Advanced Medical Quiz: Shock and Parasitology

  • USMLE
  • ACGME
Reviewed by Editorial Team
The ProProfs editorial team is comprised of experienced subject matter experts. They've collectively created over 10,000 quizzes and lessons, serving over 100 million users. Our team includes in-house content moderators and subject matter experts, as well as a global network of rigorously trained contributors. All adhere to our comprehensive editorial guidelines, ensuring the delivery of high-quality content.
Learn about Our Editorial Process
| By Thames
T
Thames
Community Contributor
Quizzes Created: 11092 | Total Attempts: 9,725,533
| Attempts: 11 | Questions: 30 | Updated: Aug 4, 2025
Please wait...
Question 1 / 31
🏆 Rank #--
0 %
0/100
Score 0/100

1. What are some sample collection techniques for parasites?

Explanation

Sample collection techniques for parasites vary depending on the type of parasite being tested for. Stool samples are commonly used for detecting intestinal parasites, while perianal skin samples are useful for pinworms. Other techniques such as blood draw, urine, and saliva are not typically used for parasite testing.

Submit
Please wait...
About This Quiz
Advanced Medical Quiz: Shock and Parasitology - Quiz

Explore key medical topics such as sepsis, parasitology, toxicology, thrombosis, edema, and congestion in this advanced quiz designed for PhD students. Enhance your understanding and prepare for professional challenges in the medical field.

2.

What first name or nickname would you like us to use?

You may optionally provide this to label your report, leaderboard, or certificate.

2. What parasite is known as Entamoeba histolytica?

Explanation

Entamoeba histolytica is a type of amoeba/protozoan parasite known to cause amoebiasis in humans. The incorrect answers are common parasites of different classifications that cause distinct diseases.

Submit

3. What is the purpose of wet smears and concentration techniques relating to parasites?

Explanation

Wet smears and concentration techniques are specifically designed to detect different stages of parasites for diagnostic purposes. They are not used to determine age, sexual orientation, or temperature tolerance of parasites.

Submit

4. Describe the shock cascade.

Explanation

The correct sequence in the shock cascade involves a decrease in cardiac output and blood volume leading to shock, which results in systemic hypoperfusion, leading to hypotension, impaired tissue perfusion, and cellular hypoxia.

Submit

5. What is shock and what are the 3 types of shock?

Explanation

Shock is a state of cardiovascular collapse where the body is unable to deliver enough oxygen and nutrients to vital organs. The three main types of shock are cardiogenic, hypovolemic, and septic. Other types of shocks like distributive, obstructive, neurogenic do exist but are not the main categories. Similarly, allergic shock or traumatic shock are not recognized as official types of shock.

Submit

6. What are some causes of cardiogenic shock?

Explanation

Cardiogenic shock is caused by heart pump failure leading to inadequate circulation of blood to meet the body's demands. Conditions like hypertension, hyperthyroidism, and obesity do not directly lead to heart pump failure and subsequent cardiogenic shock.

Submit

7. What is hypovolemic shock?

Explanation

Hypovolemic shock is a condition characterized by the loss of blood or plasma volume usually resulting from hemorrhage, severe burns, or trauma. The correct answer involves a decrease in fluid volume rather than an excess or imbalance.

Submit

8. What class of parasitic worms are helminths?

Explanation

Helminths refer to a variety of parasitic worms including nematodes, cestodes, and trematodes. Arthropods, annelids, and mollusks are not within the classification of helminths.

Submit

9. What are the characteristics of nematodes?

Explanation

Nematodes are characterized by their distinct features including round worms, tapered ends, tough cuticle, complete digestive tracts, separate genders, and the possibility of being free-living and harmless. The incorrect answers provided contain characteristics that do not align with typical nematode attributes such as being flat, segmented, or having different reproductive methods.

Submit

10. What are some common symptoms of hookworms?

Explanation

Hookworm infection can lead to blood loss anemia due to the parasites feeding on blood, causing weakness and fatigue. WW morbidity refers to the significant global burden of hookworm infection on human health.

Submit

11. List and describe types of protozoans.

Explanation

Protozoans are single-celled eukaryotes that exhibit a wide range of characteristics. While the correct answer includes examples such as flagellates, amoebae, and sporozoans, the incorrect answers do not accurately describe types of protozoans.

Submit

12. List an amoeba.

Explanation

Entamoeba histolytica is a pathogenic amoeba that can cause dysentery in humans, while Paramecium caudatum, Euglena gracilis, and Stentor coeruleus are not classified as amoebas but as other types of single-celled organisms.

Submit

13. What are some diet risks in terms of parasites?

Explanation

Different types of meats and food sources can carry different types of parasites, leading to various risks for individuals who consume them.

Submit

14. What are some exposure risks associated with parasites?

Explanation

The correct answer includes examples of exposure risks related to parasites, such as Schistosomiasis from freshwater sources, Chaga's/Leishmaniasis from bug bites, and GI nematodes and protozoans from unwashed fruits and veggies. Options A, B, and C are incorrect as they do not accurately represent exposure risks associated with parasites.

Submit

15. What parasite is commonly known as the giant roundworm?

Explanation

Ascaris lumbricoides is commonly known as the giant roundworm because of its large size and prevalence in human populations worldwide. It is a nematode parasite that infects the intestines of its host.

Submit

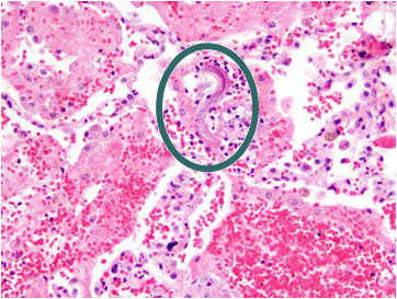
16. What is the scientific name of this parasite?

