Genetic Diseases Quiz

Reviewed by Editorial Team
The ProProfs editorial team is comprised of experienced subject matter experts. They've collectively created over 10,000 quizzes and lessons, serving over 100 million users. Our team includes in-house content moderators and subject matter experts, as well as a global network of rigorously trained contributors. All adhere to our comprehensive editorial guidelines, ensuring the delivery of high-quality content.
Learn about Our Editorial Process
| By 074604g
0
074604g
Community Contributor
Quizzes Created: 4 | Total Attempts: 14,952
| Attempts: 5,841 | Questions: 23 | Updated: Mar 22, 2025
Please wait...
Question 1 / 24
🏆 Rank #--
0 %
0/100
Score 0/100

1. A patient presents with high cholesterol levels, specifically very high levels of low-density lipoprotein (LDL, "bad cholesterol"), in the blood and early cardiovascular disease. Genetic analysis shows mutations in the LDLR gene that encodes the LDL receptor protein, This patient potentially has

Explanation

The patient's high cholesterol levels, specifically high levels of LDL (bad cholesterol), and early cardiovascular disease suggest a genetic condition related to lipid metabolism. Mutations in the LDLR gene, which encodes the LDL receptor protein, are associated with Familial Hypercholesterolemia. This condition impairs the body's ability to remove LDL cholesterol from the blood, leading to its accumulation and increased risk of cardiovascular disease.

Submit
Please wait...
About This Quiz
Genetic Diseases Quiz - Quiz

A quiz about the genetic disease required for mondays exam

2.

What first name or nickname would you like us to use?

You may optionally provide this to label your report, leaderboard, or certificate.

2. Which disease in treated in part by a low-phenylalanine diet?

Explanation

Phenylketonuria (PKU) is a genetic disorder that affects the body's ability to break down the amino acid phenylalanine. This leads to a build-up of phenylalanine in the blood, which can cause intellectual disabilities and other health problems. A low-phenylalanine diet is the primary treatment for PKU, as it helps to reduce the levels of phenylalanine in the body and prevent the associated complications.

Submit

3. Patient is a male child whose symptons began before age 5 and were visible in early infancy. Progressive proximal muscle weakness of the legs and pelvis associated with a loss of muscle mass was observed first. Eventually this weakness spreads to the arms, neck, and other areas. Early signs included pseudohypertrophy (enlargement of calf and deltoid muscles), low endurance, and difficulties in standing unaided or inability to ascend staircases. As the condition progressed, muscle tissue experienced wasting and was eventually replaced by fat and fibrotic tissue (fibrosis). By age 10, braces were required to aid in walking until the patient became wheelchair dependent by age 12. Later symptoms included abnormal bone development that lead to skeletal deformities, including curvature of the spine. Due to progressive deterioration of muscle, loss of movement occured, eventually leading to paralysis. This patient is potentially exhibiting symptoms of?

Explanation

The patient in the given scenario exhibits symptoms that are characteristic of Duchenne Muscular Dystrophy. Duchenne Muscular Dystrophy is a genetic disorder that primarily affects males and typically presents before the age of 5. The progressive weakness of the proximal muscles, such as those in the legs and pelvis, along with muscle wasting and pseudohypertrophy (enlargement of certain muscles), are all hallmarks of this condition. As the disease progresses, the weakness spreads to other areas of the body, leading to difficulties in standing, walking, and eventually paralysis. The development of skeletal deformities, such as curvature of the spine, is also commonly seen in Duchenne Muscular Dystrophy.

Submit

4. An Irish patient presents with salty tasting skin,[6] poor growth and poor weight gain despite a normal food intake,[7] accumulation of thick, sticky mucus,[8] frequent chest infections and coughing or shortness of breath. Genetic testing shows a mutation on both alleles of chromosome 7. This patient potentially has

Explanation

The given symptoms, such as salty tasting skin, poor growth and weight gain, accumulation of thick mucus, frequent chest infections, and a mutation on both alleles of chromosome 7, are all characteristic of Cystic Fibrosis. Cystic Fibrosis is a genetic disorder that affects the lungs, digestive system, and other organs, causing the production of thick, sticky mucus that can clog the airways and lead to respiratory infections. The mutation on both alleles of chromosome 7 is a key indicator of this condition. Muscular Dystrophy, Huntingtons Disease, and Familial Hypercholestolemia are not associated with these symptoms or the specific genetic mutation mentioned.

