Fundamentals of Oral Anatomy and Tissue Types Quiz

Reviewed by Editorial Team
The ProProfs editorial team is comprised of experienced subject matter experts. They've collectively created over 10,000 quizzes and lessons, serving over 100 million users. Our team includes in-house content moderators and subject matter experts, as well as a global network of rigorously trained contributors. All adhere to our comprehensive editorial guidelines, ensuring the delivery of high-quality content.
Learn about Our Editorial Process
| By Thames
T
Thames
Community Contributor
Quizzes Created: 8156 | Total Attempts: 9,588,805
| Attempts: 15 | Questions: 10 | Updated: Nov 11, 2025
Please wait...
Question 1 / 11
🏆 Rank #--
Score 0/100

1. What type of tissue consists of 4 layers and is especially found in the skin?

Explanation

Keratinised stratified squamous epithelium is a type of tissue that is tough and waterproof, making it ideal for protecting the underlying layers from abrasions and water loss. It is commonly found in the epidermis of the skin.

Submit
Please wait...
About This Quiz
Fundamentals Of Oral Anatomy and Tissue Types Quiz - Quiz

This quiz focuses on identifying various terms related to oral mucosa, essential for students and professionals in dentistry and oral health. It assesses key knowledge in oral pathology, enhancing diagnostic skills and understanding of oral mucosal conditions.

2.

What first name or nickname would you like us to use?

You may optionally provide this to label your report, leaderboard, or certificate.

2. What type of papilla on the tongue has no taste buds?

Explanation

Filiform papillae are the most numerous type of papillae found on the human tongue and do not contain taste buds. Fungiform, circumvallate, and foliate papillae contain taste buds and are involved in the sense of taste.

Submit

3. What is the anatomical term for the roof of the mouth?

Explanation

The hard palate is the bony front part of the roof of the mouth, the soft palate is the soft, flexible back part, the epiglottis is a flap of tissue that prevents food from entering the windpipe during swallowing, and the uvula is the dangly piece of tissue at the back of the throat.

Submit

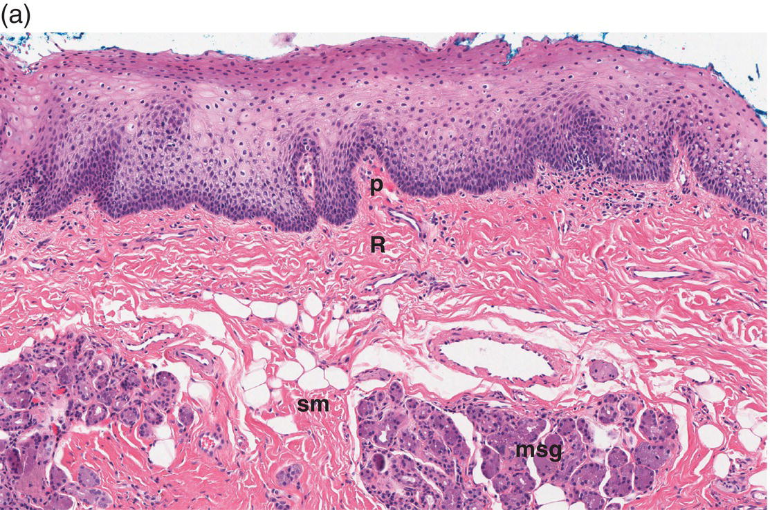
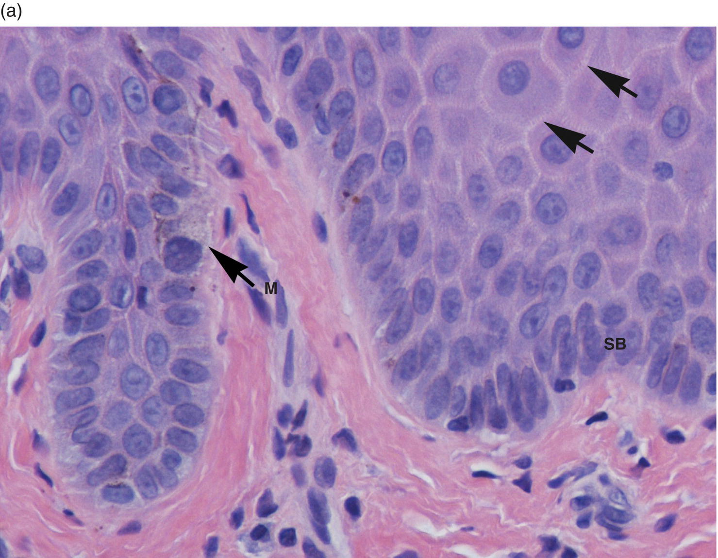
4. What are the structures responsible for intercellular and cell to basement membrane attachment?