Explanation

The correct answer is Strongyloides stercoralis, which is a nematode parasite. Ascaris lumbricoides is a roundworm, Plasmodium falciparum causes malaria, and Taenia solium is a tapeworm.

Submit

17. Which nematodes were reviewed in class?

Explanation

Nematodes are a specific type of parasitic worms that infect humans and animals. Ascaris lumbricoides, hookworms, strongyloides stercoralis, enterobius vermicularis, trichuris trichiura, filaria, and trichinella spiralis are all examples of nematodes commonly studied in parasitology.

Submit

18. What is the description of ascaris lumbricoides?

Explanation

Ascaris lumbricoides is the largest nematode that can cause gastrointestinal obstruction. They have a unique behavior of sometimes migrating out through the nose which is a distinguishable symptom. It is associated with significant worldwide morbidity.

Submit

19. What is the description of Strongyloides stercoralis?

Explanation

Strongyloides stercoralis is a parasitic worm that can cause serious and potentially fatal infections, particularly in individuals with weakened immune systems.

Submit

20. Describe Enterobius vermicularis.

Explanation

Enterobius vermicularis is commonly known as pinworm and is characterized by symptoms such as anal pruritus. It is a widespread parasite causing morbidity worldwide.

Submit

21. What are the potential effects of tricuris trichiura?

Explanation

Tricuris trichiura is a type of parasitic roundworm that typically infects the large intestine of humans. While often harmless, heavy infections can lead to anemia due to blood loss from intestinal bleeding and rectal prolapse. It does not cause respiratory issues, skin rashes, neurological conditions, visual impairment, cardiovascular problems, or joint pain.

Submit

22. What is Filaria?

Submit

23. What is trichinella spiralis?

Explanation

Trichinella spiralis is a parasitic roundworm that typically infects the muscle tissue of animals, including humans, and is not primarily found in the gastrointestinal tract.

Submit

24. What are cestodes?

Explanation

Cestodes are a type of parasitic flatworm that includes tapeworms. They are hermaphroditic, have proglottids for reproduction, and absorb nutrients through their integument. They are typically found in the gastrointestinal tract of their hosts, with specific species like Taenia solium found in pork and Taenia saginatum found in beef.

Submit

25. What are trematodes?

Explanation

Trematodes, commonly known as flukes, are a type of parasitic flatworm that typically have complex life cycles involving intermediate hosts. Schistosoma is a genus of trematodes that are known to cause significant morbidity worldwide by directly penetrating the skin of individuals exposed to contaminated water sources.

Submit

26. List a flagellate parasite.

Explanation

A flagellate parasite is a parasite that moves by means of one or more whip-like appendages called flagella. Giardia lamblia is a flagellate parasite that causes gastrointestinal illness. Plasmodium falciparum is a protozoan parasite that causes malaria, Trypanosoma cruzi is a flagellate parasite that causes Chagas disease, and Entamoeba histolytica is a protozoan parasite that causes amoebiasis.

Submit

27. Which organisms have delayed symptoms and what is the time frame?

Explanation

Different organisms have varying incubation periods before symptoms appear, ranging from days to decades. The correct answer provides examples of protozoans, cestodes, and nematodes with delayed symptoms in weeks, years, and incorrect answers offer other hypothetical time frames.

Submit

28. Which parasites are AIDS and other immunosuppressed patients susceptible to?

Explanation

AIDS and immunosuppressed patients are susceptible to parasitic infections caused by Cryptosporidia, Microsporidia, and Toxoplasma due to their weakened immune systems.

Submit

29. What is the significance of eosinophilia?

Explanation

Eosinophilia is a condition in which the eosinophil count in the blood is higher than normal. It is often associated with parasitic infections and can provide valuable clues for diagnosing nematode infections.

Submit

30. List three sporozoans.

Explanation

Sporozoans are a group of parasitic protozoans that reproduce through spore formation. The correct answer includes examples of sporozoans known to infect humans, causing diseases like malaria (caused by Plasmodium) and toxoplasmosis (caused by Toxoplasma), among others. The incorrect answers provided are examples of other parasitic protozoans, but they do not belong to the group of sporozoans.

Submit
×
Saved
Thank you for your feedback!
View My Results
Cancel
  • All
    All (30)
  • Unanswered
    Unanswered ()
  • Answered
    Answered ()
What are some sample collection techniques for parasites?
What parasite is known as Entamoeba histolytica?
What is the purpose of wet smears and concentration techniques...
Describe the shock cascade.
What is shock and what are the 3 types of shock?
What are some causes of cardiogenic shock?
What is hypovolemic shock?
What class of parasitic worms are helminths?
What are the characteristics of nematodes?
What are some common symptoms of hookworms?
List and describe types of protozoans.
List an amoeba.
What are some diet risks in terms of parasites?
What are some exposure risks associated with parasites?
What parasite is commonly known as the giant roundworm?
What is the scientific name of this parasite?
Which nematodes were reviewed in class?
What is the description of ascaris lumbricoides?
What is the description of Strongyloides stercoralis?
Describe Enterobius vermicularis.
What are the potential effects of tricuris trichiura?
What is Filaria?
What is trichinella spiralis?
What are cestodes?
What are trematodes?
List a flagellate parasite.
Which organisms have delayed symptoms and what is the time frame?
Which parasites are AIDS and other immunosuppressed patients...
What is the significance of eosinophilia?
List three sporozoans.
play-Mute sad happy unanswered_answer up-hover down-hover success oval cancel Check box square blue
Alert!