Submit

5. Beckers muscular dystrophy is milder than Duchenne muscular dystrophy

Explanation

Becker's muscular dystrophy is indeed milder than Duchenne muscular dystrophy. Both are genetic disorders that affect the muscles, but Becker's muscular dystrophy progresses more slowly and has a later onset than Duchenne muscular dystrophy. In Becker's muscular dystrophy, individuals may retain some muscle function and mobility into adulthood, whereas in Duchenne muscular dystrophy, muscle weakness and loss of mobility typically occur during childhood and progress rapidly. Therefore, the statement "Beckers muscular dystrophy is milder than Duchenne muscular dystrophy" is true.

Submit

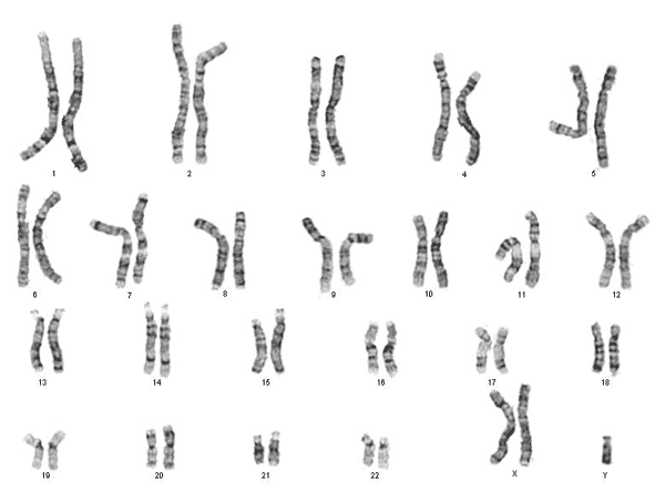
6. This patient most likely has?

Explanation

The most likely explanation for the correct answer, Down Syndrome, is that the patient exhibits characteristics commonly associated with this genetic disorder. Down Syndrome is caused by the presence of an extra copy of chromosome 21, leading to physical and intellectual disabilities. The patient may have distinct facial features, such as almond-shaped eyes and a flat nasal bridge. They may also experience developmental delays, cognitive impairment, and have a higher risk of certain health conditions, such as heart defects and gastrointestinal issues.

Submit

7. Patients with Kleinfelter Syndrome are typically female

Explanation

Patients with Kleinfelter Syndrome are typically male, not female. Kleinfelter Syndrome is a genetic disorder that occurs in males, where they have an extra X chromosome (XXY) instead of the usual XY chromosome pattern. This condition can lead to various physical and developmental differences, such as infertility, taller stature, and reduced muscle mass. Therefore, the correct answer is False, as Kleinfelter Syndrome affects males, not females.

Submit

8. Name the mode of inheritance for Cystic Fibrosis

Explanation

Cystic Fibrosis is inherited in an autosomal recessive manner. This means that both copies of the CFTR gene, which is responsible for producing a protein involved in regulating the movement of salt and water in cells, must be mutated for an individual to develop the condition. If only one copy of the gene is mutated, the person is a carrier but does not have the disease. Autosomal recessive inheritance implies that both parents must be carriers or have the disease for it to be passed on to their children.

Submit

9. Huntingtons Disease results from a mutation in the Huntingtin gene

Explanation

Huntington's Disease is a genetic disorder that is caused by a mutation in the Huntingtin gene. This mutation leads to the production of a toxic protein called mutant huntingtin, which damages nerve cells in the brain. As a result, individuals with this mutation develop symptoms such as involuntary movements, cognitive decline, and psychiatric disturbances. Therefore, the statement that Huntington's Disease results from a mutation in the Huntingtin gene is true.

Submit

10. Name the mode of inheritance for Phenylketonuria

Explanation

Phenylketonuria is inherited in an autosomal recessive manner. This means that an individual must inherit two copies of the defective gene, one from each parent, in order to develop the condition. If only one copy of the gene is inherited, the individual will be a carrier but will not have the disease. Autosomal recessive conditions typically occur equally in males and females and can be passed on by unaffected parents who carry the gene.