Explanation

Desmosomes and hemidesmosomes are specialized structures that help in cell-cell adhesion and attachment to the extracellular matrix. Gap junctions and tight junctions are involved in intercellular communication and barrier formation, respectively. Lysosomes, endosomes, ribosomes, and Golgi apparatus are cellular organelles with different functions unrelated to cell adhesion.

Submit

5. Which anatomical structure is associated with the sulcus terminalis?

Explanation

The sulcus terminalis is a groove on the dorsal surface of the tongue where the circumvallate papillae are located, making it the correct answer. The other options are not anatomical structures associated with the sulcus terminalis.

Submit

6. What may be free or attached?

Explanation

The correct answer refers to the gingival epithelium, which can be either free (unattached) or attached to the tooth structure. Toothpaste, dental floss, and mouthwash are not examples of structures that can be described as free or attached in the context of dental anatomy.

Submit

7. What type of epithelium is characterized by being non-keratinised and stratified with three layers?

Explanation

The question asks for the specific type of epithelium that fits the description of being non-keratinised, stratified, and composed of three layers. The correct answer, non-keratinised stratified squamous epithelium, matches these criteria perfectly, making it the right choice. The other three options do not align with the given characteristics, hence they are incorrect.

Submit

8. What is the term for the organ located on the tongue that allows one to detect different flavors?

Explanation

Taste buds are sensory organs on the tongue that allow individuals to perceive different flavors. They are not related to nose hair, eye sockets, or ear lobes.

Submit

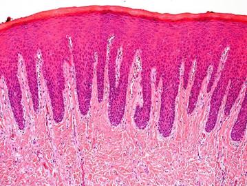
9. What structures are shown by the arrow and what is located in between them?

Explanation

The arrow is indicating the reticular ridges and connective tissue papillae in the skin. Rete ridges are the downward projections of the epidermis into the dermis, while connective tissue papillae are the upward projections of the dermis into the epidermis.

Submit

10. Which type of cell is considered a non-keratinocyte?

Explanation

Keratinocytes are the predominant type of cells in the epidermis, responsible for producing keratin. Melanocytes, on the other hand, are responsible for producing melanin, the pigment that gives skin its color. Fibroblasts are connective tissue cells, macrophages are immune cells, and lymphocytes are a type of white blood cell, none of which are non-keratinocytes.

Submit
×
Saved
Thank you for your feedback!
View My Results
Cancel
  • All
    All (10)
  • Unanswered
    Unanswered ()
  • Answered
    Answered ()
What type of tissue consists of 4 layers and is especially found in...
What type of papilla on the tongue has no taste buds?
What is the anatomical term for the roof of the mouth?
What are the structures responsible for intercellular and cell to...
Which anatomical structure is associated with the sulcus terminalis?
What may be free or attached?
What type of epithelium is characterized by being non-keratinised and...
What is the term for the organ located on the tongue that allows one...
What structures are shown by the arrow and what is located in between...
Which type of cell is considered a non-keratinocyte?
play-Mute sad happy unanswered_answer up-hover down-hover success oval cancel Check box square blue
Alert!