vektreduksjon ved...
Utslett med parvovirus B19-infeksjon skyldes viruspartikler i...
Er HPV-vaksine produsert i gjær og insektsceller? 
Hvilke vasodilatatorer er ansvarlige for regional neuronal metabolsk...
ADH øker vannpermabiliteten/reabsorpsjonen ved å binde seg...
Leydig celler og theca interna celler er like ved at:
Pasient med leverkreft, utspilt buk, generell ødemtendens, men...
En 77 år gammel mann er opperert for cancer coli. Tre dager etter...
I ovariet skjer følgende for å fremme ovulasjonen:
Stimulering av sentrale volum-reseptorer (atriale strekk-reseptorer og...
Under høy fysisk aktivitet er ratio mellom insulin og glukagon...
Hva er det hastighetsbegrensende steget i omdannelsen av kolestrol til...
Hvilket utsagn er mest rett om starlinglikningen
Replikasjon av virus foregår:
Chlamydia trachomatis har stor bevegelighet pga. amplifikasjon av...
Identifiser celletype
Hvilket prøvemateriale er best egnet for diagnostikk av...
Inspiratoriske respirasjonsmuskler står for det inspiratoriske...
KBR blir brukt til påvisning av virusspesifikt serumantistoff.
Veno-atriale strekkreseptorer: 
Histologisk snitt av pulmonalarterie. Hvilke av følgende utsagn...
Hvilket av de følgende karakteristika er mer typisk for en...
Chlamydia trachomatis produserer jod som kan detekteres i...
Noen av hepatittvirusene lyserer hepatocytter.
Han behandles med antibiotika og blir gradvis bedre. Hvilket...
Følgende antivirale medikamenter er aktive mot følgende...
Chlamydia trachomatis har hemmet fusjon mellom mitokondrier og lysosom...
Binyrebarksvikt forårsakes vanligvis av 
Hva er rett prøvetaking ved infeksjon med Clostridium...
En 68 år gammel mann har i lengre tid hatt smerter i høyre...
play-Mute sad happy unanswered_answer up-hover down-hover success oval cancel Check box square blue
Alert!