Submit

11. A patient (age 41) presents with jerky, random, and uncontrollable movements or chorea,  Psychomotor functions have become increasingly impaired over the past few years, such that any action that requires muscle control is affected. Common consequences are physical instability, abnormal facial expression, and difficulties chewing, swallowing and speaking. The Patient has one parent who died at 44 after exhibiting similar symptoms. This patient may be exhibiting symptons of 

Explanation

The patient's symptoms of jerky, random, and uncontrollable movements or chorea, along with impaired psychomotor functions, suggest a neurological disorder. The progressive nature of the symptoms and the fact that one parent had similar symptoms before dying at a relatively young age are indicative of Huntington's disease, a genetic disorder that affects the brain. Cystic fibrosis, muscular dystrophy, and beta-thalassemia do not typically present with the same symptoms as described.

Submit

12. Which of the following is a disease of Type 1 collagen?

Explanation

Osteogenesis imperfecta is a disease of Type 1 collagen. This condition is characterized by brittle bones that are prone to fractures. Type 1 collagen is the most abundant collagen in the body and is responsible for providing strength and structure to bones, tendons, and other connective tissues. In individuals with osteogenesis imperfecta, there is a defect in the production or structure of Type 1 collagen, leading to weak and fragile bones. Muscular dystrophy, cystic fibrosis, and Prader-Willi syndrome are not diseases associated with Type 1 collagen.

Submit

13. Name the mode of inheritance for Huntington Disease

Explanation

Huntington Disease is caused by a mutation in the HTT gene, which is located on an autosome (non-sex chromosome). Autosomal Dominant inheritance means that an affected individual has a 50% chance of passing on the mutated gene to each of their children. This mode of inheritance is consistent with the pattern seen in Huntington Disease, where affected individuals have one copy of the mutated gene and can pass it on to their offspring.

Submit

14. This patient has?

Explanation

This patient has Kleinfelter Syndrome, which is a genetic disorder that occurs in males. It is caused by the presence of an extra X chromosome, resulting in a karyotype of XXY instead of the usual XY. This syndrome can lead to various physical and developmental abnormalities, including reduced fertility, tall stature, small testes, and breast enlargement. It may also be associated with learning difficulties and behavioral problems.

Submit

15. Which of the following syndromes is the most commonly known single gene cause of autism

Explanation

Fragile X syndrome is the most commonly known single gene cause of autism. This syndrome is caused by a mutation in the FMR1 gene on the X chromosome. It leads to a decrease in the production of a protein called FMRP, which is important for normal brain development and function. This deficiency in FMRP can result in the characteristic features of Fragile X syndrome, including intellectual disability, social and communication difficulties, and repetitive behaviors, which are also seen in individuals with autism.

Submit

16.  Which syndrome is a syndrome caused by the deletion of a small piece ofchromosome 22. The deletion occurs near the middle of the chromosome at a location designated q11.2 i.e., on the long arm of one of the pair of chromosomes 22?

Explanation

DiGeorge Syndrome is a syndrome caused by the deletion of a small piece of chromosome 22. The deletion occurs near the middle of the chromosome at a location designated q11.2 on the long arm of one of the pair of chromosomes 22.

Submit

17. Name the mode of inheritance for Beta-Thalassemia

Explanation

Beta-Thalassemia is a genetic disorder that is inherited in an autosomal recessive manner. This means that an individual must inherit two copies of the mutated gene (one from each parent) in order to develop the disorder. If only one copy of the mutated gene is inherited, the individual will be a carrier of the disorder but will not show any symptoms. Autosomal recessive disorders are not linked to a specific sex chromosome and can affect both males and females equally.

Submit

18. Which is a rare genetic disorder in which seven genes (or some subset thereof) on chromosome 15 (q 11-13) are deleted or unexpressed (chromosome 15q partial deletion) on the paternal chromosome?

Explanation

Prader-Willi Syndrome is a rare genetic disorder caused by the deletion or unexpression of seven genes on the paternal chromosome 15. This disorder is characterized by various physical, cognitive, and behavioral symptoms, including hypotonia, developmental delays, hyperphagia, and obesity. People with Prader-Willi Syndrome also often have intellectual disabilities, behavioral problems, and a characteristic facial appearance.

Submit

19. Name the mode of inheritance for Duchenne Muscular Dystrophy

Explanation

Duchenne Muscular Dystrophy is a genetic disorder that is caused by a mutation in the dystrophin gene located on the X chromosome. This means that the gene responsible for the disorder is located on the X chromosome, and the inheritance pattern follows an X-linked recessive mode. This means that the disorder primarily affects males, as they only have one X chromosome, while females have two X chromosomes and would need to inherit two copies of the mutated gene to be affected. Females who inherit only one copy of the mutated gene are typically carriers of the disorder.

Submit

20. Name the mode of inheritance for Alpha 1-antitrypsin deficiency

Explanation

Alpha 1-antitrypsin deficiency is inherited in an autosomal recessive manner. This means that an individual must inherit two copies of the defective gene, one from each parent, in order to have the condition. If only one copy of the gene is inherited, the individual will be a carrier but will not have the disease. Autosomal recessive disorders often appear in individuals with no family history of the condition, as both parents must be carriers in order for their child to be affected.

Submit

21. Name the mode of inheritance for Becker Muscular Dystrophy

Explanation

Becker Muscular Dystrophy is a genetic disorder that primarily affects males. It is caused by mutations in the DMD gene located on the X chromosome. Since the disorder is more common in males and is passed down through generations by carrier females, it follows an X-linked recessive mode of inheritance. This means that affected males inherit the mutated gene from their carrier mother, while carrier females have a 50% chance of passing the mutated gene to their sons. Females typically show milder symptoms or may be asymptomatic carriers.

Submit

22. Patient presents with symptoms that include shortness of breath, wheezing, rhonchi, and rales. The patient's symptoms resemble recurrent respiratory infections or asthma that does not respond to treatment. Patient has before been labeled as COPD with no underlying cause. Patient developed emphysema during their thirties even without a history of significant smoking. Patient seems not particulary able to protect lungs from neutrophil elastase. This patient most likely has?

Explanation

The patient's symptoms of shortness of breath, wheezing, rhonchi, and rales, along with the lack of response to treatment for asthma and recurrent respiratory infections, suggest a condition that affects the lungs and impairs their function. The patient's development of emphysema at a young age, without a history of significant smoking, indicates a possible underlying genetic cause. Additionally, the patient's inability to protect the lungs from neutrophil elastase suggests a deficiency in the protein alpha-1-antitrypsin, which normally helps to prevent damage to lung tissue. Therefore, the most likely diagnosis for this patient is Alpha-1-Antitrypsin Deficiency.

Submit

23. Name the mode of inheritance for Osteogenesis Imperfecta

Explanation

Osteogenesis Imperfecta is a genetic disorder characterized by brittle bones that are prone to fractures. The correct answer, Autosomal Dominant, suggests that the condition is inherited when a person receives one copy of the mutated gene from one affected parent. This means that if one parent has the condition, there is a 50% chance of passing it on to their offspring. Autosomal Dominant inheritance does not skip generations and affects both males and females equally.

Submit
×
Saved
Thank you for your feedback!
View My Results
Cancel
  • All
    All (23)
  • Unanswered
    Unanswered ()
  • Answered
    Answered ()
A patient presents with high cholesterol levels, specifically...
Which disease in treated in part by a low-phenylalanine diet?
Patient is a male child whose symptons began before age 5 and were...
An Irish patient presents with salty tasting skin,[6] poor...
Beckers muscular dystrophy is milder than Duchenne muscular dystrophy
This patient most likely has?
Patients with Kleinfelter Syndrome are typically female
Name the mode of inheritance for Cystic Fibrosis
Huntingtons Disease results from a mutation in the Huntingtin gene
Name the mode of inheritance for Phenylketonuria
A patient (age 41) presents with jerky, random, and...
Which of the following is a disease of Type 1 collagen?
Name the mode of inheritance for Huntington Disease
This patient has?
Which of the following syndromes is the most commonly known single...
 Which syndrome is a syndrome caused by the deletion of a small...
Name the mode of inheritance for Beta-Thalassemia
Which is a rare genetic disorder in which seven genes (or...
Name the mode of inheritance for Duchenne Muscular Dystrophy
Name the mode of inheritance for Alpha 1-antitrypsin deficiency
Name the mode of inheritance for Becker Muscular Dystrophy
Patient presents with symptoms that include shortness of...
Name the mode of inheritance for Osteogenesis Imperfecta
play-Mute sad happy unanswered_answer up-hover down-hover success oval cancel Check box square blue
Alert!